KO-Validated BRG1/SMARCA4 Rabbit pAb (20 μl)

KO-Validated BRG1/SMARCA4 Rabbit pAb (20 μl)

Brand: Abclonal
Cat. #: A2117
Availability: In Stock
$128.00
-+
Reactivity: Human, Mouse, Rat
Applications: WB, IHC, IF/IC, IP, ELISA    
Host Species: Rabbit    
Isotype: IgG    
Clonality: Polyclonal antibody    
Gene Name: SWI/SNF related BAF chromatin remodeling complex subunit ATPase 4
Gene Symbol: SMARCA4
Synonyms: BRG1; CSS4; SNF2; SWI2; MRD16; RTPS2; BAF190; SNF2L4; SNF2LB; hSNF2b; BAF190A; SNF2-beta; A4
Gene ID: 6597
UniProt ID: P51532
Immunogen: Recombinant fusion protein containing a sequence corresponding to amino acids 680-770 of human BRG1/SMARCA4 (NP_003063.2).
Dilution: WB 1:500-1:1000; IHC 1:50-1:200; IF/IC 1:50-1:200
Purification Method: Affinity purification
Concentration: 1.53 mg/ml
Buffer: PBS with 0.09% Sodium azide, 50% glycerol, pH7.3.
Storage: Store at -20°C. Avoid freeze / thaw cycles.
Documents:Manual-SMARCA4 Antibody




Background

The protein encoded by the gene SMARCA4 is a member of the SWI/SNF family of proteins and is similar to the brahma protein of Drosophila. Members of this family have helicase and ATPase activities and are thought to regulate transcription of certain genes by altering the chromatin structure around those genes. The encoded protein is part of the large ATP-dependent chromatin remodeling complex SNF/SWI, which is required for transcriptional activation of genes normally repressed by chromatin. In addition, this protein can bind BRCA1, as well as regulate the expression of the tumorigenic protein CD44. Mutations in this gene cause rhabdoid tumor predisposition syndrome type 2. Multiple transcript variants encoding different isoforms have been found for this gene.




Images

SMARCA4 antibodyWestern blot analysis of lysates from wild type (WT) and BRG1/BRG1/SMARCA4 knockout (KO) 293T cells, using [KO Validated] BRG1/SMARCA4 Rabbit pAb (A2117) at 1:1000 dilution.
Secondary antibody: HRP-conjugated Goat anti-Rabbit IgG (H+L) (AS014) at 1:10000 dilution.
Lysates/proteins: 25μg per lane.
Blocking buffer: 3% nonfat dry milk in TBST.
Detection: ECL Enhanced Kit (RM00021).
Exposure time: 1s.
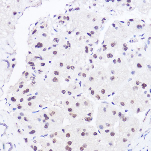
BRG1 antibodyImmunohistochemistry analysis of paraffin-embedded Human liver cancer using [KO Validated] BRG1/BRG1/SMARCA4 Rabbit pAb (A2117) at dilution of 1:100 (40x lens). High pressure antigen retrieval performed with 0.01M Citrate Bufferr (pH 6.0) prior to IHC staining.
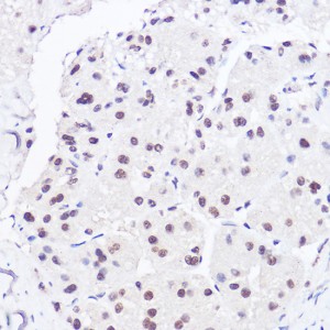
anti SMARCA4 antibodyImmunohistochemistry analysis of paraffin-embedded Mouse lung using [KO Validated] BRG1/BRG1/SMARCA4 Rabbit pAb (A2117) at dilution of 1:100 (40x lens). High pressure antigen retrieval performed with 0.01M Citrate Bufferr (pH 6.0) prior to IHC staining.
anti BRG1 antibodyImmunofluorescence analysis of A549 cells using [KO Validated] BRG1/SMARCA4 Rabbit pAb (A2117). Secondary antibody: Cy3-conjugated Goat anti-Rabbit IgG (H+L) (AS007) at 1:500 dilution. Blue: DAPI for nuclear staining.
Immunoprecipitation analysis of 300 μg extracts of 293T cells using 3 μg BRG1/SMARCA4 antibody (A2117). Western blot was performed from the immunoprecipitate using BRG1/SMARCA4 antibody (A2117) at a dilution of 1:1000.



You may also be interested in:

Related Products


LIFESCT © 2025

Publications

text_heading

Our Location

405 East Gude Dr., Suite 205, Rockville, MD 20850, USA

+1-301-328-1977