Anti-MRC1 Rabbit pAb (100 μl)

Anti-MRC1 Rabbit pAb (100 μl)

Brand: ServiceBio
Cat. #: GB113497-100
Availability: In Stock
$259.00
-+
Reactivity: M    
Applications: IHC/IF    
Host Species: Rabbit    
Clonality: Polyclonal    
Gene Name:

Macrophage mannose receptor 1

Synonyms:

CD206, CLEC13D, Macrophage mannose receptor 1, Mannose receptor, mannose receptor, C type 1, MMR, MRC1

Gene ID:

17533

Uniprot ID:

Q61830

Immunogen:

KLH conjugated Synthetic peptidecorresponding to Mouse Mannose Receptor

Isotype:

IgG

Purity:

Affinity purification

Subcellular location:

Cell membrane, Endosome




Product Usage Information

IHC/IF

Mouse

1: 400-1: 800

lung+lps




Background

CD206, also named as MMR, CLEC13D and MRC1, is a type I membrane receptor that mediates the endocytosis of glycoproteins by macrophages. CD206 has been shown to bind high-mannose structures on the surface of potentially pathogenic viruses, bacteria, and fungi so that they can be neutralized by phagocytic engulfment. CD206 is a 170 kDa transmembrane glycoprotein which contains 5 domains: an amino-terminal cysteine-rich region, a fibronectin type II repeat, a series of eight tandem lectin-like carbohydrate recognition domains (responsible for the recognition of mannose and fucose), a transmembrane domain, and an intracellular carboxy-terminal tail.




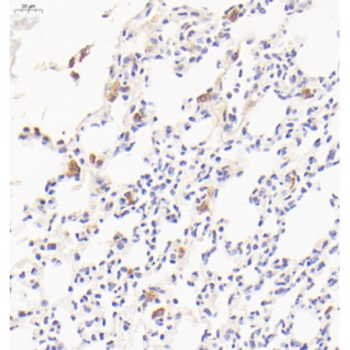
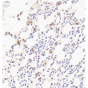
Images

IHC analysis of CD206 (GB113497).

Sample: Mouse lps 24h lung (Paraffin), 4% PFA (G1101) 12-24h.

Antigen retrieval: Citrate buffer (pH 6.0) (G1201),98°C,20 min.

Blocking buffer: 3% BSA in PBS (GC305010), RT, 30min.

Primary antibody: 1: 400, 4°C overnight.

Secondary antibody: HRP Goat Anti-Rabbit lgG (GB23303), 1: 200 RT 1h.


IF analysis of C931 (GB113497).

Sample: Mouse lps 24h lung (Paraffin), 4% PFA (G1101) 12-24h.

Antigen retrieval: TE buffer (pH 9.0) (G1203),98°C,20min.

Blocking buffer: 3% BSA in PBS (GC305010), RT, 30min.

Primary antibody: 1: 500, 4°C overnight.

Secondary antibody: Cy3 conjugated Goat Anti-Rabbit IgG (H+L) (GB21303), 1: 300 RT, 1h.




Storage

StorageStore at -20 °C for one year. Avoid repeated freeze/thaw cycles.
Storage BufferPBS with 0.02%sodium azide,100 μg/ml BSA and 50% glycerol.


Related Products


LIFESCT © 2025

Publications

text_heading

Our Location

405 East Gude Dr., Suite 205, Rockville, MD 20850, USA

+1-301-328-1977