Call Now:
1-301-328-1977
Email:
sales@lifesct.com
All Categories
Molecular Biology Products
Plasmids & Clones
Premade Virus
Cell Biology Products
Antibodies
- Primary Antibodies
- KD-Validated Antibodies
- Flow Cytometry Antibodies
- Secondary Antibodies
- Tag & Loading Controls
ELISA Kits
Wishlist (
0
)
Welcome visitor
Login
or
Register
.
Categories
Molecular Biology Products
Plasmids & Clones
Premade Virus
Cell Biology Products
Antibodies
Primary Antibodies
KD-Validated Antibodies
Flow Cytometry Antibodies
Secondary Antibodies
Tag & Loading Controls
ELISA Kits
Products
LiTaq™ PCR Master Mixes
LiQuant™ qPCR Master Mixes
PhaseShield™ Lock Gel
Automated Nucleic Acid Extractor
Transfection Reagents
Western Blotting Reagents
KO/KD Validated Antibodies
Portable Mass Spectrometer
Services
Gene Synthesis
siRNA Synthesis
Site-directed Mutagenesis
PCR Cloning & Subcloning
Plasmid DNA Preparation
Lentivirus Packaging
Protein Expression
Applications
Molecular Biology
Synthetic Biology
Cell Biology
Immunology
Proteomics
Microbiology
Resources
Promotions
Brochures & Flyers
Rewards Program
Publications
Customer Testimonials
Order Guide
Contact Us
My Cart
0
$0.00
Your shopping cart is empty!
Brand
Abclonal
Abclonal
Show:
10
25
50
75
100
Sort By:
Default
Name (A - Z)
Name (Z - A)
Price (Low > High)
Price (High > Low)
Model (A - Z)
Model (Z - A)
Add to Cart
KO-Validated SLC25A4/ANT1 Rabbit pAb (20 μl)
$128.00
Reactivity: Human, Mouse, Rat Applications: WB, IF/IC, ELISA Host Species: Rabbit Isotype: Ig..
Add to Cart
Add to Wish List
Compare this Product
Add to Cart
KD-Validated Annexin A1/ANXA1 Rabbit mAb (20 μl)
$148.00
Reactivity: Human, Mouse, Rat Applications: WB, IHC, IF/IC, IP, ELISA Host Species: Rabbit Is..
Add to Cart
Add to Wish List
Compare this Product
Add to Cart
KO-Validated ANXA1 Rabbit pAb (20 μl)
$128.00
Reactivity: Human, Mouse, Rat Applications: WB, IHC, IF/IC, ELISA Host Species: Rabbit Isotyp..
Add to Cart
Add to Wish List
Compare this Product
Add to Cart
KO-Validated Annexin A5/Annexin V Rabbit pAb (20 μl)
$128.00
Reactivity: Human, Mouse Applications: WB, IF/IC, ELISA Host Species: Rabbit Isotype: IgG&nbs..
Add to Cart
Add to Wish List
Compare this Product
Add to Cart
KO-Validated Annexin A6/Annexin VI Rabbit pAb (20 μl)
$128.00
Reactivity: Human, Mouse Applications: WB, ELISA Host Species: Rabbit Isotype: IgG  ..
Add to Cart
Add to Wish List
Compare this Product
Add to Cart
KO-Validated APEH Rabbit pAb (20 μl)
$128.00
Reactivity: Human, Mouse, Rat Applications: WB, IP Host Species: Rabbit Isotype: IgG &n..
Add to Cart
Add to Wish List
Compare this Product
Add to Cart
KO-Validated APEX1/APE1 Rabbit pAb (20 μl)
$128.00
Reactivity: Human Applications: WB, IF/IC, IP, ELISA Host Species: Rabbit Isotype: IgG &..
Add to Cart
Add to Wish List
Compare this Product
Add to Cart
KO-Validated cIAP1 Rabbit mAb (20 μl)
$148.00
Reactivity: Human, Rat Applications: WB, IHC, ELISA Host Species: Rabbit Isotype: IgG &n..
Add to Cart
Add to Wish List
Compare this Product
Add to Cart
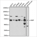
KO-Validated XIAP Rabbit mAb (20 μl)
$148.00
Reactivity: Human, Mouse, Rat Applications: WB, ELISA Host Species: Rabbit Isotype: IgG ..
Add to Cart
Add to Wish List
Compare this Product
Add to Cart
KO-Validated XIAP Rabbit pAb (20 μl)
$128.00
Reactivity: Human, Mouse, Rat Applications: WB, ELISA Host Species: Rabbit Isotype: IgG ..
Add to Cart
Add to Wish List
Compare this Product
|<
<
1
2
3
4
5
6
7
8
9
>
>|
Showing 11 to 20 of 6362 (637 Pages)
LIFESCT © 2025
Join Us on Facebook
Envato Market
Publications
Subscribe Us
text_heading
Send
Our Location
405 East Gude Dr., Suite 205, Rockville, MD 20850, USA
+1-301-328-1977