KO-Validated SIRT3 Rabbit mAb (20 μl)

KO-Validated SIRT3 Rabbit mAb (20 μl)

Brand: Abclonal
Cat. #: A20805
Availability: In Stock
$148.00
-+
Reactivity: Human, Mouse, Rat
Applications: WB, IHC, IP, ELISA    
Host Species: Rabbit    
Isotype: IgG    
Clonality: Monoclonal antibody    
Gene Name: sirtuin 3
Gene Symbol: SIRT3
Synonyms: SIR2L3; T3
Gene ID: 23410
UniProt ID: Q9NTG7
Clone ID: 7O4G7
Immunogen: A synthetic peptide corresponding to a sequence within amino acids 300-399 of human SIRT3 (NP_036371.1).
Dilution: WB 1:1000-1:4000; IHC 1:100-1:1000
Purification Method: Affinity purification
Concentration: 1 mg/ml
Buffer: PBS with 0.05% proclin300, 0.05% BSA, 50% glycerol, pH7.3.
Storage: Store at -20°C. Avoid freeze / thaw cycles.
Documents: Manual-SIRT3 monoclonal antibody




Background

SIRT3 encodes a member of the sirtuin family of class III histone deacetylases, homologs to the yeast Sir2 protein. The encoded protein is found exclusively in mitochondria, where it can eliminate reactive oxygen species, inhibit apoptosis, and prevent the formation of cancer cells. SIRT3 has far-reaching effects on nuclear gene expression, cancer, cardiovascular disease, neuroprotection, aging, and metabolic control.




Images

SIRT3 rabbit mAbWestern blot analysis of various lysates, using [KO Validated] SIRT3 Rabbit mAb (A20805) at 1:1000 dilution.
Secondary antibody: HRP-conjugated Goat anti-Rabbit IgG (H+L) (AS014) at 1:10000 dilution.
Lysates/proteins: 25μg per lane.
Blocking buffer: 3% nonfat dry milk in TBST.
Detection: ECL Basic Kit (RM00020).
Exposure time: 30s.
SIRT3 monoclonal antibodyWestern blot analysis of various lysates using [KO Validated] SIRT3 Rabbit mAb (A20805) at 1:1000 dilution incubated overnight at 4℃.
Secondary antibody: HRP-conjugated Goat anti-Rabbit IgG (H+L) (AS014) at 1:10000 dilution.
Lysates/proteins: 25 μg per lane.
Blocking buffer: 3% nonfat dry milk in TBST.
Detection: ECL Basic Kit (RM00020).
Exposure time: 30s.
Anti-SIRT3 antibodyWestern blot analysis of lysates from wild type (WT) and SIRT3 knockout (KO) 293T cells using [KO Validated] SIRT3 Rabbit mAb (A20805) at 1:1000 dilution incubated overnight at 4℃.
Secondary antibody: HRP-conjugated Goat anti-Rabbit IgG (H+L) (AS014) at 1:10000 dilution.
Lysates/proteins: 25 μg per lane.
Blocking buffer: 3% nonfat dry milk in TBST.
Detection: ECL Basic Kit (RM00020).
Exposure time: 30s.
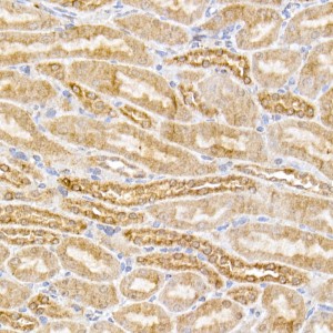
Immunohistochemistry analysis of paraffin-embedded Mouse kidney using [KO Validated] SIRT3 Rabbit mAb (A20805) at dilution of 1:100 (40x lens). High pressure antigen retrieval performed with 0.01M Citrate Bufferr (pH 6.0) prior to IHC staining.
Immunoprecipitation analysis of 300ug extracts of Hela cells using 3ug SIRT3 Rabbit mAb (A20805). Western blot was performed from the immunoprecipitate using SIRT3 Rabbit mAb (A20805) at a dilition of 1:1000.



You may also be interested in:

Related Products


LIFESCT © 2025

Publications

text_heading

Our Location

405 East Gude Dr., Suite 205, Rockville, MD 20850, USA

+1-301-328-1977