KO-Validated cIAP1 Rabbit mAb (20 μl)

KO-Validated cIAP1 Rabbit mAb (20 μl)

Brand: Abclonal
Cat. #: A19688
Availability: In Stock
$148.00
-+
Reactivity: Human, Rat
Applications: WB, IHC, ELISA    
Host Species: Rabbit    
Isotype: IgG    
Clonality: Monoclonal antibody    
Gene Name: baculoviral IAP repeat containing 2
Gene Symbol: BIRC2
Synonyms: API1; MIHB; HIAP2; RNF48; cIAP1; Hiap-2; c-IAP1; P1
Gene ID: 329
UniProt ID: Q13490
Clone ID: 2L0W9
Immunogen: A synthetic peptide corresponding to a sequence within amino acids 1-100 of human cIAP1 (Q13490).
Dilution: WB 1:500-1:1000; IHC 1:50-1:200
Purification Method: Affinity purification
Concentration: 2 mg/mL
Buffer: PBS with 0.02% sodium azide, 0.05% BSA, 50% glycerol, pH7.3.
Storage: Store at -20°C. Avoid freeze / thaw cycles.
Documents: Manual-BIRC2 monoclonal antibody




Background

The protein encoded by the gene BIRC2 is a member of a family of proteins that inhibits apoptosis by binding to tumor necrosis factor receptor-associated factors TRAF1 and TRAF2, probably by interfering with activation of ICE-like proteases. This encoded protein inhibits apoptosis induced by serum deprivation and menadione, a potent inducer of free radicals. Alternatively spliced transcript variants encoding different isoforms have been found for this gene.




Images

BIRC2 rabbit mAbWestern blot analysis of various lysates using [KO Validated] cIAP1 Rabbit mAb (A19688) at 1:1000 dilution.
Secondary antibody: HRP-conjugated Goat anti-Rabbit IgG (H+L) (AS014) at 1:10000 dilution.
Lysates/proteins: 25μg per lane.
Blocking buffer: 3% nonfat dry milk in TBST.
Detection: ECL Basic Kit (RM00020).
Exposure time: 3min.
BIRC2 monoclonal antibodyWestern blot analysis of lysates from wild type(WT) and cIAP1 knockout (KO) 293T cells, using [KO Validated] cIAP1 Rabbit mAb (A19688) at 1:1000 dilution.
Secondary antibody: HRP-conjugated Goat anti-Rabbit IgG (H+L) (AS014) at 1:10000 dilution.
Lysates/proteins: 25μg per lane.
Blocking buffer: 3% nonfat dry milk in TBST.
Detection: ECL Basic Kit (RM00020).
Exposure time: 90s.
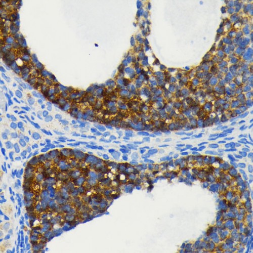
cIAP1 rabbit mAbImmunohistochemistry analysis of paraffin-embedded Rat ovary using [KO Validated] cIAP1 Rabbit mAb (A19688) at dilution of 1:100 (40x lens). Microwave antigen retrieval performed with 0.01M PBS Buffer (pH 7.2) prior to IHC staining.



You may also be interested in:

Related Products


LIFESCT © 2025

Publications

text_heading

Our Location

405 East Gude Dr., Suite 205, Rockville, MD 20850, USA

+1-301-328-1977