KO-Validated Bax Rabbit pAb (20 μl)

KO-Validated Bax Rabbit pAb (20 μl)

Brand: Abclonal
Cat. #: A0207
Availability: In Stock
$128.00
-+
Reactivity: Human, Mouse, Rat
Applications: WB, IHC, IF/IC, IP, ELISA    
Host Species: Rabbit    
Isotype: IgG    
Clonality: Polyclonal antibody    
Gene Name: BCL2 associated X, apoptosis regulator
Gene Symbol: BAX
Synonyms: BCL2 Associated X, Bcl-2-Like Protein 4, Bcl2-L-4, BCL2L4,BAX
Gene ID: 581
UniProt ID: Q07812
Immunogen: A synthetic peptide corresponding to a sequence within amino acids 1-100 of human Bax (NP_620116.1).
Dilution: WB 1:500-1:1000; IHC 1:50-1:200; IF/IC 1:50-1:200
Purification Method: Affinity purification
Concentration: 0.98mg/ml
Buffer: PBS with 0.01% thimerosal, 50% glycerol, pH7.3.
Storage: Store at -20°C. Avoid freeze / thaw cycles.
Documents: Manual-BAX polyclonal antibody




Background

BAX (also known as BCL2 Associated X, Bcl-2-Like Protein 4, Bcl2-L-4, BCL2L4) is a member of the BCL2 family of proteins that play a key role in the regulation of apoptosis in higher eukaryotes (https://www.uniprot.org/uniprot/Q07812). BAX comprises 4 Bcl-2 homology domains (BH1-BH4) and a C-terminal transmembrane domain. In healthy mammalian cells, BAX is localized to the cytoplasm through its interaction with the anti-apoptotic BL-2 family members BCL2L1/Bcl-xL . In response to apoptotic stimuli, however, BAX undergoes a conformational change that causes it to translocate to the outer mitochondrial membrane where it initiates the mitochondrial pathway of apoptosis via two potential mechanisms. Firstly, upon translocation to the outer mitochondrial membrane, BAX interacts with the mitochondrial voltage-dependent anion channel (VDAC) leading to the opening of the channel, loss of membrane potential, and the release of cytochrome c from the mitochondrion . The release of cytochrome C into the cytoplasm leads to the activation of Caspase3, initiating apoptosis. Secondly, activated BAX forms homodimers, which then assemble into oligomers on the mitochondrial outer membrane to create pores that permeabilize the mitochondrion leading to the release of cytochrome C.BAX has been shown to be involved in p53-mediated apoptosis. Expression of the human bax gene has been shown to be directly regulated by p53, and the bax promoter contains four motifs with homology to consensus p53-binding sites. Furthermore, p53 directly interacts with BAX to promote its activation.




Images

BAX rabbit pAbWestern blot analysis of lysates from wild type (WT) and Bax knockout (KO) 293T cells, using [KO Validated] Bax Rabbit pAb (A0207) at 1:1000 dilution.
Secondary antibody: HRP-conjugated Goat anti-Rabbit IgG (H+L) (AS014) at 1:10000 dilution.
Lysates/proteins: 25μg per lane.
Blocking buffer: 3% nonfat dry milk in TBST.
Detection: ECL Basic Kit (RM00020).
Exposure time: 10s.
Bax polyclonal antibodyWestern blot analysis of various lysates using [KO Validated] Bax Rabbit pAb (A0207) at 1:1000 dilution.
Secondary antibody: HRP-conjugated Goat anti-Rabbit IgG (H+L) (AS014) at 1:10000 dilution.
Lysates/proteins: 25μg per lane.
Blocking buffer: 3% nonfat dry milk in TBST.
Detection: ECL Basic Kit (RM00020).
Exposure time: 180s.
anti-Bax antibodyWestern blot analysis of lysates from Mouse brain , using [KO Validated] Bax Rabbit pAb (A0207) at 1:1000 dilution.
Secondary antibody: HRP-conjugated Goat anti-Rabbit IgG (H+L) (AS014) at 1:10000 dilution.
Lysates/proteins: 25μg per lane.
Blocking buffer: 3% nonfat dry milk in TBST.
Detection: ECL Basic Kit (RM00020).
Exposure time: 180s.
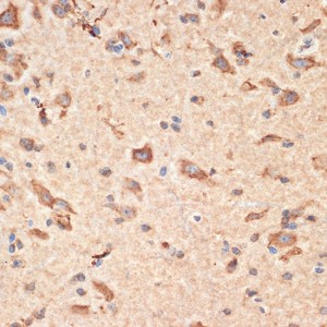
Immunohistochemistry analysis of paraffin-embedded Mouse spinal cord using [KO Validated] Bax Rabbit pAb (A0207) at dilution of 1:100 (40x lens). Microwave antigen retrieval performed with 0.01M Tris/EDTA Buffer (pH 9.0) prior to IHC staining.
Immunofluorescence analysis of HeLa cells using [KO Validated] Bax Rabbit pAb (A0207) at dilution of 1:50 (40x lens). Secondary antibody: Cy3-conjugated Goat anti-Rabbit IgG (H+L) (AS007) at 1:500 dilution. Blue: DAPI for nuclear staining.
Immunofluorescence analysis of HepG2 cells using [KO Validated] Bax Rabbit pAb (A0207) at dilution of 1:50 (40x lens). Secondary antibody: Cy3-conjugated Goat anti-Rabbit IgG (H+L) (AS007) at 1:500 dilution. Blue: DAPI for nuclear staining.
Immunofluorescence analysis of MCF7 cells using [KO Validated] Bax Rabbit pAb (A0207) at dilution of 1:50 (40x lens). Secondary antibody: Cy3-conjugated Goat anti-Rabbit IgG (H+L) (AS007) at 1:500 dilution. Blue: DAPI for nuclear staining.
Immunofluorescence analysis of NIH/3T3 cells using [KO Validated] Bax Rabbit pAb (A0207) at dilution of 1:50 (40x lens). Secondary antibody: Cy3-conjugated Goat anti-Rabbit IgG (H+L) (AS007) at 1:500 dilution. Blue: DAPI for nuclear staining.



You may also be interested in:

BAX

Related Products


LIFESCT © 2025

Publications

text_heading

Our Location

405 East Gude Dr., Suite 205, Rockville, MD 20850, USA

+1-301-328-1977