Anti-Osteocalcin Rabbit pAb (100 μl)

Anti-Osteocalcin Rabbit pAb (100 μl)

Brand: ServiceBio
Cat. #: GB11233-100
Availability: In Stock
$259.00
-+
Reactivity: M,R    
Applications: IHC/IF    
Host Species: Rabbit    
Clonality: Polyclonal    
Full Name:

Osteocalcin rabbit polyclonal

Gene Name:

Osteocalcin

Synonyms:

BGLAP, BGP, OC, OCN, Osteocalcin, bone gamma-carboxyglutamate protein

Uniprot ID:

P86546P04640

Immunogen:

KLH conjugated Synthetic peptide corresponding to Mouse Osteocalcin 

Isotype:

IgG

Purity:

Affinity purification

Subcellular location:

Secreted




Product Usage Information

IHC/IF

Mouse, Rat

1: 100-1: 500

injured bone, bone




Background

Osteocalcin is secreted solely by osteoblasts and thought to play a role in the body's metabolic regulation and is pro-osteoblastic, or bone-building, by nature. It is also implicated in bone mineralization and calcium ion homeostasis. Osteocalcin acts as a hormone in the body, causing beta cells in the pancreas to release more insulin, and at the same time directing fat cells to release the hormone adiponectin, which increases sensitivity to insulin. Osteocalcin acts on Leydig cells of the testis to stimulate testosterone biosynthesis and therefore affectmale fertility. Osteocalcin also acts on myocytes to promote energy availability and utilization and in this manner favors exercise capacity.




Images

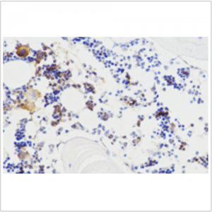
Anti-Osteocalcin Rabbit pAb

IHC analysis of OCN (GB11233).

Sample: Mouse bone (Paraffin), 4% PFA (G1101) 12-24h.

Antigen retrieval: Pepsin Antigen Repair Solution,37°C,30min.

Blocking buffer: 3% BSA in PBS (GC305010), RT, 30min.

Primary antibody: 1: 100, 4°C overnight.

Secondary antibody: HRP Goat Anti-Rabbit lgG (GB23303), 1: 200 RT 1h.


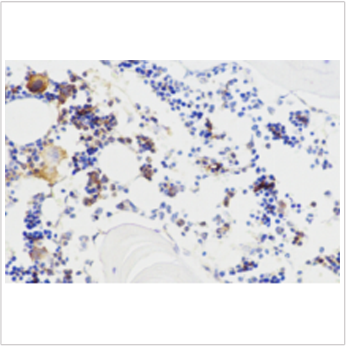
Anti-BGLAP Rabbit pAb

IHC analysis of OCN (GB11233).

Sample: Mouse bone (Paraffin), 4% PFA (G1101) 12-24h.

Antigen retrieval: Pepsin Antigen Repair Solution,37°C,30min.

Blocking buffer: 3% BSA in PBS (GC305010), RT, 30min.

Primary antibody: 1: 100, 4°C overnight.

Secondary antibody: HRP Goat Anti-Rabbit lgG (GB23303), 1: 200 RT 1h.


IF analysis of OCN (GB11233).
Sample: Rat injured bone (Paraffin), 4% PFA (G1101) 12-24h.
Antigen retrieval: Pepsin Antigen Repair Solution,37°C,30min.
Blocking buffer: 3% BSA in PBS (GC305010), RT, 30min.
Primary antibody: , 4°C overnight.
Secondary antibody: Cy3 conjugated Goat Anti-Rabbit IgG (H+L) (GB21303), 1: 300 RT, 1h.

IF analysis of OCN (GB11233).
Sample: Mouse bone (Paraffin), 4% PFA (G1101) 12-24h.
Antigen retrieval: Pepsin Antigen Repair Solution,37°C,30min.
Blocking buffer: 3% BSA in PBS (GC305010), RT, 30min.
Primary antibody: , 4°C overnight.
Secondary antibody: Cy3 conjugated Goat Anti-Rabbit IgG (H+L) (GB21303), 1: 300 RT, 1h.




Storage

StorageStore at -20 °C for one year. Avoid repeated freeze/ thaw cycles.
Storage BufferPBS with 0.02% sodium azide, 100 μg/ml BSA and 50% glycerol.


Related Products


LIFESCT © 2025

Publications

text_heading

Our Location

405 East Gude Dr., Suite 205, Rockville, MD 20850, USA

+1-301-328-1977