KO-Validated EHMT2 Rabbit pAb (20 μl)

KO-Validated EHMT2 Rabbit pAb (20 μl)

Brand: Abclonal
Cat. #: A1247
Availability: In Stock
$128.00
-+
Reactivity: Human
Applications: WB, IP, ELISA    
Host Species: Rabbit    
Isotype: IgG    
Clonality: Polyclonal antibody    
Gene Name: euchromatic histone lysine methyltransferase 2
Gene Symbol: EHMT2
Synonyms: G9A; BAT8; GAT8; NG36; KMT1C; C6orf30; T2
Gene ID: 10919
UniProt ID: Q96KQ7
Immunogen: Recombinant fusion protein containing a sequence corresponding to amino acids 877-1176 of human EHMT2 (NP_079532.5).
Dilution: WB 1:500-1:1000
Purification Method: Affinity purification
Concentration: 1.31 mg/ml
Buffer: PBS with 0.02% sodium azide, 50% glycerol ,pH7.3.
Storage: Store at -20°C. Avoid freeze / thaw cycles.
Documents: Manual-EHMT2 polyclonal antibody




Background

The gene EHMT2 encodes a methyltransferase that methylates lysine residues of histone H3. Methylation of H3 at lysine 9 by this protein results in recruitment of additional epigenetic regulators and repression of transcription. This gene was initially thought to be two different genes, NG36 and G9a, adjacent to each other in the HLA locus. Alternative splicing results in multiple transcript variants.




Images

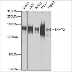
EHMT2 rabbit pAbWestern blot analysis of various lysates using [KO Validated] EHMT2 Rabbit pAb (A1247) at 1:1000 dilution.
Secondary antibody: HRP-conjugated Goat anti-Rabbit IgG (H+L) (AS014) at 1:10000 dilution.
Lysates/proteins: 25μg per lane.
Blocking buffer: 3% nonfat dry milk in TBST.
Detection: ECL Basic Kit (RM00020).
Exposure time: 30s.
EHMT2 polyclonal antibodyWestern blot analysis of lysates from wild type (WT) and EHMT2 knockout (KO) 293T cells, using [KO Validated] EHMT2 Rabbit pAb (A1247) at 1:1000 dilution.
Secondary antibody: HRP-conjugated Goat anti-Rabbit IgG (H+L) (AS014) at 1:10000 dilution.
Lysates/proteins: 25μg per lane.
Blocking buffer: 3% nonfat dry milk in TBST.
Detection: ECL Basic Kit (RM00020).
Exposure time: 1s.
anti-EHMT2 antibodyImmunoprecipitation analysis of 300 μg extracts of 293T cells using 3 μg [KO Validated] EHMT2 antibody (A1247). Western blot was performed from the immunoprecipitate using [KO Validated] EHMT2 antibody (A1247) at a dilution of 1:1000.



You may also be interested in:

Related Products


LIFESCT © 2025

Publications

text_heading

Our Location

405 East Gude Dr., Suite 205, Rockville, MD 20850, USA

+1-301-328-1977