KO-Validated Bad Rabbit pAb (20 μl)

KO-Validated Bad Rabbit pAb (20 μl)

Brand: Abclonal
Cat. #: A24658
Availability: In Stock
$128.00
-+
Reactivity: Human, Mouse
Applications: WB, ELISA    
Host Species: Rabbit    
Isotype: IgG    
Clonality: Polyclonal antibody    
Gene Name: BCL2 associated agonist of cell death
Gene Symbol: BAD
Synonyms: BBC2; BCL2L8; ad
Gene ID: 572
UniProt ID: Q92934
Immunogen: A synthetic peptide corresponding to a sequence within amino acids 68-168 of human Bad. (NP_004313.1).
Dilution: WB 1:500-1:1000
Purification Method: Affinity purification
Concentration: 0.53 mg/mL
Buffer: PBS with 0.05% proclin300, 50% glycerol, pH7.3.
Storage: Store at -20°C. Avoid freeze / thaw cycles.
Documents: Manual-BAD polyclonal antibody




Background

The protein encoded by the gene BAD is a member of the BCL-2 family. BCL-2 family members are known to be regulators of programmed cell death. This protein positively regulates cell apoptosis by forming heterodimers with BCL-xL (B-cell lymphoma-extra large) and BCL-2, and reversing their death repressor activity. Proapoptotic activity of this protein is regulated through its phosphorylation. Protein kinases AKT and MAP kinase, as well as protein phosphatase calcineurin were found to be involved in the regulation of this protein. Alternative splicing of this gene results in two transcript variants which encode the same isoform.




Images

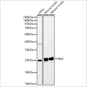
BAD rabbit pAbWestern blot analysis of various lysates, using Bad Rabbit pAb (A24658) at 1:500 dilution.
Secondary antibody: HRP-conjugated Goat anti-Rabbit IgG (H+L) (AS014) at 1:10000 dilution.
Lysates/proteins: 25μg per lane.
Blocking buffer: 3% nonfat dry milk in TBST.
Detection: ECL Basic Kit (RM00020).
Exposure time: 180s.
BAD polyclonal antibodyWestern blot analysis of lysates from wild type (WT) and Bad knockdown (KD) 293T(KD) cells, using Bad Rabbit pAb (A24658) at 1:500 dilution.
Secondary antibody: HRP-conjugated Goat anti-Rabbit IgG (H+L) (AS014) at 1:10000 dilution.
Lysates/proteins: 25ug per lane.
Blocking buffer: 3% nonfat dry milk in TBST.
Detection: ECL Basic Kit (RM00020).
Exposure time: 180s.



You may also be interested in:

BAD

Related Products


LIFESCT © 2025

Publications

text_heading

Our Location

405 East Gude Dr., Suite 205, Rockville, MD 20850, USA

+1-301-328-1977