| Reactivity: | Human, Mouse, Rat |
| Applications: | WB, IHC, ELISA |
| Host Species: | Rabbit |
| Isotype: | IgG |
| Clonality: | Polyclonal antibody |
| Gene Name: | endothelial differentiation related factor 1 |
| Gene Symbol: | EDF1 |
| Synonyms: | MBF1; EDF-1; CFAP280; F1 |
| Gene ID: | 8721 |
| UniProt ID: | O60869 |
| Immunogen: | Recombinant fusion protein containing a sequence corresponding to amino acids 1-148 of human EDF1 (NP_003783.1). |
| Dilution: | WB 1:500-1:2000; IHC 1:50-1:100 |
| Purification Method: | Affinity purification |
| Concentration: | 0.58 mg/ml |
| Buffer: | PBS with 0.02% sodium azide, 50% glycerol ,pH7.3. |
| Storage: | Store at -20°C. Avoid freeze / thaw cycles. |
| Documents: | Manual-EDF1 polyclonal antibody |
Background
This gene encodes a protein that may regulate endothelial cell differentiation, lipid metabolism, and hormone-induced cardiomyocyte hypertrophy. The encoded protein has also been found to act as a transcriptional coactivator by interconnecting the general transcription factor TATA element-binding protein (TBP) and gene-specific activators. Alternate splicing results in multiple transcript variants.
Images
![]() | Western blot analysis of various lysates using [KO Validated] EDF1 Rabbit pAb (A2283) at 1:1000 dilution. Secondary antibody: HRP-conjugated Goat anti-Rabbit IgG (H+L) (AS014) at 1:10000 dilution. Lysates/proteins: 25μg per lane. Blocking buffer: 3% nonfat dry milk in TBST. Detection: ECL Basic Kit (RM00020). Exposure time: 90s. |
![]() | Western blot analysis of lysates from wild type (WT) and EDF1 knockout (KO) NIH/3T3 cells, using [KO Validated] EDF1 Rabbit pAb (A2283) at 1:1000 dilution. Secondary antibody: HRP-conjugated Goat anti-Rabbit IgG (H+L) (AS014) at 1:10000 dilution. Lysates/proteins: 25μg per lane. Blocking buffer: 3% nonfat dry milk in TBST. Detection: ECL Basic Kit (RM00020). Exposure time: 1s. |
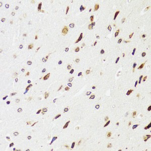
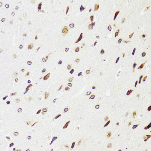
![]() | Immunohistochemistry analysis of paraffin-embedded Rat brain using [KO Validated] EDF1 Rabbit pAb (A2283) at dilution of 1:100 (40x lens). Microwave antigen retrieval performed with 0.01M PBS Buffer (pH 7.2) prior to IHC staining. |
![]() | Immunohistochemistry analysis of paraffin-embedded Human gastric cancer using [KO Validated] EDF1 Rabbit pAb (A2283) at dilution of 1:100 (40x lens). Microwave antigen retrieval performed with 0.01M PBS Buffer (pH 7.2) prior to IHC staining. |
![]() | Immunohistochemistry analysis of paraffin-embedded Mouse lung using [KO Validated] EDF1 Rabbit pAb (A2283) at dilution of 1:100 (40x lens). Microwave antigen retrieval performed with 0.01M PBS Buffer (pH 7.2) prior to IHC staining. |
You may also be interested in: