Anti-CD31 Rabbit pAb (100 μl)

Anti-CD31 Rabbit pAb (100 μl)

Brand: ServiceBio
Cat. #: GB113151-100
Availability: In Stock
$259.00
-+
Reactivity: H,M,R    
Applications: IHC/IF    
Host Species: Rabbit    
Clonality: Polyclonal    
Gene Name:

Platelet endothelial cell adhesion molecule

Synonyms:

CD31 Antigen, EndoCAM, PECAM-1, GPIIA, PECA1, CD31

Immunogen:

Recombinant Human CD31 protein expressed in HEK293 cells

Uniprot ID:

P16284

Isotype:

IgG

Purity:

Affinity purification

Subcellular location:

Cell membrane




Product Usage Information

Applications

Species

Dilution

Positive Sample

IHC/IF

Human, Mouse, Rat

1: 300-1: 600

lung, liver cancer 




Background

Platelet endothelial cell adhesion molecule (PECAM-1) also known as cluster of differentiation 31 (CD31) is a protein that in humans is encoded by the PECAM1 gene found on chromosome 17. PECAM-1 plays a key role in removing aged neutrophils from the body. PECAM-1 is found on the surface of platelets, monocytes, neutrophils, and some types of T-cells, and makes up a large portion of endothelial cell intercellular junctions. The encoded protein is a member of the immunoglobulin superfamily and is likely involved in leukocyte transmigration, angiogenesis, and integrin activation.




Images

Anti-CD31 Rabbit pAb

IHC analysis of CD31 (GB113151).

Sample: Human liver cancer (Paraffin), 4% PFA (G1101) 12-24h.

Antigen retrieval: Citrate buffer (pH 6.0) (G1201), pressure cooker 2min.

Blocking buffer: 3% BSA in PBS (GC305010), RT, 30min.

Primary antibody: 1: 300, 4°C overnight.

Secondary antibody: HRP Goat Anti-Rabbit lgG (GB23303), 1: 200 RT 1h.

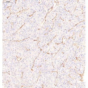
Anti-PECAM1 Rabbit pAb

IHC analysis of CD31 (GB113151).

Sample: rat lung (Paraffin), 4% PFA (G1101) 12-24h.

Antigen retrieval: Citrate buffer (pH 6.0) (G1201), pressure cooker 2min.

Blocking buffer: 3% BSA in PBS (GC305010), RT, 30min.

Primary antibody: 1: 300, 4°C overnight.

Secondary antibody: HRP Goat Anti-Rabbit lgG (GB23303), 1: 200 RT 1h.

IHC analysis of CD31 (GB113151).

Sample:  subcutaneous tumor(A549) (Paraffin), 4% PFA (G1101) 12-24h.

Antigen retrieval: Citrate buffer (pH 6.0) (G1201), pressure cooker 2min.

Blocking buffer: 3% BSA in PBS (GC305010), RT, 30min.

Primary antibody: 1: 300, 4°C overnight.

Secondary antibody: HRP Goat Anti-Rabbit lgG (GB23303), 1: 200 RT 1h.

IHC analysis of CD31 (GB113151).

Sample:  subcutaneous tumor(K562) (Paraffin), 4% PFA (G1101) 12-24h.

Antigen retrieval: Citrate buffer (pH 6.0) (G1201), pressure cooker 2min.

Blocking buffer: 3% BSA in PBS (GC305010), RT, 30min.

Primary antibody: 1: 300, 4°C overnight.

Secondary antibody: HRP Goat Anti-Rabbit lgG (GB23303), 1: 200 RT 1h.





Storage

StorageStore at -20 °C for one year. Avoid repeated freeze/thaw cycles.
Storage BufferPBS with 0.02%sodium azide,100 μg/ml BSA and 50% glycerol.


Related Products


LIFESCT © 2025

Publications

text_heading

Our Location

405 East Gude Dr., Suite 205, Rockville, MD 20850, USA

+1-301-328-1977