KO-Validated NADPH oxidase 4 (NOX4) Rabbit pAb (20 μl)

KO-Validated NADPH oxidase 4 (NOX4) Rabbit pAb (20 μl)

Brand: Abclonal
Cat. #: A11274
Availability: In Stock
$128.00
-+
Reactivity: Human, Mouse, Rat
Applications: WB, IHC, ELISA    
Host Species: Rabbit    
Isotype: IgG    
Clonality: Polyclonal antibody    
Gene Name: NADPH oxidase 4
Gene Symbol: NOX4
Synonyms: KOX; KOX-1; RENOX;
Gene ID: 50507
UniProt ID: Q9NPH5
Immunogen: A synthetic peptide corresponding to a sequence within amino acids 328-578 of human NADPH oxidase 4 (NOX4) (NP_058627.1).
Dilution: WB 1:500-1:1000; IHC 1:50-1:200
Purification Method: Affinity purification
Concentration: 2.49 mg/ml
Buffer: PBS with 0.09% Sodium azide, 50% glycerol, pH7.3.
Storage: Store at -20°C. Avoid freeze / thaw cycles.
Documents: Manual-NOX4 polyclonal antibody




Background

The gene NOX4 encodes a member of the NOX-family of enzymes that functions as the catalytic subunit the NADPH oxidase complex. The encoded protein is localized to non-phagocytic cells where it acts as an oxygen sensor and catalyzes the reduction of molecular oxygen to various reactive oxygen species (ROS). The ROS generated by this protein have been implicated in numerous biological functions including signal transduction, cell differentiation and tumor cell growth. A pseudogene has been identified on the other arm of chromosome 11. Alternative splicing results in multiple transcript variants.




Images

NOX4 rabbit pAbWestern blot analysis of lysates from 293T cells, using [KO Validated] NADPH oxidase 4 (NOX4) Rabbit pAb (A11274) at 1:1000 dilution.
Secondary antibody: HRP-conjugated Goat anti-Rabbit IgG (H+L) (AS014) at 1:10000 dilution.
Lysates/proteins: 25μg per lane.
Blocking buffer: 3% nonfat dry milk in TBST.
Detection: ECL Basic Kit (RM00020).
Exposure time: 90s.
NOX4 polyclonal antibodyWestern blot analysis of lysates from wild type (WT) and NADPH oxidase 4 (NOX4) knockout (KO) HeLa cells, using [KO Validated] NADPH oxidase 4 (NOX4) Rabbit pAb (A11274) at 1:1000 dilution.
Secondary antibody: HRP-conjugated Goat anti-Rabbit IgG (H+L) (AS014) at 1:10000 dilution.
Lysates/proteins: 25μg per lane.
Blocking buffer: 3% nonfat dry milk in TBST.
Detection: ECL Basic Kit (RM00020).
Exposure time: 60s.
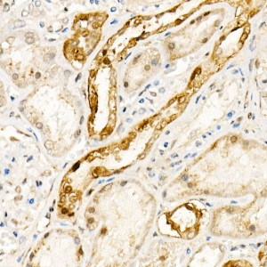
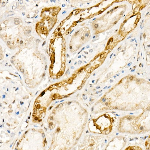
anti-NOX4 antibodyImmunohistochemistry analysis of paraffin-embedded Human kidney using [KO Validated] NADPH oxidase 4 (NOX4) Rabbit pAb (A11274) at dilution of 1:100 (40x lens). High pressure antigen retrieval performed with 0.01M Citrate Bufferr (pH 6.0) prior to IHC staining.
NADPH oxidase 4Immunohistochemistry analysis of paraffin-embedded Mouse colon using [KO Validated] NADPH oxidase 4 (NOX4) Rabbit pAb (A11274) at dilution of 1:100 (40x lens). High pressure antigen retrieval performed with 0.01M Citrate Bufferr (pH 6.0) prior to IHC staining.
Immunohistochemistry analysis of paraffin-embedded Rat colon using [KO Validated] NADPH oxidase 4 (NOX4) Rabbit pAb (A11274) at dilution of 1:100 (40x lens). High pressure antigen retrieval performed with 0.01M Citrate Bufferr (pH 6.0) prior to IHC staining.



You may also be interested in:

Related Products


LIFESCT © 2025

Publications

text_heading

Our Location

405 East Gude Dr., Suite 205, Rockville, MD 20850, USA

+1-301-328-1977