Anti-CD8 alpha Mouse mAb (100 μl)

Anti-CD8 alpha Mouse mAb (100 μl)

Brand: ServiceBio
Cat. #: GB12068-100
Availability: In Stock
$259.00
-+
Reactivity:  H    
Applications:  IHC/IF    
Host Species:  Mouse    
Clonality:  Monoclonal    
Gene Name:

T-cell surface glycoprotein CD8 alpha chain

Synonyms:

T-lymphocyte differentiation antigen T8/Leu-2, CD8a, MAL, Leu2, Leu2 T lymphocyte antigen, Ly 35, LYT3, p32, T8 T cell antigen

Immunogen:

KLH conjugated Synthetic peptide corresponding to Human CD8 alpha

Uniprot ID:

P01732

Isotype:

IgG1,κ

Purity:

Affinity purification

Subcellular location:

Cell membrane, Secreted




Product Usage Information

IHC/IF

Human

1: 1500-1: 3000

colon cancer, colon, lung cancer




Background

Integral membrane glycoprotein that plays an essential role in the immune response and serves multiple functions in responses against both external and internal offenses. In T-cells, functions primarily as a coreceptor for MHC class I molecule:peptide complex. The antigens presented by class I peptides are derived from cytosolic proteins while class II derived from extracellular proteins. Interacts simultaneously with the T-cell receptor (TCR) and the MHC class I proteins presented by antigen presenting cells (APCs). In turn, recruits the Src kinase LCK to the vicinity of the TCR-CD3 complex. 




Images

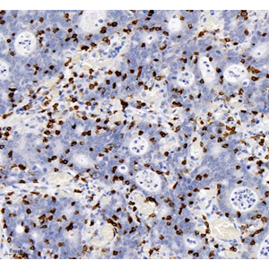
Anti-CD8 alpha Mouse mAb

IHC analysis of CD8A (GB12068).

Sample: Human colon cancer (Paraffin), 4% PFA (G1101) 12-24h.

Antigen retrieval: Citrate buffer (pH 6.0) (G1201), pressure cooker 2min.

Blocking buffer: 3% BSA in PBS (GC305010), RT, 30min.

Primary antibody: 1: 3000, 4°C overnight.

Secondary antibody: HRP Goat Anti-Mouse lgG (GB23301), 1: 200 RT 1h.

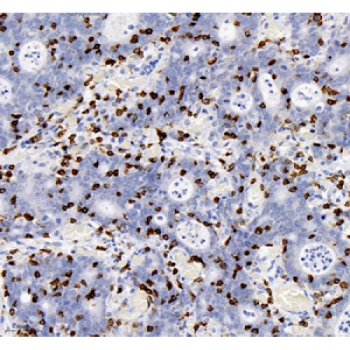
Anti-CD8A Mouse mAb

IHC analysis of CD8A (GB12068).

Sample: Human colon (Paraffin), 4% PFA (G1101) 12-24h.

Antigen retrieval: Citrate buffer (pH 6.0) (G1201), pressure cooker 2min.

Blocking buffer: 3% BSA in PBS (GC305010), RT, 30min.

Primary antibody: 1: 3000, 4°C overnight.

Secondary antibody: HRP Goat Anti-Mouse lgG (GB23301), 1: 200 RT 1h.


IHC analysis of CD8A (GB12068).

Sample: Human lung cancer (Paraffin), 4% PFA (G1101) 12-24h.

Antigen retrieval: Citrate buffer (pH 6.0) (G1201), pressure cooker 2min.

Blocking buffer: 3% BSA in PBS (GC305010), RT, 30min.

Primary antibody: 1: 3000, 4°C overnight.

Secondary antibody: HRP Goat Anti-Mouse lgG (GB23301), 1: 200 RT 1h.

IHC analysis of CD8A (GB12068).

Sample: Human tonsil (Paraffin), 4% PFA (G1101) 12-24h.

Antigen retrieval: Citrate buffer (pH 6.0) (G1201), pressure cooker 2min.

Blocking buffer: 3% BSA in PBS (GC305010), RT, 30min.

Primary antibody: 1: 3000, 4°C overnight.

Secondary antibody: HRP Goat Anti-Mouse lgG (GB23301), 1: 200 RT 1h.




Storage

Storage Store at -20 °C for one year. Avoid repeated freeze/thaw cycles.
Storage Buffer PBS with 0.02%sodium azide,100 μg/ml BSA and 50% glycerol.


Related Products


LIFESCT © 2025

Publications

text_heading

Our Location

405 East Gude Dr., Suite 205, Rockville, MD 20850, USA

+1-301-328-1977