KO-Validated GNAI3 Rabbit pAb (20 μl)

KO-Validated GNAI3 Rabbit pAb (20 μl)

Brand: Abclonal
Cat. #: A13307
Availability: In Stock
$128.00
-+
Reactivity: Human, Mouse
Applications: WB, IF/IC, IP, ELISA    
Host Species: Rabbit    
Isotype: IgG    
Clonality: Polyclonal antibody    
Gene Name: G protein subunit alpha i3
Gene Symbol: GNAI3
Synonyms: 87U6; HG1A; ARCND1; ARCODS; I3
Gene ID: 2773
UniProt ID: P08754
Immunogen: Recombinant fusion protein containing a sequence corresponding to amino acids 1-354 of human GNAI3 (NP_006487.1).
Dilution: WB 1:500-1:2000; IF/IC 1:50-1:200
Purification Method: Affinity purification
Concentration: 0.41 mg/ml
Buffer: PBS with 0.02% sodium azide, 50% glycerol ,pH7.3.
Storage: Store at -20°C. Avoid freeze / thaw cycles.
Documents: Manual-GNAI3 polyclonal antibody




Background

Guanine nucleotide-binding proteins (G proteins) are involved as modulators or transducers in various transmembrane signaling pathways. G proteins are composed of 3 units: alpha, beta and gamma. The gene GNAI3 encodes an alpha subunit and belongs to the G-alpha family. Mutation in this gene, resulting in a gly40-to-arg substitution, is associated with auriculocondylar syndrome, and shown to affect downstream targets in the G protein-coupled endothelin receptor pathway.




Images

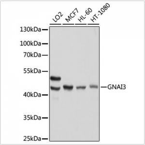
GNAI3 rabbit pAbWestern blot analysis of various lysates using [KO Validated] GNAI3 Rabbit pAb (A13307) at 1:1000 dilution.
Secondary antibody: HRP-conjugated Goat anti-Rabbit IgG (H+L) (AS014) at 1:10000 dilution.
Lysates/proteins: 25μg per lane.
Blocking buffer: 3% nonfat dry milk in TBST.
Detection: ECL Basic Kit (RM00020).
Exposure time: 1s.
GNAI3 polyclonal antibodyWestern blot analysis of lysates from wild type (WT) and GNAI3 knockout (KO) HeLa cells, using [KO Validated] GNAI3 Rabbit pAb (A13307) at 1:1000 dilution.
Secondary antibody: HRP-conjugated Goat anti-Rabbit IgG (H+L) (AS014) at 1:10000 dilution.
Lysates/proteins: 25μg per lane.
Blocking buffer: 3% nonfat dry milk in TBST.
Detection: ECL Basic Kit (RM00020).
Exposure time: 1s.
Immunofluorescence analysis of L929 cells using [KO Validated] GNAI3 Rabbit pAb (A13307) at dilution of 1:100 (40x lens). Secondary antibody: Cy3-conjugated Goat anti-Rabbit IgG (H+L) (AS007) at 1:500 dilution. Blue: DAPI for nuclear staining.
Immunoprecipitation analysis of 200 μg extracts of MCF-7 cells, using 3 μg GNAI3 antibody (A13307). Western blot was performed from the immunoprecipitate using GNAI3 antibody (A13307) at a dilution of 1:1000.



You may also be interested in:

Related Products


LIFESCT © 2025

Publications

text_heading

Our Location

405 East Gude Dr., Suite 205, Rockville, MD 20850, USA

+1-301-328-1977