| Reactivity: | H,M,R & H,M,R |
| Applications: | WB & IHC/IF |
| Host Species: | Rabbit |
| Clonality: | Polyclonal |
| Full Name: | Vimentin rabbit polyclonal antibody |
Gene Name: | Vimentin |
Synonyms: | VIM, CTRCT30, HEL113, vimentin |
Immunogen: | KLH conjugated Synthetic peptide corresponding to Mouse Vimentin |
Isotype: | IgG |
Purity: | Affinity purification |
Predicted MW. | 54 kDa |
Observed MW. | 54 kDa |
Subcellular location: | Cytoplasm, Nucleus |
Uniprot ID: |
Product Usage Information
Applications | Species | Dilution | Positive Sample |
WB | Human,Mouse,Rat | 1: 500-1: 1000 | lung |
IHC/IF | Human,Mouse,Rat | 1: 1500-1: 3000 | breast cancer, thymus, lymph, colon, lung, kidney, ovary, spleen |
Background
The gene encodes a member of the intermediate filament family. Intermediate filamentents, along with microtubules and actin microfilaments, make up the cytoskeleton. The protein encoded by this gene is responsible for maintaining cell shape, integrity of the cytoplasm, and stabilizing cytoskeletal interactions. It is also involved in the immune response, and controls the transport of low-density lipoprotein (LDL)-derived cholesterol from a lysosome to the site of esterification. It functions as an organizer of a number of critical proteins involved in attachment, migration, and cell signaling. Mutations in this gene causes a dominant, pulverulent cataract.
Images
| WB analysis of Vimentin (GB111308). Sample: Protein treated by RIPA Lysis Buffer (G2002). Blocking buffer: 3% Nonfat dry milk (GC310001) in TBST, RT, 1h. Primary antibody: 1: 1000, 4°C overnight. Secondary antibody: HRP Goat Anti-Rabbit lgG (GB23303), 1: 3000, RT, 1h. |
|
|
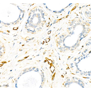
IHC analysis of Vimentin (GB111308). Sample: Human breast cancer (Paraffin), 4% PFA (G1101) 12-24h. Antigen retrieval: Citrate buffer (pH 6.0) (G1201),98°C,20 min. Blocking buffer: 3% BSA in PBS (GC305010), RT, 30min. Primary antibody: 1: 1500, 4°C overnight. Secondary antibody: HRP Goat Anti-Rabbit lgG (GB23303), 1: 200 RT 1h. |
|
|
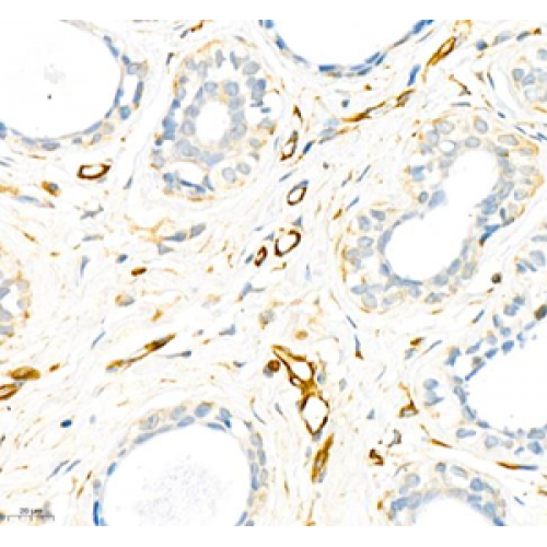
IHC analysis of Vimentin (GB111308). Sample: Human breast cancer (Paraffin), 4% PFA (G1101) 12-24h. Antigen retrieval: Citrate buffer (pH 6.0) (G1201),98°C,20 min. Blocking buffer: 3% BSA in PBS (GC305010), RT, 30min. Primary antibody: 1: 1600, 4°C overnight. Secondary antibody: HRP Goat Anti-Rabbit lgG (GB23303), 1: 200 RT 1h. |
|
|
IHC analysis of Vimentin (GB111308). Sample: Mouse immune spleen (Paraffin), 4% PFA (G1101) 12-24h. Antigen retrieval: Citrate buffer (pH 6.0) (G1201),98°C,20 min. Blocking buffer: 3% BSA in PBS (GC305010), RT, 30min. Primary antibody: 1: 1500, 4°C overnight. Secondary antibody: HRP Goat Anti-Rabbit lgG (GB23303), 1: 200 RT 1h. |
|
|
IHC analysis of Vimentin (GB111308). Sample: Mouse placenta (Paraffin), 4% PFA (G1101) 12-24h. Antigen retrieval: Citrate buffer (pH 6.0) (G1201),98°C,20 min. Blocking buffer: 3% BSA in PBS (GC305010), RT, 30min. Primary antibody: 1: 1500, 4°C overnight. Secondary antibody: HRP Goat Anti-Rabbit lgG (GB23303), 1: 200 RT 1h. |
