Anti-GFAP Mouse mAb (100 μl)

Anti-GFAP Mouse mAb (100 μl)

Brand: ServiceBio
Cat. #: GB12096-100
Availability: In Stock
$259.00
-+
Reactivity: M,R & M,R    
Applications: WB & IHC/IF    
Host Species: Mouse    
Clonality: Monoclonal    
Gene Name:

Glial fibrillary acidic protein

Synonyms:

GFAP, ALXDRD, glial fibrillary acidic protein

Immunogen:

KLH conjugated Synthetic peptide corresponding to Mouse GFAP

Uniprot ID:

P03995

Isotype:

IgG1,κ

Purity:

Affinity purification

Subcellular location:

Cytoplasm

Predicted MW. / Observed MW.

49 kDa / 49 kDa




Product Usage Information

WB

Mouse, Rat

1: 500-1: 5000

brain, cerebral cortex, spinal cord

IHC/IF

Mouse, Rat

1: 500-1: 2000

brain




Background

Glial fibrillary acidic protein (GFAP) is an intermediate filament (IF) protein that is expressed by numerous cell types of the central nervous system (CNS) including astrocytes and ependymal cells. GFAP has also been found to be expressed in glomeruli and peritubular fibroblasts taken from rat kidneys Leydig cells of the testis in both hamsters and humans, human keratinocytes, human osteocytes and chondrocytes and stellate cells of the pancreas and liver in rats. It is closely related to its non-epithelial family members, vimentin, desmin, and peripherin, which are all involved in the structure and function of the cell’s cytoskeleton.




Images


WB analysis of GFAP (GB12096).

Sample: Protein treated by RIPA Lysis Buffer (G2002).

Blocking buffer: 3% Nonfat dry milk (GC310001) in TBST, RT, 1h.

Primary antibody: 1: 1000, 4°C overnight.

Secondary antibody: HRP Goat Anti-Mouse lgG (GB23301), 1: 3000, RT, 1h.

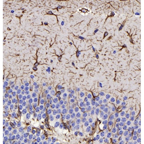
IHC analysis of GFAP (GB12096).

Sample: Mouse brain (Paraffin), 4% PFA (G1101) 12-24h.

Antigen retrieval: Citrate buffer (pH 6.0) (G1201),98°C,20 min.

Blocking buffer: 3% BSA in PBS (GC305010), RT, 30min.

Primary antibody: 1: 600, 4°C overnight.

Secondary antibody: HRP Goat Anti-Mouse lgG (GB23301), 1: 200 RT 1h.


IHC analysis of GFAP (GB12096).

Sample: Rat brain (Paraffin), 4% PFA (G1101) 12-24h.

Antigen retrieval: Citrate buffer (pH 6.0) (G1201),98°C,20 min.

Blocking buffer: 3% BSA in PBS (GC305010), RT, 30min.

Primary antibody: 1: 600, 4°C overnight.

Secondary antibody: HRP Goat Anti-Mouse lgG (GB23301), 1: 200 RT 1h.

IF analysis of GFAP (GB12096).

Sample: Mouse brain (Paraffin), 4% PFA (G1101) 12-24h.

Antigen retrieval: Citrate buffer (pH 6.0) (G1201),98°C,20 min.

Blocking buffer: 3% BSA in PBS (GC305010), RT, 30min.

Primary antibody: 1: 1000, 4°C overnight.

Secondary antibody: Cy3 conjugated Goat Anti-mouse IgG (H+L)(GB21301),1: 200 RT 1h.

IF analysis of GFAP (GB12096).

Sample: Rat brain (Paraffin), 4% PFA (G1101) 12-24h.

Antigen retrieval: Citrate buffer (pH 6.0) (G1201),98°C,20 min.

Blocking buffer: 3% BSA in PBS (GC305010), RT, 30min.

Primary antibody: 1: 1000, 4°C overnight.

Secondary antibody: Cy3 conjugated Goat Anti-mouse IgG (H+L)(GB21301),1: 200 RT 1h.

IF analysis of GFAP (GB12096).

Sample: Rat brain (Paraffin), 4% PFA (G1101) 12-24h.

Antigen retrieval: Citrate buffer (pH 6.0) (G1201),98°C,20 min.

Blocking buffer: 3% BSA in PBS (GC305010), RT, 30min.

Primary antibody: 1: 1000, 4°C overnight.

Secondary antibody: Cy3 conjugated Goat Anti-mouse IgG (H+L)(GB21301),1: 200 RT 1h.




Storage

StorageStore at -20 °C for one year. Avoid repeated freeze/ thaw cycles.
Storage BufferPBS with 0.02% sodium azide, 100 μg/ml BSA and 50% glycerol.


Related Products


LIFESCT © 2025

Publications

text_heading

Our Location

405 East Gude Dr., Suite 205, Rockville, MD 20850, USA

+1-301-328-1977