KO-Validated CTIP1/BCL11A Rabbit mAb (20 μl)

KO-Validated CTIP1/BCL11A Rabbit mAb (20 μl)

Brand: Abclonal
Cat. #: A9231
Availability: In Stock
$148.00
-+
Reactivity: Human
Applications: WB, IHC, ELISA    
Host Species: Rabbit    
Isotype: IgG    
Clonality: Monoclonal antibody    
Gene Name: BCL11 transcription factor A
Gene Symbol: BCL11A
Synonyms: EVI9; CTIP1; DILOS; ZNF856; HBFQTL5; SMARCM1; 1A
Gene ID: 53335
UniProt ID: Q9H165
Clone ID: 3M8M3
Immunogen: Recombinant fusion protein containing a sequence corresponding to amino acids 401-589 of human CTIP1/BCL11A (Q9H165).
Dilution: WB 1:500-1:1000; IHC 1:50-1:200
Purification Method: Affinity purification
Concentration: 1.5 mg/mL
Buffer: PBS with 0.02% sodium azide, 0.05% BSA, 50% glycerol, pH7.3.
Storage: Store at -20°C. Avoid freeze / thaw cycles.
Documents: Manual-BCL11A monoclonal antibody




Background

The gene BCL11A encodes a C2H2 type zinc-finger protein by its similarity to the mouse Bcl11a/Evi9 protein. The corresponding mouse gene is a common site of retroviral integration in myeloid leukemia, and may function as a leukemia disease gene, in part, through its interaction with BCL6. During hematopoietic cell differentiation, this gene is down-regulated. It is possibly involved in lymphoma pathogenesis since translocations associated with B-cell malignancies also deregulates its expression. Multiple transcript variants encoding several different isoforms have been found for this gene.




Images

BCL11A rabbit mAbWestern blot analysis of lysates from wild type(WT) and CTIP1/BCL11A knockout (KO) 293T(KO) cells, using CTIP1/BCL11A Rabbit mAb (A9231) at 1:1000 dilution.
Secondary antibody: HRP-conjugated Goat anti-Rabbit IgG (H+L) (AS014) at 1:10000 dilution.
Lysates/proteins: 25μg per lane.
Blocking buffer: 3% nonfat dry milk in TBST.
Detection: ECL Basic Kit (RM00020).
Exposure time: 3s.
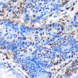
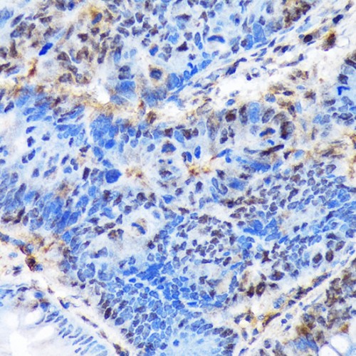
BCL11A monoclonal antibodyImmunohistochemistry analysis of paraffin-embedded Human colon carcinoma using CTIP1/BCL11A Rabbit mAb (A9231) at dilution of 1:100 (40x lens). Microwave antigen retrieval performed with 0.01M Tris/EDTA Buffer (pH 9.0) prior to IHC staining.



You may also be interested in:

Related Products


LIFESCT © 2025

Publications

text_heading

Our Location

405 East Gude Dr., Suite 205, Rockville, MD 20850, USA

+1-301-328-1977