Anti-Cleaved-Caspase-3 Rabbit pAb (100 μl)

Anti-Cleaved-Caspase-3 Rabbit pAb (100 μl)

Brand: ServiceBio
Cat. #: GB11532-100
Availability: In Stock
$259.00
-+
Reactivity: H,M,R & H,M,R    
Applications: IHC/IF & ICC/IF    
Host Species: Rabbit    
Clonality: Polyclonal    
Full Name:

Cleaved- Caspase-3 rabbit polyclonal antibody

Gene Name:

Caspase-3

Synonyms:

CASP3, CPP32, CPP32B, SCA-1, caspase 3

Uniprot ID:

P70677, P42574, P55213

Immunogen:

KLH conjugated Synthetic peptide corresponding to Mouse caspase3

Isotype:

IgG

Purity:

Affinity purification

Subcellular location:

Cytoplasm




Product Usage Information

IHC/IF

Human, Mouse, Rat

1: 500-1: 1000

colon cancer, esophageal cancer, spleen

ICC/IF

Human, Mouse, Rat

1: 500-1: 1000

C212, HeLa, L6




Background

Involved in the activation cascade of caspases responsible for apoptosis execution. At the onset of apoptosis it proteolytically cleaves poly(ADP-ribose) polymerase (PARP) at a '216-Asp-|-Gly-217' bond. Cleaves and activates sterol regulatory element binding proteins (SREBPs) between the basic helix-loop-helix leucine zipper domain and the membrane attachment domain. Cleaves and activates caspase-6, -7 and -9. Triggers cell adhesion in sympathetic neurons through RET cleavage (By similarity).




Images

Anti-Cleaved-Caspase-3 Rabbit pAb

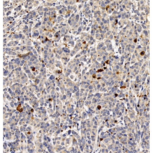
IHC analysis of c-caspase3 (GB11532).

Sample: Human subcutaneous transplant tumor(MCF-7) (Paraffin), 4% PFA (G1101) 12-24h.

Antigen retrieval: Citrate buffer (pH 6.0) (G1201),98°C,20 min.

Blocking buffer: 3% BSA in PBS (GC305010), RT, 30min.

Primary antibody: 1: 600, 4°C overnight.

Secondary antibody: HRP Goat Anti-Rabbit lgG (GB23303), 1: 200 RT 1h.

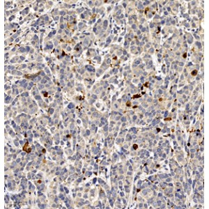
IHC analysis of c-caspase3 (GB11532).

Sample: Human stomcah cancer (Paraffin), 4% PFA (G1101) 12-24h.

Antigen retrieval: Citrate buffer (pH 6.0) (G1201),98°C,20 min.

Blocking buffer: 3% BSA in PBS (GC305010), RT, 30min.

Primary antibody: 1: 600, 4°C overnight.

Secondary antibody: HRP Goat Anti-Rabbit lgG (GB23303), 1: 200 RT 1h.

IHC analysis of c-caspase3 (GB11532).

Sample: Mouse subcutaneous transplant tumor (Paraffin), 4% PFA (G1101) 12-24h.

Antigen retrieval: Citrate buffer (pH 6.0) (G1201),98°C,20 min.

Blocking buffer: 3% BSA in PBS (GC305010), RT, 30min.

Primary antibody: 1: 600, 4°C overnight.

Secondary antibody: HRP Goat Anti-Rabbit lgG (GB23303), 1: 200 RT 1h.

IHC analysis of c-caspase3 (GB11532).

Sample: Rat spleen+lps (Paraffin), 4% PFA (G1101) 12-24h.

Antigen retrieval: Citrate buffer (pH 6.0) (G1201),98°C,20 min.

Blocking buffer: 3% BSA in PBS (GC305010), RT, 30min.

Primary antibody: 1: 500, 4°C overnight.

Secondary antibody: HRP Goat Anti-Rabbit lgG (GB23303), 1: 200 RT 1h.

IF analysis of c-caspase3 (GB11532).

Sample: Human colon cancer (Paraffin), 4% PFA (G1101) 12-24h.

Antigen retrieval: TE buffer (pH 9.0) (G1203),98°C,20min.

Blocking buffer: 3% BSA in PBS (GC305010), RT, 30min.

Primary antibody: 1: 500, 4°C overnight.

Secondary antibody: Cy3 conjugated Goat Anti-Rabbit IgG (H+L) (GB21303), 1: 300 RT, 1h.


IF analysis of c-caspase3 (GB11532).

Sample: Human subcutaneous transplant tumor (Paraffin), 4% PFA (G1101) 12-24h.

