Anti-Collagen II Rabbit pAb (100 μl)

Anti-Collagen II Rabbit pAb (100 μl)

Brand: ServiceBio
Cat. #: GB11021-100
Availability: In Stock
$259.00
-+
Reactivity: H,M,R & M,R    
Applications: WB & IHC/IF    
Host Species: Rabbit    
Clonality: Polyclonal    
Full Name:

Collagen II rabbit polyclonal

Gene Name:

Collagen alpha-1(II) chain

Synonyms:

COL2A1, ANFH, AOM, COL11A3, SEDC, STL1, collagen type II alpha 1, collagen type II alpha 1 chain

Uniprot ID:

P02458, P28481, P05539

Immunogen:

Recombinant protein corresponding to Mouse COL2A1 

Isotype:

IgG

Predicted MW.

142 kDa

Observed MW.

180 kDa

Purity:

Affinity purification

Subcellular location:

Secreted




Product Usage Information

WB

Human, Mouse, Rat

1: 500-1: 2000

fibrotic liver, cartilage, skin

IHC/IF

Mouse, Rat

1: 100-1: 500

bone




Background

Type II collagen is specific for cartilaginous tissues. It is essential for the normal embryonic development of the skeleton, for linear growth and for the ability of cartilage to resist compressive forces.




Images

Anti-Collagen II Rabbit pAb


WB analysis of CollagenII (GB11021).

Sample: Protein treated by RIPA Lysis Buffer (G2002).

Blocking buffer: 3% Nonfat dry milk (GC310001) in TBST, RT, 1h.

Primary antibody: 1: 1000, 4°C overnight.

Secondary antibody: HRP Goat Anti-Rabbit lgG (GB23303), 1: 3000, RT, 1h.

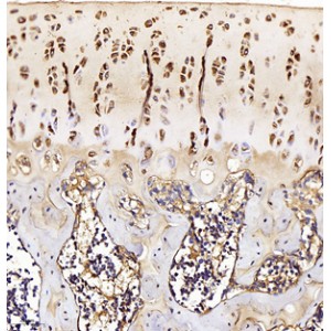
Anti-Collagen II Rabbit pAb

IHC analysis of collagen II (GB11021).

Sample: Rat bone (Paraffin), 4% PFA (G1101) 12-24h.

Antigen retrieval: Citrate buffer (pH 6.0) (G1201),98°C,20 min.

Blocking buffer: 3% BSA in PBS (GC305010), RT, 30min.

Primary antibody: , 4°C overnight.

Secondary antibody: HRP Goat Anti-Rabbit lgG (GB23303), 1: 200 RT 1h.

Anti-COL2A1 Rabbit pAb

IF analysis of collagen II (GB11021).

Sample: Mouse bone (Paraffin), 4% PFA (G1101) 12-24h.

Antigen retrieval: Citrate buffer (pH 6.0) (G1201),98°C,20 min.

Blocking buffer: 3% BSA in PBS (GC305010), RT, 30min.

Primary antibody: , 4°C overnight.

Secondary antibody: Cy3 conjugated Goat Anti-Rabbit IgG (H+L) (GB21303), 1: 300 RT, 1h.

IF analysis of collagen II (GB11021).

Sample: rat bone (Paraffin), 4% PFA (G1101) 12-24h.

Antigen retrieval: Citrate buffer (pH 6.0) (G1201),98°C,20 min.

Blocking buffer: 3% BSA in PBS (GC305010), RT, 30min.

Primary antibody: , 4°C overnight.

Secondary antibody: Cy3 conjugated Goat Anti-Rabbit IgG (H+L) (GB21303), 1: 300 RT, 1h.




Storage

StorageStore at -20 °C for one year. Avoid repeated freeze/ thaw cycles.
Storage BufferPBS with 0.02% sodium azide, 100 μg/ml BSA and 50% glycerol.


Related Products


LIFESCT © 2025

Publications

text_heading

Our Location

405 East Gude Dr., Suite 205, Rockville, MD 20850, USA

+1-301-328-1977