Anti-pan alpha Tubulin Mouse mAb (50 μl)

Anti-pan alpha Tubulin Mouse mAb (50 μl)

Brand: ServiceBio
Cat. #: GB14162-50
Availability: In Stock
$259.00
-+
Reactivity:  H    
Applications:  IHC/IF    
Host Species:  Mouse    
Clonality:  Monoclonal    
Gene Name:

Tubulin alpha-1A chain

Immunogen:

Synthesized peptide derived from human α-tubulin

Uniprot ID:

Q71U36, P68363

Source:

Mouse

Concentration:

1 mg/ml

Purity:

The antibody was affinity-purified from mouse ascites by affinity-chromatography using specific immunogen.




Product Usage Information

IHC/IF

Human

1: 200-1: 500

colon cancer, renal carcinoma





Background

Alpha Tubulin is a part of a heterodimer consisting of alpha and beta tubulin subunits. The alpha and beta tubulins, which are each about 55 kDa MW, are homologous but not identical. Alpha-beta tubulin heterodimer is the basic building block of microtubules, and this intracellular cylindrical filamentous structure is present in almost eukaryotic cells. Microtubules serve as structural supports and lines of transport within the cell, as well as serving a key role in mitosis. Microtubules of the eukaryotic cytoskeleton perform essential and diverse functions and are composed of a heterodimer of alpha and beta tubulins. The alpha and beta tubulins represent the major components of microtubules, while gamma tubulin plays a critical role in the nucleation of microtubule assembly. There are multiple alpha and beta tubulin genes, which are highly conserved among species.




Images

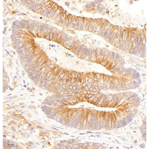
Immunohistochemistry analysis of paraffin embedded human colon cancer using P-α-tubulin (GB14162) at dilution of 1: 200

Immunohistochemistry analysis of paraffin embedded human renal carcinoma using P-α-tubulin (GB14162) at dilution of 1: 200


Storage


Storage Store at -20 °C for one year. Avoid repeated freeze/thaw cycles.
Storage Buffer Liquid in PBS containing 50% glycerol, 0.5% BSA and 0.02% sodium azide.


Related Products


LIFESCT © 2025

Publications

text_heading

Our Location

405 East Gude Dr., Suite 205, Rockville, MD 20850, USA

+1-301-328-1977