KO-Validated SND1 Rabbit pAb (20 μl)

KO-Validated SND1 Rabbit pAb (20 μl)

Brand: Abclonal
Cat. #: A5874
Availability: In Stock
$128.00
-+
Reactivity: Human, Mouse, Rat
Applications: WB, IHC, IF/IC, IP, ELISA    
Host Species: Rabbit    
Isotype: IgG    
Clonality: Polyclonal antibody    
Gene Name: staphylococcal nuclease and tudor domain containing 1
Gene Symbol: SND1
Synonyms: p100; TDRD11; Tudor-SN; D1
Gene ID: 27044
UniProt ID: Q7KZF4
Immunogen: Recombinant fusion protein containing a sequence corresponding to amino acids 26-285 of human SND1 (NP_055205.2).
Dilution: WB 1:500-1:2000; IHC 1:50-1:200; IF/IC 1:50-1:200
Purification Method: Affinity purification
Concentration: 2.19 mg/mL
Buffer: PBS with 0.09% Sodium azide, 50% glycerol, pH7.3.
Storage: Store at -20°C. Avoid freeze / thaw cycles.
Documents: Manual-SND1 polyclonal antibody




Background

The gene SND1 encodes a transcriptional co-activator that interacts with the acidic domain of Epstein-Barr virus nuclear antigen 2 (EBNA 2), a transcriptional activator that is required for B-lymphocyte transformation. Other transcription factors that interact with this protein are signal transducers and activators of transcription, STATs. This protein is also thought to be essential for normal cell growth. A similar protein in mammals and other organisms is a component of the RNA-induced silencing complex (RISC).




Images

SND1 rabbit pAbWestern blot analysis of various lysates using [KO Validated] SND1 Rabbit pAb (A5874) at 1:1000 dilution.
Secondary antibody: HRP-conjugated Goat anti-Rabbit IgG (H+L) (AS014) at 1:10000 dilution.
Lysates/proteins: 25μg per lane.
Blocking buffer: 3% nonfat dry milk in TBST.
Detection: ECL Basic Kit (RM00020).
Exposure time: 1s.
SND1 polyclonal antibodyWestern blot analysis of various lysates using [KO Validated] SND1 Rabbit pAb (A5874) at 1:1000 dilution.
Secondary antibody: HRP-conjugated Goat anti-Rabbit IgG (H+L) (AS014) at 1:10000 dilution.
Lysates/proteins: 25μg per lane.
Blocking buffer: 3% nonfat dry milk in TBST.
Detection: ECL Basic Kit (RM00020).
Exposure time: 1s.
Anti-SND1 antibody Western blot analysis of various lysates, using SND1 Rabbit pAb (A5874) at 1:1000 dilution.
Secondary antibody: HRP-conjugated Goat anti-Rabbit IgG (H+L) (AS014) at 1:10000 dilution.
Lysates/proteins: 25μg per lane.
Blocking buffer: 3% nonfat dry milk in TBST.
Detection: ECL Basic Kit (RM00020).
Exposure time: 30s.
Western blot analysis of lysates from wild type (WT) and SND1 knockout (KO) HeLa cells, using [KO Validated] SND1 Rabbit pAb (A5874) at 1:1000 dilution.
Secondary antibody: HRP-conjugated Goat anti-Rabbit IgG (H+L) (AS014) at 1:10000 dilution.
Lysates/proteins: 25μg per lane.
Blocking buffer: 3% nonfat dry milk in TBST.
Detection: ECL Basic Kit (RM00020).
Exposure time: 1s.
Western blot analysis of lysates from wild type (WT) and SND1 knockout (KO) HeLa cells, using [KO Validated] SND1 Rabbit pAb (A5874) at 1:3000 dilution.
Secondary antibody: HRP-conjugated Goat anti-Rabbit IgG (H+L) (AS014) at 1:10000 dilution.
Lysates/proteins: 25μg per lane.
Blocking buffer: 3% nonfat dry milk in TBST.
Detection: ECL Basic Kit (RM00020).
Exposure time: 1s.
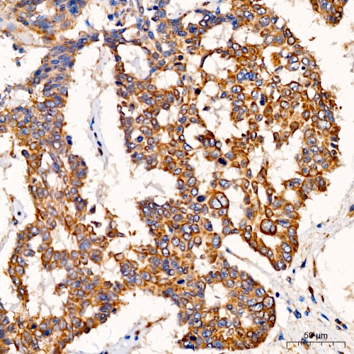
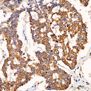
Immunohistochemistry analysis of paraffin-embedded Human lung cancer using [KO Validated] SND1 Rabbit pAb (A5874) at dilution of 1:200 (40x lens). High pressure antigen retrieval performed with 0.01M Citrate Bufferr (pH 6.0) prior to IHC staining.
Immunohistochemistry analysis of paraffin-embedded Mouse kidney using [KO Validated] SND1 Rabbit pAb (A5874) at dilution of 1:200 (40x lens). High pressure antigen retrieval performed with 0.01M Citrate Bufferr (pH 6.0) prior to IHC staining.
Immunohistochemistry analysis of paraffin-embedded Rat colon using [KO Validated] SND1 Rabbit pAb (A5874) at dilution of 1:200 (40x lens). High pressure antigen retrieval performed with 0.01M Citrate Bufferr (pH 6.0) prior to IHC staining.



You may also be interested in:

Related Products


LIFESCT © 2025

Publications

text_heading

Our Location

405 East Gude Dr., Suite 205, Rockville, MD 20850, USA

+1-301-328-1977