Antigen retrieval: TE buffer (pH 9.0) (G1203),98°C,20min.

Blocking buffer: 3% BSA in PBS (GC305010), RT, 30min.

Primary antibody: 1: 1200, 4°C overnight.

Secondary antibody: Cy3 conjugated Goat Anti-Rabbit IgG (H+L) (GB21303), 1: 300 RT, 1h.

IF analysis of c-caspase3 (GB11532).

Sample: Human stomcah cancer (Paraffin), 4% PFA (G1101) 12-24h.

Antigen retrieval: TE buffer (pH 9.0) (G1203),98°C,20min.

Blocking buffer: 3% BSA in PBS (GC305010), RT, 30min.

Primary antibody: 1: 500, 4°C overnight.

Secondary antibody: Cy3 conjugated Goat Anti-Rabbit IgG (H+L) (GB21303), 1: 300 RT, 1h.

IF analysis of c-caspase3 (GB11532).

Sample: Human esophageal cancer (Paraffin), 4% PFA (G1101) 12-24h.

Antigen retrieval: TE buffer (pH 9.0) (G1203),98°C,20min.

Blocking buffer: 3% BSA in PBS (GC305010), RT, 30min.

Primary antibody: 1: 500, 4°C overnight.

Secondary antibody: Cy3 conjugated Goat Anti-Rabbit IgG (H+L) (GB21303), 1: 300 RT, 1h.

IF analysis of c-caspase3 (GB11532).

Sample: Human subcutaneous transplant tumor(Raji) (Paraffin), 4% PFA (G1101) 12-24h.

Antigen retrieval: TE buffer (pH 9.0) (G1203),98°C,20min.

Blocking buffer: 3% BSA in PBS (GC305010), RT, 30min.

Primary antibody: 1: 1200, 4°C overnight.

Secondary antibody: Cy3 conjugated Goat Anti-Rabbit IgG (H+L) (GB21303), 1: 300 RT, 1h.

IF analysis of c-caspase3 (GB11532).

Sample: Human subcutaneous transplant tumor(SW480) (Paraffin), 4% PFA (G1101) 12-24h.

Antigen retrieval: TE buffer (pH 9.0) (G1203),98°C,20min.

Blocking buffer: 3% BSA in PBS (GC305010), RT, 30min.

Primary antibody: 1: 1200, 4°C overnight.

Secondary antibody: Cy3 conjugated Goat Anti-Rabbit IgG (H+L) (GB21303), 1: 300 RT, 1h.

IF analysis of c-caspase3 (GB11532).

Sample: Mouse spleen (Paraffin), 4% PFA (G1101) 12-24h.

Antigen retrieval: TE buffer (pH 9.0) (G1203),98°C,20min.

Blocking buffer: 3% BSA in PBS (GC305010), RT, 30min.

Primary antibody: 1: 500, 4°C overnight.

Secondary antibody: Cy3 conjugated Goat Anti-Rabbit IgG (H+L) (GB21303), 1: 300 RT, 1h.

ICC analysis of c-caspase3 (GB11532)red.

Sample: C212, 4% PFA (G1101) 20min.

Blocking buffer: 3% BSA (GC305010) in PBS, RT, 30min.

Primary antibody: 1: 500, 4°C overnight.

Secondary antibody: Cy3 conjugated Goat Anti-Rabbit IgG (H+L) (GB21303), 1: 300, RT, 1h.

ICC analysis of c-caspase3 (GB11532)red.

Sample: HeLa, 4% PFA (G1101) 20min.

Blocking buffer: 3% BSA (GC305010) in PBS, RT, 30min.

Primary antibody: 1: 500, 4°C overnight.

Secondary antibody: Cy3 conjugated Goat Anti-Rabbit IgG (H+L) (GB21303), 1: 300, RT, 1h.

ICC analysis of c-caspase3 (GB11532)red.

Sample: L6, 4% PFA (G1101) 20min.

Blocking buffer: 3% BSA (GC305010) in PBS, RT, 30min.

Primary antibody: 1: 500, 4°C overnight.

Secondary antibody: Cy3 conjugated Goat Anti-Rabbit IgG (H+L) (GB21303), 1: 300, RT, 1h.




Storage

StorageStore at -20 °C for one year. Avoid repeated freeze/ thaw cycles.
Storage BufferPBS with 0.02% sodium azide, 100 μg/ml BSA and 50% glycerol.


Related Products


LIFESCT © 2025

Publications

text_heading

Our Location

405 East Gude Dr., Suite 205, Rockville, MD 20850, USA

+1-301-328-1977