| Reactivity: | M & M |
| Applications: | WB & IHC/IF |
| Host Species: | Rabbit |
| Clonality: | Polyclonal |
| Gene Name: | T-cell surface glycoprotein CD8 alpha chain |
Synonyms: | CD8A, CD8, Leu2, MAL, p32,CD8a molecule, CD8 alpha |
Immunogen: | Recombinant protein corresponding to mouse CD8a |
Uniprot ID: | P01731 |
Isotype: | IgG |
Purity: | Affinity purification |
Subcellular location: | Cell membrane |
Predicted MW. / Observed MW. | 29 kDa / 35-37 kDa |
Product Usage Information
WB | Mouse | 1: 500- 1: 1000 | spleen, lymph node, thymus |
IHC/IF | Mouse | 1: 500- 1: 1000 | liver cancer, lymph node |
Background
The CD8 antigen is a cell surface glycoprotein found on most cytotoxic T lymphocytes that mediates efficient cell-cell interactions within the immune system. The CD8 antigen acts as a coreceptor with the T-cell receptor on the T lymphocyte to recognize antigens displayed by an antigen presenting cell in the context of class I MHC molecules. The coreceptor functions as either a homodimer composed of two alpha chains or as a heterodimer composed of one alpha and one beta chain.
Images
| WB analysis of CD8a (GB114196). Sample: Protein treated by RIPA Lysis Buffer (G2002). Blocking buffer: 3% Nonfat dry milk (GC310001) in TBST, RT, 1h. Primary antibody: 1: 1000, 4°C overnight. Secondary antibody: HRP Goat Anti-Rabbit lgG (GB23303), 1: 3000, RT, 1h. |
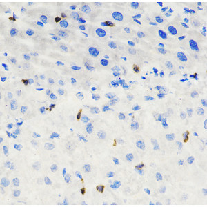
| IHC analysis of cd8 (GB114196). Sample: Mouse liver cancer (Paraffin), 4% PFA (G1101) 12-24h. Antigen retrieval: TE buffer (pH 9.0) (G1203),98°C,20min. Blocking buffer: 3% BSA in PBS (GC305010), RT, 30min. Primary antibody: 1: 1000, 4°C overnight. Secondary antibody: HRP Goat Anti-Rabbit lgG (GB23303), 1: 200 RT 1h. |
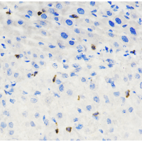
| IHC analysis of cd8 (GB114196). Sample: Mouse lymph node (Paraffin), 4% PFA (G1101) 12-24h. Antigen retrieval: TE buffer (pH 9.0) (G1203),98°C,20min. Blocking buffer: 3% BSA in PBS (GC305010), RT, 30min. Primary antibody: 1: 1000, 4°C overnight. Secondary antibody: HRP Goat Anti-Rabbit lgG (GB23303), 1: 200 RT 1h. |
Storage
| Storage | Store at -20 °C for one year. Avoid repeated freeze/thaw cycles. |
| Storage Buffer | PBS with 0.02%sodium azide,100 μg/ml BSA and 50% glycerol. |