| Reactivity: | House, Mouse, Rat |
| Applications: | IHC/IF |
| Host Species: | Rabbit |
| Clonality: | Polyclonal |
| Gene Name: | FBJ osteosarcoma oncogene |
| Full Name: | FOS |
| Synonyms: | cFos; c-fos; D12Rfj1 |
| Uniprot ID: | P01100, P01101, P12841 |
| Immunogen: | KLH conjugated Synthetic peptide corresponding to Mouse c-FOS |
| Isotype: | IgG |
| Purity: | Affinity purification |
| Subcellular location: | Nucleus, Endoplasmic reticulum, Cytoplasm |
| Documents: | Manual-FOS Antibody |
Product Usage Information
IHC/IF | Human, Mouse, Rat | 1: 200-1: 1000 | brain, breast cancer, colon cancer, ovary |
Background
The Fos gene family consists of 4 members: FOS, FOSB, FOSL1, and FOSL2. These genes encode leucine zipper proteins that can dimerize with proteins of the JUN family, thereby forming the transcription factor complex AP-1. As such, the FOS proteins have been implicated as regulators of cell proliferation, differentiation, and transformation. In some cases, expression of the FOS gene has also been associated with apoptotic cell death.
Images
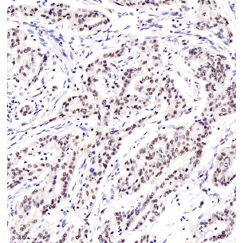
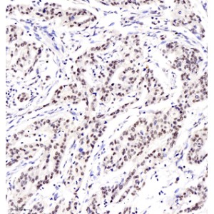
| IHC analysis of c-fos (GB11069). Sample: Human breast cancer (Paraffin), 4% PFA (G1101) 12-24h. Antigen retrieval: Citrate buffer (pH 6.0) (G1201),98°C,20 min. Blocking buffer: 3% BSA in PBS (GC305010), RT, 30min. Primary antibody: 1: 600, 4°C overnight. Secondary antibody: HRP Goat Anti-Rabbit lgG (GB23303), 1: 200 RT 1h. |
| IHC analysis of c-fos (GB11069). Sample: Human colon cancer (Paraffin), 4% PFA (G1101) 12-24h. Antigen retrieval: Citrate buffer (pH 6.0) (G1201),98°C,20 min. Blocking buffer: 3% BSA in PBS (GC305010), RT, 30min. Primary antibody: 1: 600, 4°C overnight. Secondary antibody: HRP Goat Anti-Rabbit lgG (GB23303), 1: 200 RT 1h. |
| IHC analysis of c-fos (GB11069). Sample: Mouse ovary (Paraffin), 4% PFA (G1101) 12-24h. Antigen retrieval: Citrate buffer (pH 6.0) (G1201),98°C,20 min. Blocking buffer: 3% BSA in PBS (GC305010), RT, 30min. Primary antibody: 1: 600, 4°C overnight. Secondary antibody: HRP Goat Anti-Rabbit lgG (GB23303), 1: 200 RT 1h. |
| IHC analysis of c-fos (GB11069). Sample: Mouse liver (Paraffin), 4% PFA (G1101) 12-24h. Antigen retrieval: Citrate buffer (pH 6.0) (G1201),98°C,20 min. Blocking buffer: 3% BSA in PBS (GC305010), RT, 30min. Primary antibody: 1: 600, 4°C overnight. Secondary antibody: HRP Goat Anti-Rabbit lgG (GB23303), 1: 200 RT 1h. |
| IHC analysis of c-fos (GB11069). Sample: Rat brain (Paraffin), 4% PFA (G1101) 12-24h. Antigen retrieval: Citrate buffer (pH 6.0) (G1201),98°C,20 min. Blocking buffer: 3% BSA in PBS (GC305010), RT, 30min. Primary antibody: 1: 400, 4°C overnight. Secondary antibody: HRP Goat Anti-Rabbit lgG (GB23303), 1: 200 RT 1h. |
| IHC analysis of c-fos (GB11069). Sample: Rat heart (Paraffin), 4% PFA (G1101) 12-24h. Antigen retrieval: Citrate buffer (pH 6.0) (G1201),98°C,20 min. Blocking buffer: 3% BSA in PBS (GC305010), RT, 30min. Primary antibody: 1: 600, 4°C overnight. Secondary antibody: HRP Goat Anti-Rabbit lgG (GB23303), 1: 200 RT 1h. |
| IHC analysis of c-fos (GB11069). Sample: Rat kidney (Paraffin), 4% PFA (G1101) 12-24h. Antigen retrieval: Citrate buffer (pH 6.0) (G1201),98°C,20 min. Blocking buffer: 3% BSA in PBS (GC305010), RT, 30min. Primary antibody: 1: 600, 4°C overnight. Secondary antibody: HRP Goat Anti-Rabbit lgG (GB23303), 1: 200 RT 1h. |
| IF analysis of c-fos (GB11069). Sample: Rat brain (Paraffin), 4% PFA (G1101) 12-24h. Antigen retrieval: Citrate buffer (pH 6.0) (G1201),98°C,20 min. Blocking buffer: 3% BSA in PBS (GC305010), RT, 30min. Primary antibody: 1: 600, 4°C overnight. Secondary antibody: Cy3 conjugated Goat Anti-Rabbit IgG (H+L) (GB21303), 1: 300 RT, 1h. |
Storage
| Storage | Store at -20 °C for one year. Avoid repeated freeze/ thaw cycles. |
| Storage Buffer | PBS with 0.02% sodium azide, 100 μg/ml BSA and 50% glycerol. |
You may also be interested in: