The SuperECL™ Western Blotting Kit revolutionizes protein detection through enhanced chemiluminescence (ECL) technology. Designed for low-abundance target analysis, this ECL detection kit delivers 10x higher sensitivity than conventional HRP substrates.
Key Features
• Femtogram-Level Detection: 0.1pg/mm² sensitivity on PVDF membranes.
• Extended Signal Duration: 4-6 hr linear chemiluminescence for multi-exposure.
• Zero Background Interference: Dual-buffer system eliminates non-specific binding.
• Antibody Conservation: 50% less primary antibody required vs standard protocols.
Components
1. ECL Detection Reagent A: 50 ml
2. ECL Detection Reagent B: 50 ml
Storage
Store at 2~8°C and protect from light.
Other Size
| Product Name | Cat. # | Price | View |
| SuperECL™ Western Blotting Detection Kit (2×250 ml) | M0013-25 | $399 |
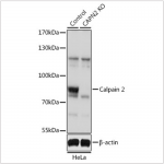
Case Study



Customer Testimonials
"I have been using LifeSct's SuperECL Western Blotting Kit for a while and recently also start using LifeSct’s SuperECL Plus Western Blotting Kit product. Both products work perfectly and the results are even better than pico and femto level products from the major brand I used before. I am very happy with these wonderful products."
LIFESCT is a cutting-edge biotechnology company dedicated to serving life scientists worldwide since 2016. LIFESCT's expertise encompasses a comprehensive range of fields such as molecular biology, synthetic biology, cell biology, immunology, proteomics and microbiology.