|
|
IHC analysis of Vimentin (GB111308). Sample: Rat colon (Paraffin), 4% PFA (G1101) 12-24h. Antigen retrieval: Citrate buffer (pH 6.0) (G1201),98°C,20 min. Blocking buffer: 3% BSA in PBS (GC305010), RT, 30min. Primary antibody: 1: 1500, 4°C overnight. Secondary antibody: HRP Goat Anti-Rabbit lgG (GB23303), 1: 200 RT 1h. |
|
|
IHC analysis of Vimentin (GB111308). Sample: Rat lymph (Paraffin), 4% PFA (G1101) 12-24h. Antigen retrieval: Citrate buffer (pH 6.0) (G1201),98°C,20 min. Blocking buffer: 3% BSA in PBS (GC305010), RT, 30min. Primary antibody: 1: 1500, 4°C overnight. Secondary antibody: HRP Goat Anti-Rabbit lgG (GB23303), 1: 200 RT 1h. |
|
|
IF analysis of Vimentin (GB111308). Sample: Human ovary cancer (Paraffin), 4% PFA (G1101) 12-24h. Antigen retrieval: TE buffer (pH 9.0) (G1203),98°C,20min. Blocking buffer: 3% BSA in PBS (GC305010), RT, 30min. Primary antibody: 1: 1600, 4°C overnight. Secondary antibody: Cy3 conjugated Goat Anti-Rabbit IgG (H+L) (GB21303), 1: 300 RT, 1h. |
|
|
IF analysis of Vimentin (GB111308). Sample: Human colon (Paraffin), 4% PFA (G1101) 12-24h. Antigen retrieval: TE buffer (pH 9.0) (G1203),98°C,20min. Blocking buffer: 3% BSA in PBS (GC305010), RT, 30min. Primary antibody: 1: 1500, 4°C overnight. Secondary antibody: Cy3 conjugated Goat Anti-Rabbit IgG (H+L) (GB21303), 1: 300 RT, 1h. |
|
|
IF analysis of Vimentin (GB111308). Sample: Mouse kindey (Paraffin), 4% PFA (G1101) 12-24h. Antigen retrieval: TE buffer (pH 9.0) (G1203),98°C,20min. Blocking buffer: 3% BSA in PBS (GC305010), RT, 30min. Primary antibody: 1: 1500, 4°C overnight. Secondary antibody: Cy3 conjugated Goat Anti-Rabbit IgG (H+L) (GB21303), 1: 300 RT, 1h. |
|
|
IF analysis of Vimentin (GB111308). Sample: Mouse lung (Paraffin), 4% PFA (G1101) 12-24h. Antigen retrieval: TE buffer (pH 9.0) (G1203),98°C,20min. Blocking buffer: 3% BSA in PBS (GC305010), RT, 30min. Primary antibody: 1: 1500, 4°C overnight. Secondary antibody: Cy3 conjugated Goat Anti-Rabbit IgG (H+L) (GB21303), 1: 300 RT, 1h. |
|
|
IF analysis of Vimentin (GB111308). Sample: Rat ovary (Paraffin), 4% PFA (G1101) 12-24h. Antigen retrieval: TE buffer (pH 9.0) (G1203),98°C,20min. Blocking buffer: 3% BSA in PBS (GC305010), RT, 30min. Primary antibody: 1: 1500, 4°C overnight. Secondary antibody: Cy3 conjugated Goat Anti-Rabbit IgG (H+L) (GB21303), 1: 300 RT, 1h. |
| IF analysis of Vimentin (GB111308). Sample: Rat spleen (Paraffin), 4% PFA (G1101) 12-24h. Antigen retrieval: TE buffer (pH 9.0) (G1203),98°C,20min. Blocking buffer: 3% BSA in PBS (GC305010), RT, 30min. Primary antibody: 1: 1500, 4°C overnight. Secondary antibody: Cy3 conjugated Goat Anti-Rabbit IgG (H+L) (GB21303), 1: 300 RT, 1h. |
Storage
| Storage | Store at -20 °C for one year. Avoid repeated freeze/ thaw cycles. |
| Storage Buffer | PBS with 0.02% sodium azide, 100 μg/ml BSA and 50% glycerol. |