Anti-Collagen I Rabbit pAb (100 μl)

Anti-Collagen I Rabbit pAb (100 μl)

Brand: ServiceBio
Cat. #: GB11022-3-100
Availability: In Stock
$259.00
-+
Reactivity: H,M,R    
Applications: IHC/IF    
Host Species: Rabbit    
Clonality: Polyclonal    
Full Name:

Collagen I rabbit polyclonal antibody

Gene Name:

Collagen alpha-1(I) chain

Synonyms:

COL1A1, EDSC, OI1, OI2, OI3, OI4, collagen type I alpha 1, collagen type I alpha 1 chain

Isotype:

IgG

Immunogen:

Recombinant protein corresponding to Mouse COL1A1

Purity:

Affinity purification

Subcellular location:

Secreted




Product Usage Information

Applications

Species

Dilution

Positive Sample

IHC/IF

Human, Mouse, Rat

1:800-1:1600

BDL model liver, kidney, liver cirrhosis, lung, skin




Background

The gene COL1A1 encodes the pro-alpha1 chains of type I collagen whose triple helix comprises two alpha1 chains and one alpha2 chain. Type I is a fibril-forming collagen found in most connective tissues and is abundant in bone, cornea, dermis and tendon. Mutations in this gene are associated with osteogenesis imperfecta types I-IV, Ehlers-Danlos syndrome type VIIA, Ehlers-Danlos syndrome Classical type, Caffey Disease and idiopathic osteoporosis.




Images

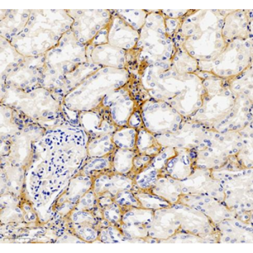
Anti-Collagen I Rabbit pAb

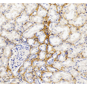
Immunohistochemistry of paraffin embedded human kidney using collagen I (GB11022-3) at dilution of 1:800 (200x lens)

Anti-COL1A1 Rabbit pAb

Immunohistochemistry of paraffin embedded mouse skin using collagen I (GB11022-3) at dilution of 1:800 (200x lens)


Immunohistochemistry of paraffin embedded mouse liver cirrhosis using collagen I (GB11022-3) at dilution of 1:800 (300x lens)


Immunohistochemistry of paraffin embedded rat lung using collagen I (GB11022-3) at dilution of 1:800 (200x lens)

Immunohistochemistry analysis of paraffin-embedded rat fibrosis liver using Collagen I (GB11022-3) at dilution of 1: 1600

Immunofluorescence of paraffin embedded mouse BDL model liver using Collagen I (GB11022-3) at dilution of 1:1500 (200x lens)




Storage

StorageStore at -20 °C for one year. Avoid repeated freeze/ thaw cycles.
Storage BufferPBS with 0.02% sodium azide, 100 μg/ml BSA and 50% glycerol.


Related Products


LIFESCT © 2025

Publications

text_heading

Our Location

405 East Gude Dr., Suite 205, Rockville, MD 20850, USA

+1-301-328-1977