Recombinant Anti-CD4 Rabbit mAb (100 μl)

Recombinant Anti-CD4 Rabbit mAb (100 μl)

Brand: ServiceBio
Cat. #: GB15064-100
Availability: In Stock
$259.00
-+
Reactivity: Mouse    
Applications: WB, IHC/IF    
Host Species: Rabbit    
Clonality: Monoclonal    
Gene Name: CD4 molecule
Gene Symbol: CD4
Synonyms: T4; IMD79; Leu-3; OKT4D; CD4mut
Immunogen: KLH conjugated Synthetic peptide corresponding to Mouse CD4
Uniprot ID: P06332
Isotype: IgG
Purity: Affinity purification
Subcellular location: Cell membrane
Documents:Manual-CD4 Antibody




Product Usage Information

WB

Mouse

1: 500-1: 1000

thymus, lymph Node, spleen

IHC/IF

Mouse

1: 200-1: 600

acute lung injury, lewis lung cancer ectopic subcutaneous tumor, inflamed skin, spleen




Background

The gene CD4 encodes the CD4 membrane glycoprotein of T lymphocytes. The CD4 antigen acts as a coreceptor with the T-cell receptor on the T lymphocyte to recognize antigens displayed by an antigen presenting cell in the context of class II MHC molecules. The CD4 antigen is also a primary receptor for entry of the human immunodeficiency virus through interactions with the HIV Env gp120 subunit. This gene is expressed not only in T lymphocytes, but also in B cells, macrophages, granulocytes, as well as in various regions of the brain. The protein functions to initiate or augment the early phase of T-cell activation, and may function as an important mediator of indirect neuronal damage in infectious and immune-mediated diseases of the central nervous system. Multiple alternatively spliced transcript variants encoding different isoforms have been identified in this gene.




Images

CD4 antibodyWestern blot analysis of CD4 (GB15064) at dilution of 1: 500
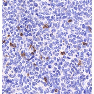
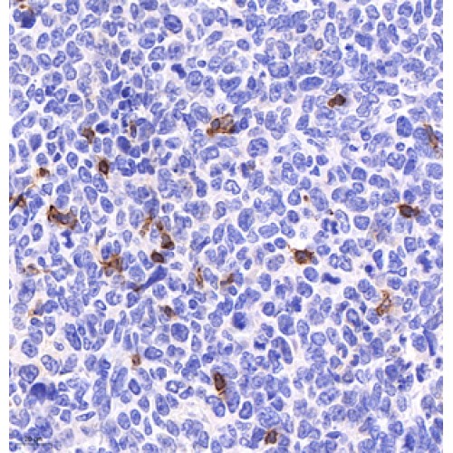
anti CD4 antibodyImmunohistochemistry analysis of paraffin embedded mouse lewis lung cancer ectopic subcutaneous tumor using CD4 (GB15064) at dilution of 1: 200
Immunohistochemistry analysis of paraffin embedded mouse lewis lung cancer ectopic subcutaneous tumor using CD4 (GB15064) at dilution of 1: 400
Immunohistochemistry analysis of paraffin embedded mouse lung from acute lung injury using CD4 (GB15064) at dilution of 1: 400
Immunohistochemistry analysis of paraffin embedded mouse inflamed skin using CD4 (GB15064) at dilution of 1: 400
Immunohistochemistry analysis of paraffin embedded mouse spleen using CD4 (GB15064) at dilution of 1: 200
Immunohistochemistry analysis of paraffin embedded mouse spleen using CD4 (GB15064) at dilution of 1: 200




Storage

StorageStore at -20 °C for one year. Avoid repeated freeze/thaw cycles.
Storage BufferPBS with 0.02%sodium azide,100 μg/ml BSA and 50% glycerol.




Publications

Xue, H., et al. Wearable flexible ultrasound microneedle patch for cancer immunotherapy. Nat Commun16,2650(2025). PMID 40102412, IF 14.7

Du Q., et al. Acylglycerol kinase inhibits macrophage anti-tumor activity via limiting mtDNA release and cGAS-STING-type I IFN response. Theranostics15,1304-1319(2025). PMID 39816692, IF 12.4

Zai, W., et al. Optimized RNA interference therapeutics combined with interleukin-2 mRNA for treating hepatitis B virus infection. Signal Transduct Target Ther9,150(2024). PMID 38902241, IF 40.8



You may also be interested in:

CD4

Related Products


LIFESCT © 2025

Publications

text_heading

Our Location

405 East Gude Dr., Suite 205, Rockville, MD 20850, USA

+1-301-328-1977