KO-Validated CAPG Rabbit pAb (20 μl)

KO-Validated CAPG Rabbit pAb (20 μl)

Brand: Abclonal
Cat. #: A7324
Availability: In Stock
$128.00
-+
Reactivity: Human, Mouse, Rat
Applications: WB, IHC, ELISA    
Host Species: Rabbit    
Isotype: IgG    
Clonality: Polyclonal antibody    
Gene Name: capping actin protein, gelsolin like
Gene Symbol: CAPG
Synonyms: MCP; AFCP; HEL-S-66; PG
Gene ID: 822
UniProt ID: P40121
Immunogen: Recombinant fusion protein containing a sequence corresponding to amino acids 1-348 of human CAPG (NP_001738.2).
Dilution: WB 1:500-1:2000; IHC 1:50-1:200
Purification Method: Affinity purification
Concentration: 0.34 mg/ml
Buffer: PBS with 0.02% sodium azide, 50% glycerol ,pH7.3.
Storage: Store at -20°C. Avoid freeze / thaw cycles.
Documents: Manual-CAPG polyclonal antibody




Background

The gene CAPG encodes a member of the gelsolin/villin family of actin-regulatory proteins. The encoded protein reversibly blocks the barbed ends of F-actin filaments in a Ca2+ and phosphoinositide-regulated manner, but does not sever preformed actin filaments. By capping the barbed ends of actin filaments, the encoded protein contributes to the control of actin-based motility in non-muscle cells. Alternatively spliced transcript variants have been observed for this gene.




Images

CAPG rabbit pAbWestern blot analysis of various lysates using [KO Validated] CAPG Rabbit pAb (A7324) at 1:1000 dilution.
Secondary antibody: HRP-conjugated Goat anti-Rabbit IgG (H+L) (AS014) at 1:10000 dilution.
Lysates/proteins: 25μg per lane.
Blocking buffer: 3% nonfat dry milk in TBST.
Detection: ECL Basic Kit (RM00020).
Exposure time: 30s.
CAPG polyclonal antibodyWestern blot analysis of various lysates using [KO Validated] CAPG Rabbit pAb (A7324) at 1:1000 dilution.
Secondary antibody: HRP-conjugated Goat anti-Rabbit IgG (H+L) (AS014) at 1:10000 dilution.
Lysates/proteins: 25μg per lane.
Blocking buffer: 3% nonfat dry milk in TBST.
Detection: ECL Basic Kit (RM00020).
Exposure time: 90s.
anti-CAPG antibodyWestern blot analysis of lysates from wild type (WT) and CAPG knockout (KO) HeLa cells, using [KO Validated] CAPG Rabbit pAb (A7324) at 1:1000 dilution.
Secondary antibody: HRP-conjugated Goat anti-Rabbit IgG (H+L) (AS014) at 1:10000 dilution.
Lysates/proteins: 25μg per lane.
Blocking buffer: 3% nonfat dry milk in TBST.
Detection: ECL Basic Kit (RM00020).
Exposure time: 90s.
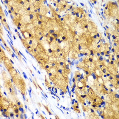
Immunohistochemistry analysis of paraffin-embedded Human lung cancer using [KO Validated] CAPG Rabbit pAb (A7324) at dilution of 1:100 (40x lens). Microwave antigen retrieval performed with 0.01M PBS Buffer (pH 7.2) prior to IHC staining.
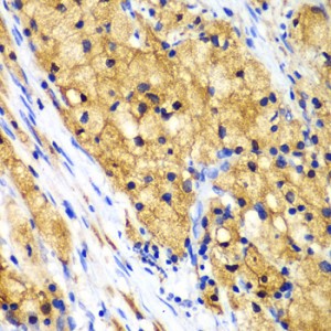
Immunohistochemistry analysis of paraffin-embedded Human liver cancer using [KO Validated] CAPG Rabbit pAb (A7324) at dilution of 1:100 (40x lens). Microwave antigen retrieval performed with 0.01M PBS Buffer (pH 7.2) prior to IHC staining.



You may also be interested in:

Related Products


LIFESCT © 2025

Publications

text_heading

Our Location

405 East Gude Dr., Suite 205, Rockville, MD 20850, USA

+1-301-328-1977