KO-Validated GIT1 Rabbit pAb (20 μl)

KO-Validated GIT1 Rabbit pAb (20 μl)

Brand: Abclonal
Cat. #: A15437
Availability: In Stock
$128.00
-+
Reactivity: Human, Mouse, Rat
Applications: WB, IF/IC, ELISA    
Host Species: Rabbit    
Isotype: IgG    
Clonality: Polyclonal antibody    
Gene Name: GIT ArfGAP 1
Gene Symbol: GIT1
Synonyms: p95-APP1; T1
Gene ID: 28964
UniProt ID: Q9Y2X7
Immunogen: Recombinant fusion protein containing a sequence corresponding to amino acids 460-640 of human GIT1 (NP_054749.2).
Dilution: WB 1:200-1:2000; IF/IC 1:50-1:200
Purification Method: Affinity purification
Concentration: 0.86 mg/ml
Buffer: PBS with 0.01% thimerosal, 50% glycerol, pH7.3.
Storage: Store at -20°C. Avoid freeze / thaw cycles.
Documents: Manual-GIT1 polyclonal antibody




Background

Enables gamma-tubulin binding activity. Involved in positive regulation of microtubule nucleation and regulation of cytokinesis. Located in several cellular components, including focal adhesion; microtubule cytoskeleton; and mitochondrion. Implicated in attention deficit hyperactivity disorder. Biomarker of Huntington's disease.




Images

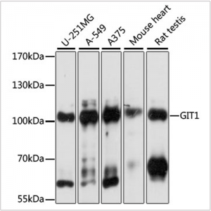
GIT1 rabbit pAbWestern blot analysis of various lysates using [KO Validated] GIT1 Rabbit pAb (A15437) at 1:1000 dilution.
Secondary antibody: HRP-conjugated Goat anti-Rabbit IgG (H+L) (AS014) at 1:10000 dilution.
Lysates/proteins: 25μg per lane.
Blocking buffer: 3% nonfat dry milk in TBST.
Detection: ECL Basic Kit (RM00020).
Exposure time: 1s.
GIT1 olyclonal antibodyWestern blot analysis of lysates from wild type (WT) and GIT1 knockout (KO) HeLa cells, using [KO Validated] GIT1 Rabbit pAb (A15437) at 1:3000 dilution.
Secondary antibody: HRP-conjugated Goat anti-Rabbit IgG (H+L) (AS014) at 1:10000 dilution.
Lysates/proteins: 25μg per lane.
Blocking buffer: 3% nonfat dry milk in TBST.
Detection: ECL Basic Kit (RM00020).
Exposure time: 1s.
Immunofluorescence analysis of C6 cells using [KO Validated] GIT1 Rabbit pAb (A15437) at dilution of 1:100. Secondary antibody: Cy3-conjugated Goat anti-Rabbit IgG (H+L) (AS007) at 1:500 dilution. Blue: DAPI for nuclear staining.
Immunofluorescence analysis of L929 cells using [KO Validated] GIT1 Rabbit pAb (A15437) at dilution of 1:100. Secondary antibody: Cy3-conjugated Goat anti-Rabbit IgG (H+L) (AS007) at 1:500 dilution. Blue: DAPI for nuclear staining.
Immunofluorescence analysis of U-2 OS cells using [KO Validated] GIT1 Rabbit pAb (A15437) at dilution of 1:100. Secondary antibody: Cy3-conjugated Goat anti-Rabbit IgG (H+L) (AS007) at 1:500 dilution. Blue: DAPI for nuclear staining.



You may also be interested in:

Related Products


LIFESCT © 2025

Publications

text_heading

Our Location

405 East Gude Dr., Suite 205, Rockville, MD 20850, USA

+1-301-328-1977