KO-Validated ANAPC5 Rabbit pAb (20 μl)

KO-Validated ANAPC5 Rabbit pAb (20 μl)

Brand: Abclonal
Cat. #: A7109
Availability: In Stock
$128.00
-+
Reactivity: Human, Mouse, Rat
Applications: WB, IHC, IP, ELISA    
Host Species: Rabbit    
Isotype: IgG    
Clonality: Polyclonal antibody    
Gene Name: anaphase promoting complex subunit 5
Gene Symbol: ANAPC5
Synonyms: APC5; C5
Gene ID: 51433
UniProt ID: Q9UJX4
Immunogen: Recombinant fusion protein containing a sequence corresponding to amino acids 1-250 of human ANAPC5 (NP_057321.2).
Dilution: WB 1:500-1:1000; IHC 1:50-1:200
Purification Method: Affinity purification
Concentration: 0.21 mg/ml
Buffer: PBS with 0.02% sodium azide, 50% glycerol ,pH7.3.
Storage: Store at -20°C. Avoid freeze / thaw cycles.
Documents: Manual-ANAPC5 polyclonal antibody




Background

The gene ANAPC5 encodes a tetratricopeptide repeat-containing component of the anaphase promoting complex/cyclosome (APC/C), a large E3 ubiquitin ligase that controls cell cycle progression by targeting a number of cell cycle regulators such as B-type cyclins for 26S proteasome-mediated degradation through ubiquitination. The encoded protein is required for the proper ubiquitination function of APC/C and for the interaction of APC/C with transcription coactivators. It also interacts with polyA binding protein and represses internal ribosome entry site-mediated translation. Multiple transcript variants encoding different isoforms have been found for this gene. These differences cause translation initiation at a downstream AUG and result in a shorter protein (isoform b), compared to isoform a.




Images

ANAPC5 rabbit pAbWestern blot analysis of various lysates using [KO Validated] ANAPC5 Rabbit pAb (A7109) at 1:1000 dilution.
Secondary antibody: HRP-conjugated Goat anti-Rabbit IgG (H+L) (AS014) at 1:10000 dilution.
Lysates/proteins: 25μg per lane.
Blocking buffer: 3% nonfat dry milk in TBST.
Detection: ECL Basic Kit (RM00020).
Exposure time: 90s.
ANAPC5 polyclonal antibodyWestern blot analysis of lysates from wild type (WT) and ANAPC5 knockout (KO) 293T cells, using [KO Validated] ANAPC5 Rabbit pAb (A7109) at 1:1000 dilution.
Secondary antibody: HRP-conjugated Goat anti-Rabbit IgG (H+L) (AS014) at 1:10000 dilution.
Lysates/proteins: 25μg per lane.
Blocking buffer: 3% nonfat dry milk in TBST.
Detection: ECL Basic Kit (RM00020).
Exposure time: 30s.
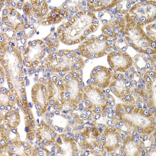
anti-ANAPC5 antibodyImmunohistochemistry analysis of paraffin-embedded Rat kidney using [KO Validated] ANAPC5 Rabbit pAb (A7109) at dilution of 1:100 (40x lens). Microwave antigen retrieval performed with 0.01M PBS Buffer (pH 7.2) prior to IHC staining.
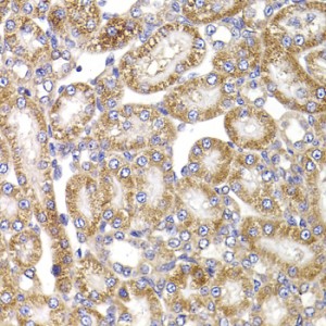
Immunohistochemistry analysis of paraffin-embedded Human kidney using [KO Validated] ANAPC5 Rabbit pAb (A7109) at dilution of 1:100 (40x lens). Microwave antigen retrieval performed with 0.01M PBS Buffer (pH 7.2) prior to IHC staining.
Immunoprecipitation analysis of 200 μg extracts of MCF-7 cells, using 3 μg ANAPC5 antibody (A7109). Western blot was performed from the immunoprecipitate using ANAPC5 antibody (A7109) at a dilution of 1:1000.



You may also be interested in:

Related Products


LIFESCT © 2025

Publications

text_heading

Our Location

405 East Gude Dr., Suite 205, Rockville, MD 20850, USA

+1-301-328-1977