Anti-TLR4 Rabbit pAb (100 μl)

Anti-TLR4 Rabbit pAb (100 μl)

Brand: ServiceBio
Cat. #: GB11519-100
Availability: In Stock
$259.00
-+
Reactivity: H,M,R & H,M,R    
Applications: WB & IHC/IF    
Host Species: Rabbit    
Clonality: Polyclonal    
Full Name:

TLR4 rabbit polyclonal antibody

Gene Name:

Toll-like receptor 4

Synonyms:

TLR4, ARMD10, CD284, TLR-4, TOLL, toll like receptor 4

Uniprot ID:

Q9QUK6, Q9QX05, O00206

Immunogen:

KLH conjugated Synthetic peptide corresponding to Mouse TLR4.

Isotype:

IgG

Purity:

Affinity purification

Subcellular location:

Membrane

Predicted MW.

95 KDa

Observed MW.

95 KDa




Product Usage Information

WB

Human, Mouse, Rat

1: 500-1: 1000

spleen, lung, thymus

IHC/IF

Human, Mouse, Rat

1: 300-1: 2000

Immune spleen, lymph node, spleen




Background

A member of the toll-like receptor (TLR) family, which plays a fundamentalrole in pathogen recognition and activation of innate immunity. It cooperates with LY96 (also referred as MD-2) and CD14 to mediate in signal transduction events induced by lipopolysaccharide (LPS) found in most gram-negative bacteria. Mutations in this gene have been associated with differences in LPS responsiveness. TLR4 signalingresponds to signals by forming a complex using an extracellular leucine-rich repeat domain (LRR) and an intracellular toll/interleukin-1receptor (TIR) domain.




Images


Anti-TLR4 Rabbit pAb

WB analysis of TLR4 (GB11519).

Sample: Protein treated by RIPA Lysis Buffer (G2002).

Blocking buffer: 3% Nonfat dry milk (GC310001) in TBST, RT, 1h.

Primary antibody: 1: 1000, 4°C overnight.

Secondary antibody: HRP Goat Anti-Rabbit lgG (GB23303), 1: 3000, RT, 1h.

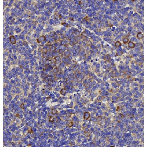
IHC analysis of TLR4 (GB11519).

Sample: Mouse Immune spleen (Paraffin), 4% PFA (G1101) 12-24h.

Antigen retrieval: Citrate buffer (pH 6.0) (G1201),98°C,20 min.

Blocking buffer: 3% BSA in PBS (GC305010), RT, 30min.

Primary antibody: 1: 1000, 4°C overnight.

Secondary antibody: HRP Goat Anti-Rabbit lgG (GB23303), 1: 200 RT 1h.


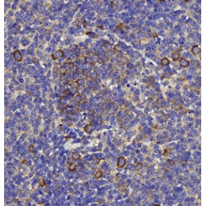
IHC analysis of TLR4 (GB11519).

Sample: Mouse Immune spleen (Paraffin), 4% PFA (G1101) 12-24h.

Antigen retrieval: Citrate buffer (pH 6.0) (G1201),98°C,20 min.

Blocking buffer: 3% BSA in PBS (GC305010), RT, 30min.

Primary antibody: 1: 1000, 4°C overnight.

Secondary antibody: HRP Goat Anti-Rabbit lgG (GB23303), 1: 200 RT 1h.

IF analysis of TLR4 (GB11519).

Sample: Human tonsil (Paraffin), 4% PFA (G1101) 12-24h.

Antigen retrieval: TE buffer (pH 9.0) (G1203),98°C,20min.

Blocking buffer: 3% BSA in PBS (GC305010), RT, 30min.

Primary antibody: 1: 300, 4°C overnight.

Secondary antibody: Cy3 conjugated Goat Anti-Rabbit IgG (H+L) (GB21303), 1: 300 RT, 1h.

IF analysis of TLR4 (GB11519).

Sample: Human tonsil (Paraffin), 4% PFA (G1101) 12-24h.

Antigen retrieval: TE buffer (pH 9.0) (G1203),98°C,20min.

Blocking buffer: 3% BSA in PBS (GC305010), RT, 30min.

Primary antibody: 1: 500, 4°C overnight.

Secondary antibody: Cy3 conjugated Goat Anti-Rabbit IgG (H+L) (GB21303), 1: 300 RT, 1h.

IF analysis of TLR4 (GB11519).

Sample: Mouse spleen+lps (Paraffin), 4% PFA (G1101) 12-24h.

Antigen retrieval: TE buffer (pH 9.0) (G1203),98°C,20min.

Blocking buffer: 3% BSA in PBS (GC305010), RT, 30min.

Primary antibody: 1: 300, 4°C overnight.

Secondary antibody: Cy3 conjugated Goat Anti-Rabbit IgG (H+L) (GB21303), 1: 300 RT, 1h.

IF analysis of TLR4 (GB11519).

Sample: Rat lymph node (Paraffin), 4% PFA (G1101) 12-24h.

Antigen retrieval: TE buffer (pH 9.0) (G1203),98°C,20min.

Blocking buffer: 3% BSA in PBS (GC305010), RT, 30min.

Primary antibody: 1: 300, 4°C overnight.

Secondary antibody: Cy3 conjugated Goat Anti-Rabbit IgG (H+L) (GB21303), 1: 300 RT, 1h.

IF analysis of TLR4 (GB11519).

Sample: Rat spleen (Paraffin), 4% PFA (G1101) 12-24h.

Antigen retrieval: TE buffer (pH 9.0) (G1203),98°C,20min.

Blocking buffer: 3% BSA in PBS (GC305010), RT, 30min.

Primary antibody: 1: 300, 4°C overnight.

Secondary antibody: Cy3 conjugated Goat Anti-Rabbit IgG (H+L) (GB21303), 1: 300 RT, 1h.

IF analysis of TLR4 (GB11519).

Sample: Rat spleen+lps (Paraffin), 4% PFA (G1101) 12-24h.

Antigen retrieval: TE buffer (pH 9.0) (G1203),98°C,20min.

Blocking buffer: 3% BSA in PBS (GC305010), RT, 30min.

Primary antibody: 1: 300, 4°C overnight.

Secondary antibody: Cy3 conjugated Goat Anti-Rabbit IgG (H+L) (GB21303), 1: 300 RT, 1h.




Storage

StorageStore at -20 °C for one year. Avoid repeated freeze/ thaw cycles.
Storage BufferPBS with 0.02% sodium azide, 100 μg/ml BSA and 50% glycerol.


Related Products


LIFESCT © 2025

Publications

text_heading

Our Location

405 East Gude Dr., Suite 205, Rockville, MD 20850, USA

+1-301-328-1977