Anti-Vimentin Mouse mAb (50 μl)

Anti-Vimentin Mouse mAb (50 μl)

Brand: ServiceBio
Cat. #: GB14167-50
Availability: In Stock
$259.00
-+
Reactivity:  Human    
Applications:  IHC/IF    
Host Species:  Mouse    
Clonality:  Monoclonal    
Full Name:

Vimentin

Gene ID:

7431

Immunogen:

Synthesized peptide derived from human Vimentin

Uniprot ID:

P08670

Source:

Mouse/IgG2b, Kappa

Concentration:

1 mg/ml

Purity:

The antibody was affinity-purified from mouse ascites by affinity-chromatography using specific immunogen.




Product Usage Information

IHC/IF

Human

1: 200-1: 500

colon cancer, renal carcinoma




Background

Vimentin, also named as VIM, belongs to the intermediate filament family. Vimentin is class-III intermediate filaments found in various non-epithelial cells, especially mesenchymal cells. Vimentin is important for stabilizing the architecture of the cytoplasm. Monocyte-derived macrophages secrete vimentin into the extracellular space in vitro. Secretion of vimentin was enhanced by the proinflammatory cytokine tumor necrosis factor-alpha (TNFA; 191160) and inhibited by the antiinflammatory cytokine IL10 (124092), suggesting that vimentin is involved in the immune response. Vimentin has specialized functions that contribute to specific dynamic cellular processes. As a phosphoprotein, 55-60 kDa of vimentin proteins can be observed due to the different phosphorylation level. Isoforms of vimentin (49 kDa and 60 kDa) had also been reported.




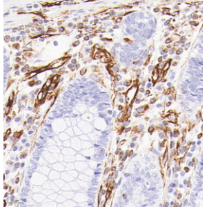
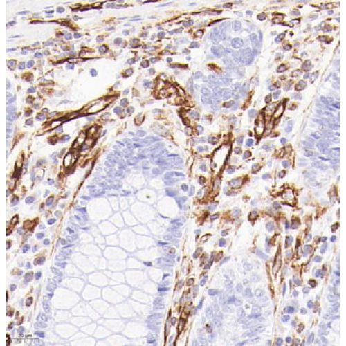
Images

Immunohistochemistry analysis of paraffin embedded human colon cancer using vimentin (GB14167) at dilution of 1: 200

Immunohistochemistry analysis of paraffin embedded human renal carcinoma using vimentin (GB14167) at dilution of 1: 200




Storage

Storage Store at -20 ℃ for one year. Avoid repeated freeze/thaw cycles.
Storage Buffer Liquid in PBS containing 50% glycerol, 0.5% BSA and 0.02% sodium azide.


VIM

Related Products


LIFESCT © 2025

Publications

text_heading

Our Location

405 East Gude Dr., Suite 205, Rockville, MD 20850, USA

+1-301-328-1977