KO-Validated NSDHL Rabbit pAb (20 μl)

KO-Validated NSDHL Rabbit pAb (20 μl)

Brand: Abclonal
Cat. #: A16893
Availability: In Stock
$128.00
-+
Reactivity: Human, Mouse, Rat
Applications: WB, IHC, IF/IC, ELISA    
Host Species: Rabbit    
Isotype: IgG    
Clonality: Polyclonal antibody    
Gene Name: NAD(P) dependent 3-beta-hydroxysteroid dehydrogenase NSDHL
Gene Symbol: NSDHL
Synonyms: H105E3; XAP104; SDR31E1; HL
Gene ID: 50814
UniProt ID: Q15738
Immunogen: Recombinant fusion protein containing a sequence corresponding to amino acids 1-240 of human NSDHL (NP_057006.1).
Dilution: WB 1:500-1:1000; IHC 1:50-1:200; IF/IC 1:50-1:200
Purification Method: Affinity purification
Concentration: 0.39 mg/ml
Buffer: PBS with 0.01% thimerosal, 50% glycerol, pH7.3.
Storage: Store at -20°C. Avoid freeze / thaw cycles.
Documents: Manual-NSDHL polyclonal antibody




Background

The protein encoded by the gene NSDHL is localized in the endoplasmic reticulum and is involved in cholesterol biosynthesis. Mutations in this gene are associated with CHILD syndrome, which is a X-linked dominant disorder of lipid metabolism with disturbed cholesterol biosynthesis, and typically lethal in males. Alternatively spliced transcript variants with differing 5' UTR have been found for this gene.




Images

NSDHL rabbit pAbWestern blot analysis of lysates from wild type(WT) and NSDHL knockout (KO) 293T(KO) cells, using [KO Validated] NSDHL Rabbit pAb (A16893) at 1:1000 dilution.
Secondary antibody: HRP-conjugated Goat anti-Rabbit IgG (H+L) (AS014) at 1:10000 dilution.
Lysates/proteins: 25μg per lane.
Blocking buffer: 3% nonfat dry milk in TBST.
Detection: ECL Basic Kit (RM00020).
Exposure time: 1s.
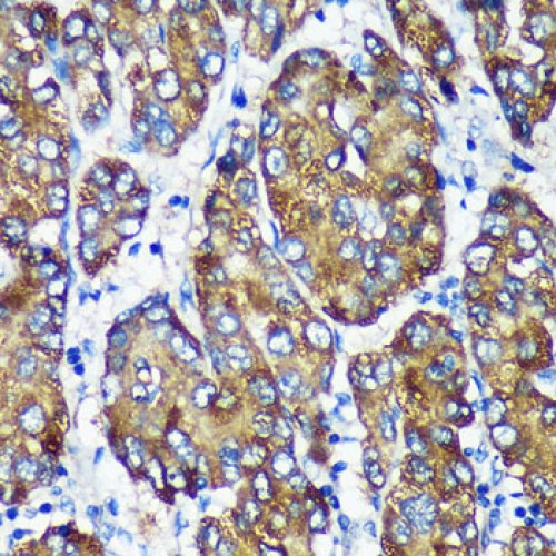
NSDHL polyclonal antibodyImmunohistochemistry analysis of paraffin-embedded Human liver cancer using [KO Validated] NSDHL Rabbit pAb (A16893) at dilution of 1:100 (40x lens). Microwave antigen retrieval performed with 0.01M PBS Buffer (pH 7.2) prior to IHC staining.
anti-NSDHL antibodyImmunohistochemistry analysis of paraffin-embedded Mouse heart using [KO Validated] NSDHL Rabbit pAb (A16893) at dilution of 1:100 (40x lens). Microwave antigen retrieval performed with 0.01M PBS Buffer (pH 7.2) prior to IHC staining.
Immunofluorescence analysis of C6 cells using [KO Validated] NSDHL Rabbit pAb (A16893) at dilution of 1:100. Secondary antibody: Cy3-conjugated Goat anti-Rabbit IgG (H+L) (AS007) at 1:500 dilution. Blue: DAPI for nuclear staining.
Immunofluorescence analysis of U-2 OS cells using [KO Validated] NSDHL Rabbit pAb (A16893) at dilution of 1:100. Secondary antibody: Cy3-conjugated Goat anti-Rabbit IgG (H+L) (AS007) at 1:500 dilution. Blue: DAPI for nuclear staining.



You may also be interested in:

Related Products


LIFESCT © 2025

Publications

text_heading

Our Location

405 East Gude Dr., Suite 205, Rockville, MD 20850, USA

+1-301-328-1977