| Reactivity: | Human, Mouse, Rat |
| Applications: | IHC |
| Host Species: | Rabbit |
| Clonality: | Monoclonal antibody |
| Gene Name: | BCL2-associated X protein |
| Gene Symbol: | Bax |
| Synonyms: | BAX, BCL2L4, BCL2 associated X protein, BCL2 associated X, Apoptosis regulator BAX, Bcl-2-Like Protein 4,Bcl2-L-4, Bax-protein |
| Immunogen: | KLH conjugated Synthetic peptide corresponding to Mouse Bax |
| Gene ID: | 12028 |
| Uniprot ID: | Q07812 |
| Isotype: | IgG |
| Purity: | Affinity purification |
| Subcellular location: | Mitochondrion, Cytoplasm |
| Documents: | Manual-BAX Monoclonal Antibody |
Product Usage Information
IHC | Human, Mouse, Rat | 1: 500-1: 1000 | colon cancer, esophageal carcinoma, kidney |
Background
Enables Hsp70 protein binding activity and identical protein binding activity. Involved in positive regulation of cysteine-type endopeptidase activity and positive regulation of neuron apoptotic process. Acts upstream of or within several processes, including apoptotic signaling pathway; mitochondrion organization; and regulation of apoptotic process. Located in cytosol; endoplasmic reticulum; and mitochondrial outer membrane. Part of BAX complex. Is expressed in several structures, including alimentary system; branchial arch; central nervous system; genitourinary system; and sensory organ. Human ortholog(s) of this gene implicated in acute lymphoblastic leukemia; ataxia telangiectasia; colon adenocarcinoma; and colorectal cancer. Orthologous to human BAX (BCL2 associated X, apoptosis regulator).
Images
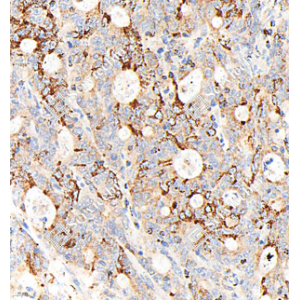
| IHC analysis of Bax (GB154122). Sample: Human colon cancer, 4% PFA (G1101) 12-24h. Antigen retrieval: Citrate buffer (pH 6.0) (G1201), pressure cooker 2 min. Primary antibody: 1: 500, 4°C overnight. Secondary antibody: HRP conjugated Goat Anti-Rabbit lgG (H+L) (GB23303), 1: 200, RT, 1h. |
| IHC analysis of Bax (GB154122). Sample: Human esophageal carcinoma, 4% PFA (G1101) 12-24h. Antigen retrieval: Citrate buffer (pH 6.0) (G1201), pressure cooker 2 min. Primary antibody: 1: 500, 4°C overnight. Secondary antibody: HRP conjugated Goat Anti-Rabbit lgG (H+L) (GB23303), 1: 200, RT, 1h. |
| IHC analysis of Bax (GB154122). Sample: Mouse kidney, 4% PFA (G1101) 12-24h. Antigen retrieval: Citrate buffer (pH 6.0) (G1201), pressure cooker 2 min. Primary antibody: 1: 500, 4°C overnight. Secondary antibody: HRP conjugated Goat Anti-Rabbit lgG (H+L) (GB23303), 1: 200, RT, 1h. |
| IHC analysis of Bax (GB154122). Sample: Mouse liver, 4% PFA (G1101) 12-24h. Antigen retrieval: Citrate buffer (pH 6.0) (G1201), pressure cooker 2 min. Primary antibody: 1: 500, 4°C overnight. Secondary antibody: HRP conjugated Goat Anti-Rabbit lgG (H+L) (GB23303), 1: 200, RT, 1h. |
| IHC analysis of Bax (GB154122). Sample: Rat kidney, 4% PFA (G1101) 12-24h. Antigen retrieval: Citrate buffer (pH 6.0) (G1201), pressure cooker 2 min. Primary antibody: 1: 500, 4°C overnight. Secondary antibody: HRP conjugated Goat Anti-Rabbit lgG (H+L) (GB23303), 1: 200, RT, 1h. |
| IHC analysis of Bax (GB154122). Sample: Rat liver, 4% PFA (G1101) 12-24h. Antigen retrieval: Citrate buffer (pH 6.0) (G1201), pressure cooker 2 min. Primary antibody: 1: 500, 4°C overnight. Secondary antibody: HRP conjugated Goat Anti-Rabbit lgG (H+L) (GB23303), 1: 200, RT, 1h. |
Storage
| Storage | Store at -20°C for one year. Avoid repeated freeze/thaw cycles. |
| Storage Buffer | PBS with 0.15% ProClin300, 100 μg/mL BSA and 50% glycerol. |