Anti-SQSTM1 / p62 Rabbit pAb (100 μl)

Anti-SQSTM1 / p62 Rabbit pAb (100 μl)

Brand: ServiceBio
Cat. #: GB11531-100
Availability: In Stock
$259.00
-+
Reactivity: H,M,R & H,M,R & H,M,R    
Applications: WB & IHC/IF & ICC/IF    
Host Species: Rabbit    
Clonality: Polyclonal    
Gene Name:

Sequestosome-1

Synonyms:

SQSTM1, A170, OSIL, PDB3, ZIP3, p60, p62, p62B, FTDALS3, Sequestosome 1, NADGP, DMRV

Immunogen:

KLH conjugated Synthetic peptide corresponding to Human SQSTM1

Uniprot ID:

Q13501

Isotype:

IgG

Purity:

Affinity purification

Subcellular location:

Nucleus, Cytoplasm

Predicted MW. / Observed MW.

48 kDa / 62 kDa




Product Usage Information

Applications

Species

Dilution

Positive Sample

WB

Human, Mouse, Rat

1: 500-1: 1000

HeLa, HIN3T3, HepG2

IHC/IF

Human, Mouse, Rat

1: 500-1: 1000

ovarian cancer, lung cancer

ICC/IF

Human, Mouse, Rat

1: 500-1: 1000

HeLa, NIH/3T3




Background

The product of SQSTM1 gene, Sequestosome-1, also kown as ubiquitin-binding protein p62, is an autophagosome cargo protein that targets other proteins that bind to it for selective autophagy. By interacting with GATA4 and targeting it for degradation, it can inhibit GATA-4 associated senescence and senescence-associated secretory phenotype.




Images

Western blot analysis of P62 (GB11531) at dilution of 1: 500

Lane 1: HeLa (untreated) cell lysate

Lane 2: HeLa (treated with Chloroquine, 50 μM, overnight ) cell lysate

Lane 3: NIH3T3 (untreated) cell lysate

Lane 4: NIH3T3 (treated with Chloroquine, 50 μM, overnight ) cell lysate

Lane 5: HepG2 cell lysate

Lane 6: MCF7 cell lysate

Lane 7: A549 cell lysate

Lane 8: L929 cell lysate

Lane 9: PC-12 cell lysate

Anti-SQSTM1 Rabbit pAb

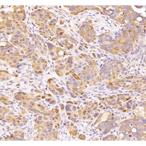
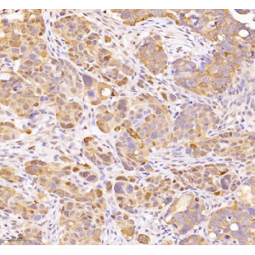
Anti-p62 Rabbit pAbImmunohistochemistry analysis of paraffin-embedded human ovarian cancer using P62 (GB11531) at dilution of 1: 500
Immunohistochemistry analysis of paraffin-embedded human lung cancer using P62 (GB11531) at dilution of 1: 500
Immunocytochemistry analysis of 4% paraformaldehyde-fixed Hela cell untreatd using P62 (GB11531) at dilution of 1: 500
Immunocytochemistry analysis of 4% paraformaldehyde-fixed Hela cell with chloroquine treated using P62 (GB11531) at dilution of 1: 500
Immunocytochemistry analysis of 4% paraformaldehyde-fixed NIH/3T3 cell untreatd using P62 (GB11531) at dilution of 1: 500
Immunocytochemistry analysis of 4% paraformaldehyde-fixed NIH/3T3 cell with chloroquine treated using P62 (GB11531) at dilution of 1: 500




Storage

StorageStore at -20 °C for one year. Avoid repeated freeze/ thaw cycles.
Storage BufferPBS with 0.02% sodium azide, 100 μg/ml BSA and 50% glycerol.


Related Products


LIFESCT © 2025

Publications

text_heading

Our Location

405 East Gude Dr., Suite 205, Rockville, MD 20850, USA

+1-301-328-1977