KO-Validated CDK2 Rabbit pAb (20 μl)

KO-Validated CDK2 Rabbit pAb (20 μl)

Brand: Abclonal
Cat. #: A0294
Availability: In Stock
$128.00
-+
Reactivity: Human, Mouse, Rat
Applications: WB, IHC, ELISA    
Host Species: Rabbit    
Isotype: IgG    
Clonality: Polyclonal antibody    
Gene Name: cyclin dependent kinase 2
Gene Symbol: CDK2
Synonyms: CDKN2; p33(CDK2); K2
Gene ID: 1017
UniProt ID: P24941
Immunogen: A synthetic peptide corresponding to a sequence within amino acids 200-298 of human CDK2 (NP_001789.2).
Dilution: WB 1:500-1:1000; IHC 1:50-1:200
Purification Method: Affinity purification
Concentration: 2.47 mg/ml
Buffer: PBS with 0.01% thimerosal, 50% glycerol, pH7.3.
Storage: Store at -20°C. Avoid freeze / thaw cycles.
Documents: Manual-CDK2 polyclonal antibody




Background

The gene CDK2 encodes a member of a family of serine/threonine protein kinases that participate in cell cycle regulation. The encoded protein is the catalytic subunit of the cyclin-dependent protein kinase complex, which regulates progression through the cell cycle. Activity of this protein is especially critical during the G1 to S phase transition. This protein associates with and regulated by other subunits of the complex including cyclin A or E, CDK inhibitor p21Cip1 (CDKN1A), and p27Kip1 (CDKN1B). Alternative splicing results in multiple transcript variants.




Images

CDK2 pAbWestern blot analysis of lysates from HeLa cells, using [KO Validated] CDK2 Rabbit pAb (A0294) at 1:1000 dilution.
Secondary antibody: HRP-conjugated Goat anti-Rabbit IgG (H+L) (AS014) at 1:10000 dilution.
Lysates/proteins: 25μg per lane.
Blocking buffer: 3% nonfat dry milk in TBST.
Detection: ECL Enhanced Kit (RM00021).
Exposure time: 10s.
CDK2 antibodyWestern blot analysis of lysates from wild type(WT) and CDK2 knockout (KO) 293T cells, using [KO Validated] CDK2 Rabbit pAb (A0294) at 1:1000 dilution.
Secondary antibody: HRP-conjugated Goat anti-Rabbit IgG (H+L) (AS014) at 1:10000 dilution.
Lysates/proteins: 25μg per lane.
Blocking buffer: 3% nonfat dry milk in TBST.
Detection: ECL Basic Kit (RM00020).
Exposure time: 10s.
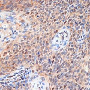
anti CDK2 antibodyImmunohistochemistry analysis of paraffin-embedded Human esophageal cancer using [KO Validated] CDK2 Rabbit pAb (A0294) at dilution of 1:100 (40x lens). Microwave antigen retrieval performed with 0.01M Tris/EDTA Buffer (pH 9.0) prior to IHC staining.



You may also be interested in:

Related Products


LIFESCT © 2025

Publications

text_heading

Our Location

405 East Gude Dr., Suite 205, Rockville, MD 20850, USA

+1-301-328-1977