Anti-TPO Mouse mAb (50 μl)

Anti-TPO Mouse mAb (50 μl)

Brand: ServiceBio
Cat. #: GB14160-50
Availability: In Stock
$259.00
-+
Reactivity: H    
Applications: IHC/IF    
Host Species: Mouse    
Clonality: Monoclonal    
Gene Name:

Thyroid peroxidase (TPO) (EC 1.11.1.8)

Gene ID:

7173

Immunogen:

Synthesized peptide derived from human Thyroid Peroxidase (TPO)

Uniprot ID:

P07202

Source:

Mouse/IgG2b, Kappa

Concentration:

1 mg/ml

Purity:

The antibody was affinity-purified from mouse ascites by affinity-chromatography using specific immunogen.




Product Usage Information

IHC/IF

Human

1: 200-1: 500

follicular thyroid carcinoma




Background

thyroid peroxidase(TPO) Homo sapiens This gene encodes a membrane-bound glycoprotein. The encoded protein acts as an enzyme and plays a central role in thyroid gland function. The protein functions in the iodination of tyrosine residues in thyroglobulin and phenoxy-ester formation between pairs of iodinated tyrosines to generate the thyroid hormones, thyroxine and triiodothyronine. Mutations in this gene are associated with several disorders of thyroid hormonogenesis, including congenital hypothyroidism, congenital goiter, and thyroid hormone organification defect IIA. Multiple transcript variants encoding distinct isoforms have been identified for this gene, but the full-length nature of some variants has not been determined. 




Images

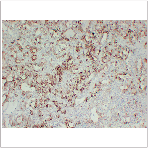
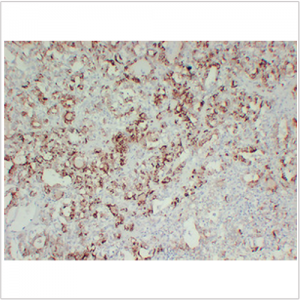
TPO Mouse mAb

Immunohistochemistry analysis of paraffin embedded human follicular thyroid carcinoma using Thyroid Peroxidase/TPO (GB14160) at dilution of 1: 200




Storage

StorageStore at -20 °C for one year. Avoid repeated freeze/thaw cycles.
Storage BufferLiquid in PBS containing 50% glycerol, 0.5% BSA and 0.02% sodium azide.


TPO

Related Products


LIFESCT © 2025

Publications

text_heading

Our Location

405 East Gude Dr., Suite 205, Rockville, MD 20850, USA

+1-301-328-1977