KD-Validated Calreticulin Rabbit mAb (20 μl)

KD-Validated Calreticulin Rabbit mAb (20 μl)

Brand: Abclonal
Cat. #: A20986
Availability: In Stock
$148.00
-+
Reactivity: Human, Mouse, Rat
Applications: WB, IHC, IF/IC, ELISA    
Host Species: Rabbit    
Isotype: IgG    
Clonality: Monoclonal antibody    
Gene Name: calreticulin
Gene Symbol: CALR
Synonyms: RO; CRT; SSA; cC1qR; HEL-S-99n; [KD Validated] Calreticulin
Gene ID: 811
UniProt ID: P27797
Clone ID: 10J1K8
Immunogen: Recombinant fusion protein containing a sequence corresponding to amino acids 18-203 of human Calreticulin (NP_004334.1).
Dilution: WB 1:1000-1:6000; IHC 1:1000-1:5000; IF/IC 1:50-1:2000
Purification Method: Affinity purification
Concentration: 1 mg/mL
Buffer: PBS with 0.05% proclin300, 0.05% BSA, 50% glycerol, pH7.3.
Storage: Store at -20°C. Avoid freeze / thaw cycles.
Documents: Manual-CALR monoclonal antibody




Background

Calreticulin (CALR) is a highly conserved chaperone protein which resides primarily in the endoplasmic reticulum, and is involved in a variety of cellular processes, among them, cell adhesion. Additionally, it functions in protein folding quality control and calcium homeostasis. Calreticulin is also found in the nucleus, suggesting that it may have a role in transcription regulation. Systemic lupus erythematosus is associated with increased autoantibody titers against calreticulin. Recurrent mutations in calreticulin have been linked to various neoplasms, including the myeloproliferative type.




Images

CALR rabbit mAbWestern blot analysis of various lysates using [KD Validated] Calreticulin Rabbit mAb (A20986) at 1:1000 dilution incubated overnight at 4℃.
Secondary antibody: HRP-conjugated Goat anti-Rabbit IgG (H+L) (AS014) at 1:10000 dilution.
Lysates/proteins: 25 μg per lane.
Blocking buffer: 3% nonfat dry milk in TBST.
Detection: ECL Basic Kit (RM00020).
Exposure time: 10s.
CALR monoclonal antibodyWestern blot analysis of lysates from wild type (WT) and Calreticulin knockdown (KD) 293T cells using [KD Validated] Calreticulin Rabbit mAb (A20986) at 1:1000 dilution incubated overnight at 4℃.
Secondary antibody: HRP-conjugated Goat anti-Rabbit IgG (H+L) (AS014) at 1:10000 dilution.
Lysates/proteins: 25 μg per lane.
Blocking buffer: 3% nonfat dry milk in TBST.
Detection: ECL Basic Kit (RM00020).
Exposure time: 10s.
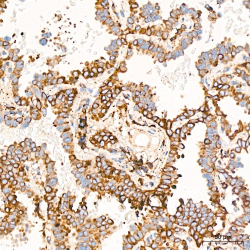
anti-CALR antibodyImmunohistochemistry analysis of paraffin-embedded Human lung adenocarcinoma tissue using [KD Validated] Calreticulin Rabbit mAb (A20986) at a dilution of 1:2000 (40x lens). High pressure antigen retrieval performed with 0.01M Citrate Bufferr (pH 6.0) prior to IHC staining.
Calreticulin rabbit mAbImmunohistochemistry analysis of paraffin-embedded Rat kidney tissue using [KD Validated] Calreticulin Rabbit mAb (A20986) at a dilution of 1:2000 (40x lens). High pressure antigen retrieval performed with 0.01M Citrate Bufferr (pH 6.0) prior to IHC staining.
Calreticulin monoclonal antibodyImmunohistochemistry analysis of paraffin-embedded Human thyroid cancer tissue using [KD Validated] Calreticulin Rabbit mAb (A20986) at a dilution of 1:2000 (40x lens). High pressure antigen retrieval performed with 0.01M Citrate Bufferr (pH 6.0) prior to IHC staining.
anti-Calreticulin antibodyImmunohistochemistry analysis of paraffin-embedded Mouse testis tissue using [KD Validated] Calreticulin Rabbit mAb (A20986) at a dilution of 1:2000 (40x lens). High pressure antigen retrieval performed with 0.01M Citrate Bufferr (pH 6.0) prior to IHC staining.
Calreticulin antibodyImmunohistochemistry analysis of paraffin-embedded Mouse brain tissue using [KD Validated] Calreticulin Rabbit mAb (A20986) at a dilution of 1:2000 (40x lens). High pressure antigen retrieval performed with 0.01M Citrate Bufferr (pH 6.0) prior to IHC staining.
Confocal imaging of Hep G2 cells using [KD Validated] Calreticulin Rabbit mAb (A20986,dilution 1:50)(Red) . DAPI was used for nuclear staining (blue). Objective: 40x.



You may also be interested in:

Related Products


LIFESCT © 2025

Publications

text_heading

Our Location

405 East Gude Dr., Suite 205, Rockville, MD 20850, USA

+1-301-328-1977