KO-Validated N-Cadherin Rabbit mAb (20 μl)

KO-Validated N-Cadherin Rabbit mAb (20 μl)

Brand: Abclonal
Cat. #: A19083
Availability: In Stock
$148.00
-+
Reactivity: Human, Mouse, Rat
Applications: WB, IHC, IF/IC, ELISA    
Host Species: Rabbit    
Isotype: IgG    
Clonality: Monoclonal antibody    
Gene Name: cadherin 2
Gene Symbol: CDH2
Synonyms: CDHN; NCAD; ACOGS; ADHD8; CD325; ARVD14; CDw325; in
Gene ID: 1000
UniProt ID: P19022
Immunogen: A synthetic peptide corresponding to a sequence within amino acids 100-200 of human N Cadherin (P19022).
Dilution: WB 1:1000-1:2000; IHC 1:200-1:2000; IF/IC 1:50-1:200
Purification Method: Affinity purification
Buffer: PBS with 0.09% Sodium azide, 0.05% BSA, 50% glycerol, pH7.3.
Storage: Store at -20°C. Avoid freeze / thaw cycles.
Documents: Manual-CDH2 monoclonal antibody




Background

The gene CDH2 encodes a classical cadherin and member of the cadherin superfamily. Alternative splicing results in multiple transcript variants, at least one of which encodes a preproprotein is proteolytically processed to generate a calcium-dependent cell adhesion molecule and glycoprotein. This protein plays a role in the establishment of left-right asymmetry, development of the nervous system and the formation of cartilage and bone.




Images

CDH2 rabbit mAbWestern blot analysis of lysates from wild type (WT) and N-Cadherin knockout (KO) HeLa cells using [KO Validated] N-Cadherin Rabbit mAb (A19083) at 1:1000 dilution incubated overnight at 4℃.
Secondary antibody: HRP-conjugated Goat anti-Rabbit IgG (H+L) (AS014) at 1:10000 dilution.
Lysates/proteins: 25μg per lane.
Blocking buffer: 3% nonfat dry milk in TBST.
Detection: ECL Basic Kit (RM00020).
Exposure time: 1min.
CDH2 antibodyWestern blot analysis of lysates from C2C12 cells using [KO Validated] N-Cadherin Rabbit mAb (A19083) at 1:1000 dilution incubated overnight at 4℃.
Secondary antibody: HRP-conjugated Goat anti-Rabbit IgG (H+L) (AS014) at 1:10000 dilution.
Lysates/proteins: 25 μg per lane.
Blocking buffer: 3% nonfat dry milk in TBST.
Detection: ECL Basic Kit (RM00020).
Exposure time: 60s.
anti n cadherin antibodyWestern blot analysis of lysates from C6 cells using [KO Validated] N-Cadherin Rabbit mAb (A19083) at 1:1000 dilution incubated overnight at 4℃.
Secondary antibody: HRP-conjugated Goat anti-Rabbit IgG (H+L) (AS014) at 1:10000 dilution.
Lysates/proteins: 25 μg per lane.
Blocking buffer: 3% nonfat dry milk in TBST.
Detection: ECL Basic Kit (RM00020).
Exposure time: 10s.
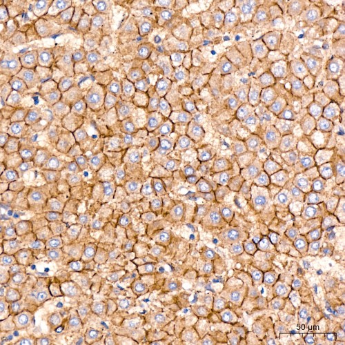
N Cadherin antibodyImmunohistochemistry analysis of paraffin-embedded Human liver tissue using [KO Validated] N-Cadherin Rabbit mAb (A19083) at a dilution of 1:200 (40x lens). High pressure antigen retrieval performed with 0.01M Citrate Buffer (pH 6.0) prior to IHC staining.
Immunohistochemistry analysis of paraffin-embedded Mouse heart tissue using [KO Validated] N-Cadherin Rabbit mAb (A19083) at a dilution of 1:200 (40x lens). High pressure antigen retrieval performed with 0.01M Citrate Buffer (pH 6.0) prior to IHC staining.
Immunohistochemistry analysis of paraffin-embedded Rat heart tissue using [KO Validated] N-Cadherin Rabbit mAb (A19083) at a dilution of 1:200 (40x lens). High pressure antigen retrieval performed with 0.01M Citrate Buffer (pH 6.0) prior to IHC staining.
Immunohistochemistry analysis of paraffin-embedded Rat liver tissue using [KO Validated] N-Cadherin Rabbit mAb (A19083) at a dilution of 1:200 (40x lens). High pressure antigen retrieval performed with 0.01M Citrate Buffer (pH 6.0) prior to IHC staining.
Confocal imaging of paraffin-embedded rat heart using [KO Validated] N-Cadherin Rabbit mAb (A19083, dilution 1:200) followed by a further incubation with Cy3 Goat Anti-Rabbit IgG (H+L) (AS007, dilution 1:500) (Red). DAPI was used for nuclear staining (Blue). Objective: 40x. High pressure antigen retrieval performed with 0.01M Citrate Buffer(pH 6.0) prior to IF staining.



You may also be interested in:

Related Products


LIFESCT © 2025

Publications

text_heading

Our Location

405 East Gude Dr., Suite 205, Rockville, MD 20850, USA

+1-301-328-1977