| Reactivity: | Human |
| Applications: | WB, FC |
| Host Species: | Rabbit |
| Isotype: | IgG |
| Clonality: | Monoclonal antibody |
| Gene Name: | integrin subunit alpha 2 |
| Gene Symbol: | ITGA2 |
| Synonyms: | BR; GPIa; CD49B; HPA-5; VLA-2; VLAA2 |
| Gene ID: | 3673 |
| UniProt ID: | P17301 |
| Clone ID: | 25GB545 |
| Immunogen: | A synthesized peptide derived from human Integrin alpha 2 |
| Dilution: | WB 1:1,000-1:5,000; FC 1:2,000 |
| Purification Method: | Affinity purified |
| Concentration: | Lot dependent |
| Buffer: | PBS with 0.09% Sodium azide, 50% glycerol, pH7.3. |
| Storage: | Store at -20°C. Avoid freeze/thaw cycles. |
Background
This gene encodes the alpha subunit of a transmembrane receptor for collagens and related proteins. The encoded protein forms a heterodimer with a beta subunit and mediates the adhesion of platelets and other cell types to the extracellular matrix. Loss of the encoded protein is associated with bleeding disorder platelet-type 9. Antibodies against this protein are found in several immune disorders, including neonatal alloimmune thrombocytopenia. This gene is located adjacent to a related alpha subunit gene. Alternative splicing results in multiple transcript variants.
Images
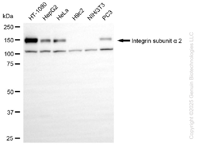
![]() | Western blotting analysis using anti-Integrin subunit alpha 2 antibody (Cat#71145). Total cell lysates (30 μg) from various cell lines were loaded and separated by SDS-PAGE. The blot was incubated with anti-Integrin subunit alpha 2 antibody (Cat#71145, 1:5,000) and HRP-conjugated goat anti-rabbit secondary antibody (Cat#201, 1:20,000) respectively. Image was developed using NaQ™ ECL Substrate Kit (Cat#716). |
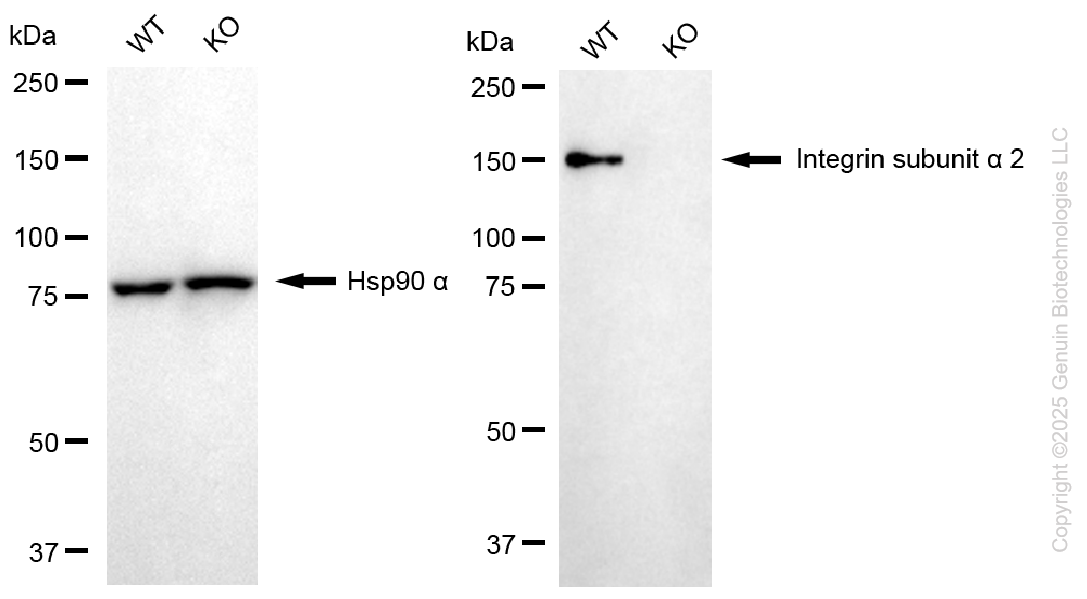
![]() | Western blotting analysis using anti-integrin subunit alpha 2 antibody (Cat#71145). Integrin subunit alpha 2 expression in wild type (WT) and integrin subunit alpha 2 (ITGA2) knockout (KO) HSHC cells with 20 μg of total cell lysates. Hsp90 α serves as a loading control. The blot was incubated with anti-integrin subunit alpha 2 antibody (Cat#71145, 1:5,000) and HRP-conjugated goat anti-rabbit secondary antibody (Cat#201, 1:20,000) respectively. Image was developed using NaQ™ ECL Substrate Kit (Cat#716). |
![]() | Flow cytometric analysis of Integrin subunit alpha 2 expression in HepG2 cells using anti-Integrin subunit alpha 2 antibody (Cat# 71145, 1:2,000). Green, isotype control; red, Integrin subunit alpha 2. |
You may also be interested in: