| Reactivity: | H,M,R |
| Applications: | IHC/IF |
| Host Species: | Rabbit |
| Clonality: | Polyclonal |
| Gene Name: | secreted phosphoprotein 1 |
Synonyms: | SPP1, BNSP, BSPI, ETA-1, OPN, secreted phosphoprotein 1, Osteopontin |
Immunogen: | KLH conjugated Synthetic peptide corresponding to Mouse Osteopontin |
Uniprot ID: | P10923 |
Isotype: | IgG |
Purity: | Affinity purification |
Subcellular location: | Secreted |
Product Usage Information
IHC/IF | Human, Mouse, Rat | 1: 500-1: 2000 | bone |
Background
Osteopontin (OPN), also known as bone sialoprotein I (BSP-1 or BNSP), early T-lymphocyte activation (ETA-1), secreted phosphoprotein 1 (SPP1), 2ar and Rickettsia resistance (Ric), is a protein that in humans is encoded by theSPP1 gene (secreted phosphoprotein 1).Osteopontin is the principal phosphorylated glycoprotein of bone and is expressed in a limited number of other tissues including dentine. Osteopontin is produced by osteoblasts under stimulation by calcitriol and binds tightly to hydroxyapatite.
Images
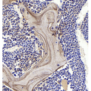
| IHC analysis of OPN (GB11500). Sample: Mouse bone (Paraffin), 4% PFA (G1101) 12-24h. Antigen retrieval: Citrate buffer (pH 6.0) (G1201),98°C,20 min. Blocking buffer: 3% BSA in PBS (GC305010), RT, 30min. Primary antibody: 1: 1000, 4°C overnight. Secondary antibody: HRP Goat Anti-Rabbit lgG (GB23303), 1: 200 RT 1h. |
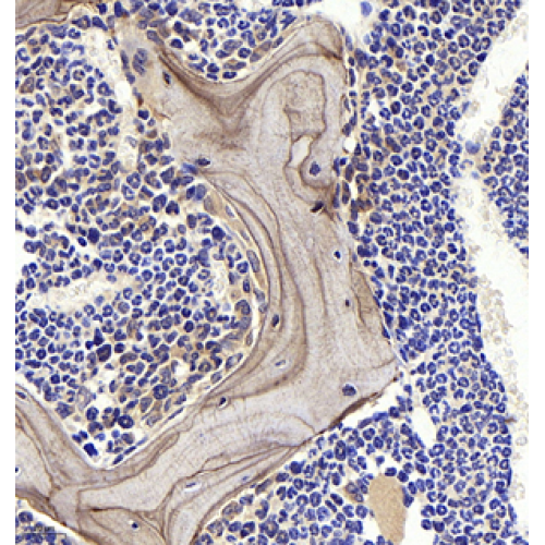
| IHC analysis of OPN (GB11500). Sample: Rat bone (Paraffin), 4% PFA (G1101) 12-24h. Antigen retrieval: Citrate buffer (pH 6.0) (G1201),98°C,20 min. Blocking buffer: 3% BSA in PBS (GC305010), RT, 30min. Primary antibody: 1: 1000, 4°C overnight. Secondary antibody: HRP Goat Anti-Rabbit lgG (GB23303), 1: 200 RT 1h. |
| IF analysis of OPN (GB11500). Sample: Mouse bone (Paraffin), 4% PFA (G1101) 12-24h. Antigen retrieval: Citrate buffer (pH 6.0) (G1201),98°C,20 min. Blocking buffer: 3% BSA in PBS (GC305010), RT, 30min. Primary antibody: 1: 500, 4°C overnight. Secondary antibody: Cy3 conjugated Goat Anti-Rabbit IgG (H+L) (GB21303), 1: 300 RT, 1h. |
| IF analysis of OPN (GB11500). Sample: Rat bone (Paraffin), 4% PFA (G1101) 12-24h. Antigen retrieval: Citrate buffer (pH 6.0) (G1201),98°C,20 min. Blocking buffer: 3% BSA in PBS (GC305010), RT, 30min. Primary antibody: 1: 500, 4°C overnight. Secondary antibody: Cy3 conjugated Goat Anti-Rabbit IgG (H+L) (GB21303), 1: 300 RT, 1h. |
| IHC analysis of OPN(GB11500).Sample: Human bone,4% PFA (G1101) 12-24h. Antigen retrieval:Citrate buffer (pH 6.0) (G1201),98°C,20 min. Primary antibody:1: 100, 4°C overnight. Secondary antibody:HRP Goat Anti-Rabbit lgG (GB23303), 1: 200, RT, 1h. |
| IHC analysis of OPN(GB11500). Sample: Human bone,4% PFA (G1101) 12-24h. Antigen retrieval:Citrate buffer (pH 6.0) (G1201),98°C,20 min. Primary antibody:1: 500, 4°C overnight. Secondary antibody:HRP Goat Anti-Rabbit lgG (GB23303), 1: 200, RT, 1h. |
| IHC analysis of OPN(GB11500). Sample: Human bone,4% PFA (G1101) 12-24h. Antigen retrieval:Citrate buffer (pH 6.0) (G1201),98°C,20 min. Primary antibody:1: 500, 4°C overnight. Secondary antibody:HRP Goat Anti-Rabbit lgG (GB23303), 1: 200, RT, 1h. |
Storage
| Storage | Store at -20 °C for one year. Avoid repeated freeze/ thaw cycles. |
| Storage Buffer | PBS with 0.02% sodium azide, 100 μg/ml BSA and 50% glycerol. |