Anti-CD68 Rabbit pAb (100 μl)

Anti-CD68 Rabbit pAb (100 μl)

Brand: ServiceBio
Cat. #: GB113150-100
Availability: In Stock
$259.00
-+
Reactivity: M,R    
Applications: IHC/IF    
Host Species: Rabbit    
Clonality: Polyclonal    
Gene Name:

Macrosialin

Synonyms:

CD68, CD68 Molecule, Scavenger Receptor

Immunogen:

Recombinant protein corresponding to Human CD68

Uniprot ID:

P34810

Isotype:

IgG

Purity:

Affinity purification

Subcellular location:

Cell membrane, Endosome, Lysosome




Product Usage Information

IHC/IF

Human

1: 500-1: 1000

lung cancer, lung, tonsil, ovarian cancer





Background

Could play a role in phagocytic activities of tissue macrophages, both in intracellular lysosomal metabolism and extracellular cell-cell and cell-pathogen interactions. Binds to tissue- and organ-specific lectins or selectins, allowing homing of macrophage subsets to particular sites. Rapid recirculation of CD68 from endosomes and lysosomes to the plasma membrane may allow macrophages to crawl over selectin-bearing substrates or other cells.




Images

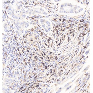
Anti-CD68 Rabbit pAb

IHC analysis of CD68 (GB113150).

Sample: Human lung cancer (Paraffin), 4% PFA (G1101) 12-24h.

Antigen retrieval: Citrate buffer (pH 6.0) (G1201),98°C,20 min.

Blocking buffer: 3% BSA in PBS (GC305010), RT, 30min.

Primary antibody: 1: 500, 4°C overnight.

Secondary antibody: HRP Goat Anti-Rabbit lgG (GB23303), 1: 200 RT 1h.

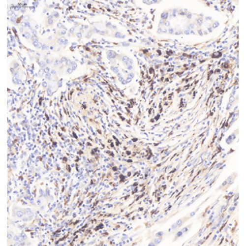
IHC analysis of CD68 (GB113150).

Sample: Human ovarian cancer (Paraffin), 4% PFA (G1101) 12-24h.

Antigen retrieval: Citrate buffer (pH 6.0) (G1201),98°C,20 min.

Blocking buffer: 3% BSA in PBS (GC305010), RT, 30min.

Primary antibody: 1: 500, 4°C overnight.

Secondary antibody: HRP Goat Anti-Rabbit lgG (GB23303), 1: 200 RT 1h.

IHC analysis of CD68 (GB113150).

Sample: Human lung (Paraffin), 4% PFA (G1101) 12-24h.

Antigen retrieval: Citrate buffer (pH 6.0) (G1201),98°C,20 min.

Blocking buffer: 3% BSA in PBS (GC305010), RT, 30min.

Primary antibody: 1: 500, 4°C overnight.

Secondary antibody: HRP Goat Anti-Rabbit lgG (GB23303), 1: 200 RT 1h.


IHC analysis of CD68 (GB113150).

Sample: Human tonsil (Paraffin), 4% PFA (G1101) 12-24h.

Antigen retrieval: Citrate buffer (pH 6.0) (G1201),98°C,20 min.

Blocking buffer: 3% BSA in PBS (GC305010), RT, 30min.

Primary antibody: 1: 500, 4°C overnight.

Secondary antibody: HRP Goat Anti-Rabbit lgG (GB23303), 1: 200 RT 1h.


IF analysis of CD68 (GB113150).

Sample: Human lung (Paraffin), 4% PFA (G1101) 12-24h.

Antigen retrieval: TE buffer (pH 9.0) (G1203),98°C,20min.

Blocking buffer: 3% BSA in PBS (GC305010), RT, 30min.

Primary antibody: 1: 500, 4°C overnight.

Secondary antibody: Alexa Fluor® 488-conjugated Goat Anti-Rabbit IgG (H+L) (GB25303), 1: 300 RT, 1h.





Storage

StorageStore at -20 °C for one year. Avoid repeated freeze/thaw cycles.
Storage BufferPBS with 0.02%sodium azide,100 μg/ml BSA and 50% glycerol.


Related Products


LIFESCT © 2025

Publications

text_heading

Our Location

405 East Gude Dr., Suite 205, Rockville, MD 20850, USA

+1-301-328-1977