KD-Validated CHCHD4 Rabbit mAb (20 μl)

KD-Validated CHCHD4 Rabbit mAb (20 μl)

Brand: Abclonal
Cat. #: A27252
Availability: In Stock
$148.00
-+
Reactivity: Human, Mouse Rat    
Applications: WB, IHC, IF/IC, ELISA    
Host Species: Rabbit    
Isotype: IgG    
Clonality: Monoclonal antibody    
Gene Name: coiled-coil-helix-coiled-coil-helix domain containing 4
Gene Symbol: CHCHD4
Synonyms: MIA40; TIMM40
Gene ID: 131474
UniProt ID: Q8N4Q1
Immunogen: Recombinant fusion protein containing a sequence corresponding to amino acids 1-105 of human CHCHD4 (NP_001091972.1).
Purification Method: Affinity purification
Dilution: WB 1:13000 - 1:78000; IHC 1:600-1:3000; IF/IC 1:50-1:200
Concentration: 1.32 mg/ml
Buffer: PBS with 0.09% Sodium azide, 0.05% BSA, 50% glycerol, pH7.3.
Storage: Store at -20°C. Avoid freeze / thaw cycles.
Documents: Manual-CHCHD4 monoclonal antibody




Background

CHCHD4, a component of human mitochondria, belongs to a protein family whose members share 6 highly conserved cysteine residues constituting a -CXC-CX(9)C-CX(9)C- motif in the C terminus (Hofmann et al., 2005 [PubMed 16185709]).




Images

CHCHD4 rabbit mAbWestern blot analysis of various lysates using [KD Validated] CHCHD4 Rabbit mAb (A27252) at 1:13000 dilution incubated at room temperature for 1.5 hours.
Secondary antibody: HRP-conjugated Goat anti-Rabbit IgG (H+L) (AS014) at 1:10000 dilution.
Lysates/proteins: 25 μg per lane.
Blocking buffer: 3% nonfat dry milk in TBST.
Detection: ECL Basic Kit (RM00020).
Exposure time: 10s.
CHCHD4 antibodyWestern blot analysis of lysates from wild type (WT) and CHCHD4 knockdown (KD) 293T cells using [KD Validated] CHCHD4 Rabbit mAb (A27252) at 1:13000 dilution incubated at room temperature for 1.5 hours.
Secondary antibody: HRP-conjugated Goat anti-Rabbit IgG (H+L) (AS014) at 1:10000 dilution.
Lysates/proteins: 25 μg per lane.
Blocking buffer: 3% nonfat dry milk in TBST.
Detection: ECL Basic Kit (RM00020).
Exposure time: 10s.
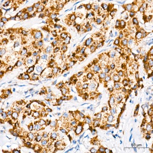
anti-CHCHD4 antibodyImmunohistochemistry analysis of paraffin-embedded Human breast cancer tissue using [KD Validated] CHCHD4 Rabbit mAb (A27252) at a dilution of 1:600 (40x lens). High pressure antigen retrieval performed with 0.01M Tris-EDTA Buffer (pH 9.0) prior to IHC staining.
Immunohistochemistry analysis of paraffin-embedded Human kidney tissue using [KD Validated] CHCHD4 Rabbit mAb (A27252) at a dilution of 1:600 (40x lens). High pressure antigen retrieval performed with 0.01M Tris-EDTA Buffer (pH 9.0) prior to IHC staining.
Immunohistochemistry analysis of paraffin-embedded Human tonsil tissue using [KD Validated] CHCHD4 Rabbit mAb (A27252) at a dilution of 1:600 (40x lens). High pressure antigen retrieval performed with 0.01M Tris-EDTA Buffer (pH 9.0) prior to IHC staining.
Immunohistochemistry analysis of paraffin-embedded Rat spleen tissue using [KD Validated] CHCHD4 Rabbit mAb (A27252) at a dilution of 1:600 (40x lens). High pressure antigen retrieval performed with 0.01M Tris-EDTA Buffer (pH 9.0) prior to IHC staining.
Immunohistochemistry analysis of paraffin-embedded Rat lung tissue using [KD Validated] CHCHD4 Rabbit mAb (A27252) at a dilution of 1:600 (40x lens). High pressure antigen retrieval performed with 0.01M Tris-EDTA Buffer (pH 9.0) prior to IHC staining.
Immunohistochemistry analysis of paraffin-embedded Rat testis tissue using [KD Validated] CHCHD4 Rabbit mAb (A27252) at a dilution of 1:600 (40x lens). High pressure antigen retrieval performed with 0.01M Tris-EDTA Buffer (pH 9.0) prior to IHC staining.



You may also be interested in:

Related Products


LIFESCT © 2025

Publications

text_heading

Our Location

405 East Gude Dr., Suite 205, Rockville, MD 20850, USA

+1-301-328-1977