KO-Validated CHCHD2 Rabbit pAb (20 μl)

KO-Validated CHCHD2 Rabbit pAb (20 μl)

Brand: Abclonal
Cat. #: A16645
Availability: In Stock
$128.00
-+
Reactivity: Human, Mouse, Rat
Applications: WB, IHC, IF/IC, ELISA    
Host Species: Rabbit    
Isotype: IgG    
Clonality: Polyclonal antibody    
Gene Name: coiled-coil-helix-coiled-coil-helix domain containing 2
Gene Symbol: CHCHD2
Synonyms: MNRR1; NS2TP; MIX17B; PARK22; C7orf17; D2
Gene ID: 51142
UniProt ID: Q9Y6H1
Immunogen: Recombinant fusion protein containing a sequence corresponding to amino acids 75-145 of human CHCHD2 (NP_057223.1).
Dilution: WB 1:500-1:2000; IHC 1:50-1:200; IF/IC 1:50-1:200
Purification Method: Affinity purification
Concentration: 0.59 mg/mL
Buffer: PBS with 0.01% thimerosal, 50% glycerol, pH7.3.
Storage: Store at -20°C. Avoid freeze / thaw cycles.
Documents: Manual-CHCHD2 polyclonal antibody




Background

The protein encoded by the gene CHCHD2 belongs to a class of eukaryotic CX(9)C proteins characterized by four cysteine residues spaced ten amino acids apart from one another. These residues form disulfide linkages that define a CHCH fold. In response to stress, the protein translocates from the mitochondrial intermembrane space to the nucleus where it binds to a highly conserved 13 nucleotide oxygen responsive element in the promoter of cytochrome oxidase 4I2, a subunit of the terminal enzyme of the electron transport chain. In concert with recombination signal sequence-binding protein J, binding of this protein activates the oxygen responsive element at four percent oxygen. In addition, it has been shown that this protein is a negative regulator of mitochondria-mediated apoptosis. In response to apoptotic stimuli, mitochondrial levels of this protein decrease, allowing BCL2-associated X protein to oligomerize and activate the caspase cascade. Pseudogenes of this gene are found on multiple chromosomes. Alternative splicing results in multiple transcript variants.




Images

CHCHD2 rabbit pAbWestern blot analysis of various lysates using [KO Validated] CHCHD2 Rabbit pAb (A16645) at 1:1000 dilution.
Secondary antibody: HRP-conjugated Goat anti-Rabbit IgG (H+L) (AS014) at 1:10000 dilution.
Lysates/proteins: 25μg per lane.
Blocking buffer: 3% nonfat dry milk in TBST.
Detection: ECL Basic Kit (RM00020).
Exposure time: 90s.
CHCHD2 polyclonal antibodyWestern blot analysis of lysates from wild type (WT) and CHCHD2 knockout (KO) 293T cells, using [KO Validated] CHCHD2 Rabbit pAb (A16645) at 1:1000 dilution.
Secondary antibody: HRP-conjugated Goat anti-Rabbit IgG (H+L) (AS014) at 1:10000 dilution.
Lysates/proteins: 25μg per lane.
Blocking buffer: 3% nonfat dry milk in TBST.
Detection: ECL Basic Kit (RM00020).
Exposure time: 1s.
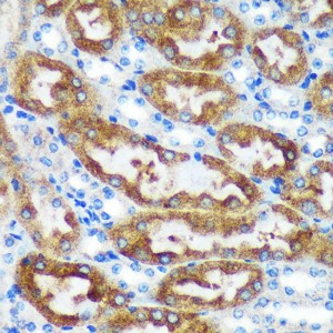
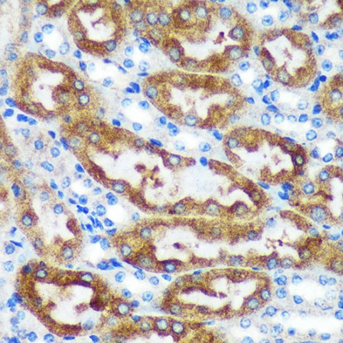
anti-CHCHD2 antibodyImmunohistochemistry analysis of paraffin-embedded Mouse kidney using [KO Validated] CHCHD2 Rabbit pAb (A16645) at dilution of 1:100 (40x lens). Microwave antigen retrieval performed with 0.01M PBS Buffer (pH 7.2) prior to IHC staining.
Immunohistochemistry analysis of paraffin-embedded Rat ovary using [KO Validated] CHCHD2 Rabbit pAb (A16645) at dilution of 1:100 (40x lens). Microwave antigen retrieval performed with 0.01M PBS Buffer (pH 7.2) prior to IHC staining.
Immunohistochemistry analysis of paraffin-embedded Human colon carcinoma using [KO Validated] CHCHD2 Rabbit pAb (A16645) at dilution of 1:100 (40x lens). Microwave antigen retrieval performed with 0.01M PBS Buffer (pH 7.2) prior to IHC staining.
Immunofluorescence analysis of C6 cells using [KO Validated] CHCHD2 Rabbit pAb (A16645) at dilution of 1:100. Secondary antibody: Cy3-conjugated Goat anti-Rabbit IgG (H+L) (AS007) at 1:500 dilution. Blue: DAPI for nuclear staining.
Immunofluorescence analysis of L929 cells using [KO Validated] CHCHD2 Rabbit pAb (A16645) at dilution of 1:100. Secondary antibody: Cy3-conjugated Goat anti-Rabbit IgG (H+L) (AS007) at 1:500 dilution. Blue: DAPI for nuclear staining.
Immunofluorescence analysis of U-2 OS cells using [KO Validated] CHCHD2 Rabbit pAb (A16645) at dilution of 1:100. Secondary antibody: Cy3-conjugated Goat anti-Rabbit IgG (H+L) (AS007) at 1:500 dilution. Blue: DAPI for nuclear staining.



You may also be interested in:

Related Products


LIFESCT © 2025

Publications

text_heading

Our Location

405 East Gude Dr., Suite 205, Rockville, MD 20850, USA

+1-301-328-1977