KO-Validated SEPHS1 Rabbit pAb (20 μl)

KO-Validated SEPHS1 Rabbit pAb (20 μl)

Brand: Abclonal
Cat. #: A13403
Availability: In Stock
$128.00
-+
Reactivity: Human, Mouse, Rat
Applications: WB, IHC, IF/IC, ELISA    
Host Species: Rabbit    
Isotype: IgG    
Clonality: Polyclonal antibody    
Gene Name: selenophosphate synthetase 1
Gene Symbol: SEPHS1
Synonyms: SPS; SELD; SPS1; S1
Gene ID: 22929
UniProt ID: P49903
Immunogen: Recombinant fusion protein containing a sequence corresponding to amino acids 1-392 of human SEPHS1 (NP_036379.2).
Dilution: WB 1:500-1:1000; IHC 1:50-1:200; IF/IC 1:50-1:200
Purification Method: Affinity purification
Concentration: 1.43 mg/ml
Buffer: PBS with 0.02% sodium azide, 50% glycerol ,pH7.3.
Storage: Store at -20°C. Avoid freeze / thaw cycles.
Documents: Manual-SEPHS1 polyclonal antibody




Background

The gene SEPHS1 encodes an enzyme that synthesizes selenophosphate from selenide and ATP. Selenophosphate is the selenium donor used to synthesize selenocysteine, which is co-translationally incorporated into selenoproteins at in-frame UGA codons.




Images

SEPHS1 rabbit pAbWestern blot analysis of various lysates using SEPHS1 Rabbit pAb (A13403) at 1:1000 dilution.
Secondary antibody: HRP-conjugated Goat anti-Rabbit IgG (H+L) (AS014) at 1:10000 dilution.
Lysates/proteins: 25μg per lane.
Blocking buffer: 3% nonfat dry milk in TBST.
Detection: ECL Basic Kit (RM00020).
Exposure time: 30s.
SEPHS1 polyclonal antibody Western blot analysis of lysates from wild type(WT) and SEPHS1 knockout (KO) 293T(KO) cells, using [KO Validated] SEPHS1 Rabbit pAb (A13403) at 1:1000 dilution.
Secondary antibody: HRP-conjugated Goat anti-Rabbit IgG (H+L) (AS014) at 1:10000 dilution.
Lysates/proteins: 25μg per lane.
Blocking buffer: 3% nonfat dry milk in TBST.
Detection: ECL Basic Kit (RM00020).
Exposure time: 1s.
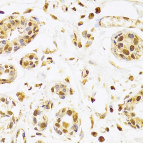
Immunohistochemistry analysis of paraffin-embedded Human breast using SEPHS1 Rabbit pAb (A13403) at dilution of 1:100 (40x lens). Microwave antigen retrieval performed with 0.01M PBS Buffer (pH 7.2) prior to IHC staining.
Immunohistochemistry analysis of paraffin-embedded Human leiomyoma of uterus using SEPHS1 Rabbit pAb (A13403) at dilution of 1:100 (40x lens). Microwave antigen retrieval performed with 0.01M PBS Buffer (pH 7.2) prior to IHC staining.
Immunofluorescence analysis of HeLa cells using SEPHS1 Rabbit pAb (A13403). Secondary antibody: Cy3-conjugated Goat anti-Rabbit IgG (H+L) (AS007) at 1:500 dilution. Blue: DAPI for nuclear staining.
Immunofluorescence analysis of MCF7 cells using [KO Validated] SEPHS1 Rabbit pAb (A13403). Secondary antibody: Cy3-conjugated Goat anti-Rabbit IgG (H+L) (AS007) at 1:500 dilution. Blue: DAPI for nuclear staining.



You may also be interested in:

Related Products


LIFESCT © 2025

Publications

text_heading

Our Location

405 East Gude Dr., Suite 205, Rockville, MD 20850, USA

+1-301-328-1977