Your shopping cart is empty!
| Reactivity: | Human, Mouse, Rat |
| Applications: | WB, IHC, IF/IC, IP, ELISA |
| Host Species: | Rabbit |
| Isotype: | IgG |
| Clonality: | Monoclonal antibody |
| Gene Name: | annexin A1 |
| Gene Symbol: | ANXA1 |
| Synonyms: | ANX1; LPC1 |
| Gene ID: | 301 |
| UniProt ID: | P04083 |
| Clone ID: | 2K10E5 |
| Immunogen: | Recombinant fusion protein containing a sequence corresponding to amino acids 2-346 of human Annexin A1/ANXA1 (NP_000691.1). |
| Dilution: | WB 1:7000-1:70000; IHC 1:2000-1:20000; IF/IC 1:200-1:400 |
| Purification Method: | Affinity purification |
| Concentration: | 1.99 mg/ml |
| Buffer: | PBS with 0.09% Sodium azide, 0.05% BSA, 50% glycerol, pH7.3. |
| Storage: | Store at -20°C. Avoid freeze / thaw cycles. |
| Documents: | Manual-ANXA1 monoclonal antibody |
Background
The gene ANXA1 encodes a membrane-localized protein that binds phospholipids. This protein inhibits phospholipase A2 and has anti-inflammatory activity. Loss of function or expression of this gene has been detected in multiple tumors.
Images
![]() | Western blot analysis of lysates from wild type (WT) and Annexin A1/ANXA1 knockdown (KD) HeLa cells using [KD Validated] Annexin A1/ANXA1 Rabbit mAb (A25918) at 1:7900 dilution incubated overnight at 4℃. Secondary antibody: HRP-conjugated Goat anti-Rabbit IgG (H+L) (AS014) at 1:10000 dilution. Lysates/proteins: 25 μg per lane. Blocking buffer: 3% nonfat dry milk in TBST. Detection: ECL Basic Kit (RM00020). Exposure time: 0.5s. |
![]() | Western blot analysis of lysates from C2C12 cells using [KD Validated] Annexin A1/ANXA1 Rabbit mAb (A25918) at 1:7900 dilution incubated overnight at 4℃. Secondary antibody: HRP-conjugated Goat anti-Rabbit IgG (H+L) (AS014) at 1:10000 dilution. Lysates/proteins: 25 μg per lane. Blocking buffer: 3% nonfat dry milk in TBST. Detection: ECL Basic Kit (RM00020). Exposure time: 0.5s. |
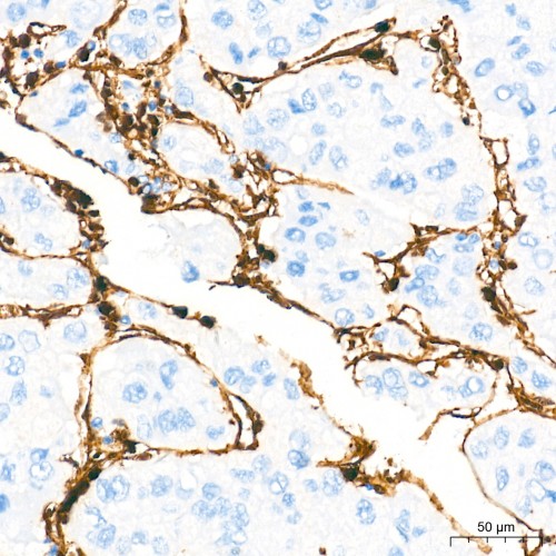
![]() | Immunohistochemistry analysis of paraffin-embedded Human liver cancer tissue using [KD Validated] Annexin A1/ANXA1 Rabbit mAb (A25918) at a dilution of 1:9000 (40x lens). High pressure antigen retrieval performed with 0.01M Tris-EDTA Buffer(pH 9.0) prior to IHC staining. |
![]() | Immunohistochemistry analysis of paraffin-embedded Human tonsil tissue using [KD Validated] Annexin A1/ANXA1 Rabbit mAb (A25918) at a dilution of 1:9000 (40x lens). High pressure antigen retrieval performed with 0.01M Tris-EDTA Buffer(pH 9.0) prior to IHC staining. |
![]() | Immunohistochemistry analysis of paraffin-embedded Mouse spleen tissue using [KD Validated] Annexin A1/ANXA1 Rabbit mAb (A25918) at a dilution of 1:9000 (40x lens). High pressure antigen retrieval performed with 0.01M Tris-EDTA Buffer(pH 9.0) prior to IHC staining. |
![]() | Immunohistochemistry analysis of paraffin-embedded Rat spleen tissue using [KD Validated] Annexin A1/ANXA1 Rabbit mAb (A25918) at a dilution of 1:9000 (40x lens). High pressure antigen retrieval performed with 0.01M Tris-EDTA Buffer(pH 9.0) prior to IHC staining. |
![]() | Immunohistochemistry analysis of paraffin-embedded Hela and HeLa-ANXA1-KO cells using [KD Validated] Annexin A1/ANXA1 Rabbit mAb (A25918) at a dilution of 1:9000 (40x lens). High pressure antigen retrieval performed with 0.01M Tris-EDTA Buffer (pH 9.0) prior to IHC staining. |
![]() | Confocal imaging of HeLa cells using [KD Validated] Annexin A1/ANXA1 Rabbit mAb (A25918, dilution 1:200) followed by a further incubation with Cy3 Goat Anti-Rabbit IgG (H+L) (AS007, dilution 1:500) (Red). The cells were counterstained with α-Tubulin Mouse mAb (AC012, dilution 1:400) followed by incubation with ABflo® 488-conjugated Goat Anti-Mouse IgG (H+L) Ab (AS076, dilution 1:500) (Green). DAPI was used for nuclear staining (Blue). Objective: 100x. |
You may also be interested in: