KO-Validated PDCD4 Rabbit pAb (20 μl)

KO-Validated PDCD4 Rabbit pAb (20 μl)

Brand: Abclonal
Cat. #: A2570
Availability: In Stock
$128.00
-+
Reactivity: Human, Mouse
Applications: WB, IHC, ELISA    
Host Species: Rabbit    
Isotype: IgG    
Clonality: Polyclonal antibody    
Gene Name: programmed cell death 4
Gene Symbol: PDCD4
Synonyms: H731; D4
Gene ID: 27250
UniProt ID: Q53EL6
Immunogen: Recombinant fusion protein containing a sequence corresponding to amino acids 1-260 of human PDCD4 (NP_055271.2).
Dilution: WB 1:500-1:1000; IHC 1:50-1:200
Purification Method: Affinity purification
Concentration: 0.3 mg/ml
Buffer: PBS with 0.02% sodium azide, 50% glycerol ,pH7.3.
Storage: Store at -20°C. Avoid freeze / thaw cycles.
Documents: Manual-PDCD4 polyclonal antibody




Background

The gene PDCD4 is a tumor suppressor and encodes a protein that binds to the eukaryotic translation initiation factor 4A1 and inhibits its function by preventing RNA binding. Alternative splicing results in multiple transcript variants.




Images

PDCD4 rabbit pAbWestern blot analysis of various lysates using [KO Validated] PDCD4 Rabbit pAb (A2570) at 1:1000 dilution.
Secondary antibody: HRP-conjugated Goat anti-Rabbit IgG (H+L) (AS014) at 1:10000 dilution.
Lysates/proteins: 25μg per lane.
Blocking buffer: 3% nonfat dry milk in TBST.
Detection: ECL Enhanced Kit (RM00021).
Exposure time: 90s.
PDCD4 polyclonal antibody Western blot analysis of lysates from wild type (WT) and PDCD4 knockout (KO) 293T cells, using [KO Validated] PDCD4 Rabbit pAb (A2570) at 1:1000 dilution.
Secondary antibody: HRP-conjugated Goat anti-Rabbit IgG (H+L) (AS014) at 1:10000 dilution.
Lysates/proteins: 25μg per lane.
Blocking buffer: 3% nonfat dry milk in TBST.
Detection: ECL Basic Kit (RM00020).
Exposure time: 180s.
anti-PDCD4 antibody Western blot analysis of lysates from Hep G2 cells using PDCD4 Rabbit pAb (A2570) at 1:1000 dilution.
Secondary antibody: HRP-conjugated Goat anti-Rabbit IgG (H+L) (AS014) at 1:10000 dilution.
Lysates/proteins: 25 μg per lane.
Blocking buffer: 3% nonfat dry milk in TBST.
Detection: ECL Basic Kit (RM00020).
Exposure time: 30s.
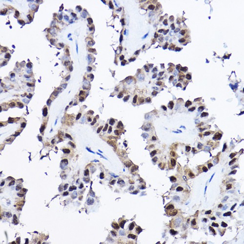
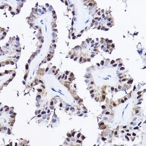
Immunohistochemistry analysis of paraffin-embedded Human thyroid cancer using [KO Validated] PDCD4 Rabbit pAb (A2570) at dilution of 1:20 (40x lens). High pressure antigen retrieval performed with 0.01M Citrate Bufferr (pH 6.0) prior to IHC staining.



You may also be interested in:

Related Products


LIFESCT © 2025

Publications

text_heading

Our Location

405 East Gude Dr., Suite 205, Rockville, MD 20850, USA

+1-301-328-1977