KO-Validated Bax Rabbit mAb (20 μl)

KO-Validated Bax Rabbit mAb (20 μl)

Brand: Abclonal
Cat. #: A18642
Availability: In Stock
$148.00
-+
Reactivity: Human, Mouse, Rat
Applications: WB, IHC, IF/IC, IP, ELISA    
Host Species: Rabbit    
Isotype: IgG    
Clonality: Monoclonal antibody    
Gene Name: BCL2 associated X, apoptosis regulator
Gene Symbol: BAX
Synonyms: BCL2L4; ax
Gene ID: 581
UniProt ID: Q07812
Clone ID: 5O0G8
Immunogen: A synthetic peptide corresponding to a sequence within amino acids 10-70 of human Bax (NP_620116.1).
Dilution: WB 1:2000-1:10000; IF/IC 1:100-1:2000
Purification Method: Affinity purification
Concentration: 1 mg/ml
Buffer: PBS with 0.05% proclin300, 0.05% BSA, 50% glycerol, pH7.3.
Storage: Store at -20°C. Avoid freeze / thaw cycles.
Documents: Manual-BAX monoclonal antibody




Background

The protein encoded by the gene BAX belongs to the BCL2 protein family. BCL2 family members form hetero- or homodimers and act as anti- or pro-apoptotic regulators that are involved in a wide variety of cellular activities. This protein forms a heterodimer with BCL2, and functions as an apoptotic activator. The association and the ratio of BAX to BCL2 also determines survival or death of a cell following an apoptotic stimulus. This protein is reported to interact with, and increase the opening of, the mitochondrial voltage-dependent anion channel (VDAC), which leads to the loss in membrane potential and the release of cytochrome c. The expression of this gene is regulated by the tumor suppressor P53 and has been shown to be involved in P53-mediated apoptosis. Multiple alternatively spliced transcript variants, which encode different isoforms, have been reported for this gene.




Images

BAX rabbit mAbWestern blot analysis of lysates from wild type (WT) and Bax knockout (KO) 293T cells, using [KO Validated] Bax Rabbit mAb (A18642) at 1:1000 dilution.
Secondary antibody: HRP-conjugated Goat anti-Rabbit IgG (H+L) (AS014) at 1:10000 dilution.
Lysates/proteins: 25μg per lane.
Blocking buffer: 3% nonfat dry milk in TBST.
Detection: ECL Basic Kit (RM00020).
Exposure time: 10s.
Bax monoclonal antibodyWestern blot analysis of lysates from HT-1080 cells, using [KO Validated] Bax Rabbit mAb (A18642) at 1:1000 dilution.
Secondary antibody: HRP-conjugated Goat anti-Rabbit IgG (H+L) (AS014) at 1:10000 dilution.
Lysates/proteins: 25μg per lane.
Blocking buffer: 3% nonfat dry milk in TBST.
Detection: ECL Basic Kit (RM00020).
Exposure time: 10s.
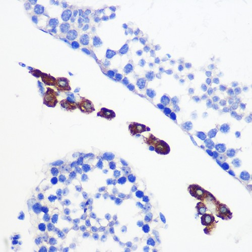
anti-Bax antibodyImmunohistochemistry analysis of paraffin-embedded Human colon tissue using [KO Validated] Bax Rabbit mAb (A18642) at a dilution of 1:5000 (40x lens). High pressure antigen retrieval performed with 0.01M Tris-EDTA Buffer (pH 9.0) prior to IHC staining.
Immunohistochemistry analysis of paraffin-embedded Human colon carcinoma tissue using [KO Validated] Bax Rabbit mAb (A18642) at a dilution of 1:5000 (40x lens). High pressure antigen retrieval performed with 0.01M Tris-EDTA Buffer (pH 9.0) prior to IHC staining.
Confocal imaging of HeLa cells using [KO Validated] Bax Rabbit mAb (A18642, dilution 1:200) followed by a further incubation with Cy3 Goat Anti-Rabbit IgG (H+L) (AS007, dilution 1:500) (Red). The cells were counterstained with α-Tubulin Mouse mAb (AC012, dilution 1:400) followed by incubation with ABflo® 488-conjugated Goat Anti-Mouse IgG (H+L) Ab (AS076, dilution 1:500) (Green). DAPI was used for nuclear staining (Blue). Objective: 100x.
Immunoprecipitation analysis of 200 μg extracts of 293T using 3 μg Bax antibody (A18642). Western blot was performed from the immunoprecipitate using Bax antibody (A18642) at a dilution of 1:1000.



You may also be interested in:

BAX

Related Products


LIFESCT © 2025

Publications

text_heading

Our Location

405 East Gude Dr., Suite 205, Rockville, MD 20850, USA

+1-301-328-1977