KO-Validated GRK2 Rabbit pAb (20 μl)

KO-Validated GRK2 Rabbit pAb (20 μl)

Brand: Abclonal
Cat. #: A1662
Availability: In Stock
$128.00
-+
Reactivity: Human, Mouse, Rat
Applications: WB, IHC, ELISA    
Host Species: Rabbit    
Isotype: IgG    
Clonality: Polyclonal antibody    
Gene Name: protein-coupled receptor kinase 2
Gene Symbol: GRK2
Synonyms: BARK1; ADRBK1; BETA-ARK1; K2
Gene ID: 156
UniProt ID: P25098
Immunogen: Recombinant fusion protein containing a sequence corresponding to amino acids 440-689 of human GRK2 (NP_001610.2).
Dilution: WB 1:500-1:2000; IHC 1:50-1:200
Purification Method: Affinity purification
Concentration: 0.12 mg/ml
Buffer: PBS with 0.02% sodium azide, 50% glycerol ,pH7.3.
Storage: Store at -20°C. Avoid freeze / thaw cycles.
Documents: Manual-GRK2 polyclonal antibody




Background

The gene GRK2 encodes a member of the G protein-coupled receptor kinase family of proteins. The encoded protein phosphorylates the beta-adrenergic receptor as well as a wide range of other substrates including non-GPCR cell surface receptors, and cytoskeletal, mitochondrial, and transcription factor proteins. Data from rodent models supports a role for this gene in embryonic development, heart function and metabolism. Elevated expression of this gene has been observed in human patients with heart failure and Alzheimer's disease.




Images

GRK2 rabbit pAbWestern blot analysis of various lysates using [KO Validated] GRK2 Rabbit pAb (A1662) at 1:1000 dilution.
Secondary antibody: HRP-conjugated Goat anti-Rabbit IgG (H+L) (AS014) at 1:10000 dilution.
Lysates/proteins: 25μg per lane.
Blocking buffer: 3% nonfat dry milk in TBST.
GRK2 polyclonal antibodyWestern blot analysis of lysates from wild type (WT) and GRK2 knockout (KO) 293T cells, using [KO Validated] GRK2 Rabbit pAb (A1662) at 1:500 dilution.
Secondary antibody: HRP-conjugated Goat anti-Rabbit IgG (H+L) (AS014) at 1:10000 dilution.
Lysates/proteins: 25μg per lane.
Blocking buffer: 3% nonfat dry milk in TBST.
Detection: ECL Basic Kit (RM00020).
Exposure time: 1s.
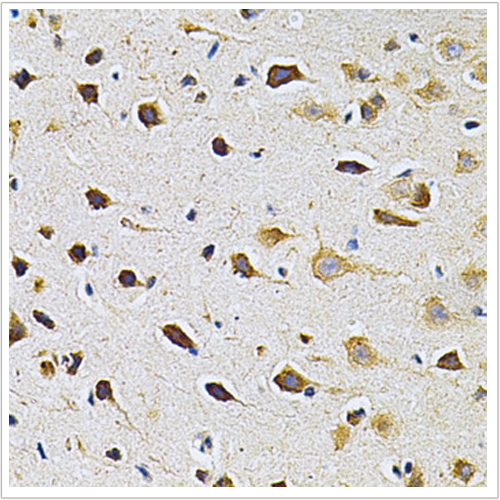
anti-GRK2 antibodyImmunohistochemistry analysis of paraffin-embedded Rat brain using [KO Validated] GRK2 Rabbit pAb (A1662) at dilution of 1:200 (40x lens). Microwave antigen retrieval performed with 0.01M PBS Buffer (pH 7.2) prior to IHC staining.
Immunohistochemistry analysis of paraffin-embedded Human esophageal cancer using [KO Validated] GRK2 Rabbit pAb (A1662) at dilution of 1:200 (40x lens). Microwave antigen retrieval performed with 0.01M PBS Buffer (pH 7.2) prior to IHC staining.
Immunohistochemistry analysis of paraffin-embedded Mouse kidney using [KO Validated] GRK2 Rabbit pAb (A1662) at dilution of 1:200 (40x lens). Microwave antigen retrieval performed with 0.01M PBS Buffer (pH 7.2) prior to IHC staining.



You may also be interested in:

Related Products


LIFESCT © 2025

Publications

text_heading

Our Location

405 East Gude Dr., Suite 205, Rockville, MD 20850, USA

+1-301-328-1977