KO-Validated CACYBP Rabbit pAb (20 μl)

KO-Validated CACYBP Rabbit pAb (20 μl)

Brand: Abclonal
Cat. #: A8757
Availability: In Stock
$128.00
-+
Reactivity: Human, Mouse, Rat
Applications: WB, IF/IC, ELISA    
Host Species: Rabbit    
Isotype: IgG    
Clonality: Polyclonal antibody    
Gene Name: calcyclin binding protein
Gene Symbol: CACYBP
Synonyms: SIP; GIG5; PNAS-107; S100A6BP; BP
Gene ID: 27101
UniProt ID: Q9HB71
Immunogen: Recombinant fusion protein containing a sequence corresponding to amino acids 1-228 of human CACYBP (NP_055227.1).
Dilution: WB 1:500-1:1000; IF/IC 1:50-1:200
Purification Method: Affinity purification
Concentration: 1.44 mg/ml
Buffer: PBS with 0.02% sodium azide, 50% glycerol ,pH7.3.
Storage: Store at -20°C. Avoid freeze / thaw cycles.
Documents: Manual-CACYBP polyclonal antibody




Background

The protein encoded by the gene CACYBP is a calcyclin binding protein. It may be involved in calcium-dependent ubiquitination and subsequent proteosomal degradation of target proteins. It probably serves as a molecular bridge in ubiquitin E3 complexes and participates in the ubiquitin-mediated degradation of beta-catenin. Two alternatively spliced transcript variants encoding different isoforms have been found for this gene.




Images

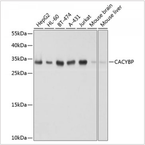
CACYBP rabbit pAbWestern blot analysis of various lysates using [KO Validated] CACYBP Rabbit pAb (A8757) at 1:1000 dilution.
Secondary antibody: HRP-conjugated Goat anti-Rabbit IgG (H+L) (AS014) at 1:10000 dilution.
Lysates/proteins: 25μg per lane.
Blocking buffer: 3% nonfat dry milk in TBST.
Detection: ECL Basic Kit (RM00020).
Exposure time: 1s.
CACYBP polyclonal antibodyWestern blot analysis of various lysates, using [KO Validated] CACYBP Rabbit pAb (A8757) at 1:1000 dilution.
Secondary antibody: HRP-conjugated Goat anti-Rabbit IgG (H+L) (AS014) at 1:10000 dilution.
Lysates/proteins: 25μg per lane.
Blocking buffer: 3% nonfat dry milk in TBST.
Detection: ECL Basic Kit (RM00020).
Exposure time: 1s.
Anti-CACYBP antibodyWestern blot analysis of lysates from wild type(WT) and CACYBP knockout (KO) 293T cells, using [KO Validated] CACYBP Rabbit pAb (A8757) at 1:1000 dilution.
Secondary antibody: HRP-conjugated Goat anti-Rabbit IgG (H+L) (AS014) at 1:10000 dilution.
Lysates/proteins: 25μg per lane.
Blocking buffer: 3% nonfat dry milk in TBST.
Detection: ECL Basic Kit (RM00020).
Exposure time: 1s.
Immunofluorescence analysis of NIH-3T3 cells using [KO Validated] CACYBP Rabbit pAb (A8757) at dilution of 1:100. Secondary antibody: Cy3-conjugated Goat anti-Rabbit IgG (H+L) (AS007) at 1:500 dilution. Blue: DAPI for nuclear staining.
Immunofluorescence analysis of HeLa cells using [KO Validated] CACYBP Rabbit pAb (A8757) at dilution of 1:100. Secondary antibody: Cy3-conjugated Goat anti-Rabbit IgG (H+L) (AS007) at 1:500 dilution. Blue: DAPI for nuclear staining.



You may also be interested in:

Related Products


LIFESCT © 2025

Publications

text_heading

Our Location

405 East Gude Dr., Suite 205, Rockville, MD 20850, USA

+1-301-328-1977