Your shopping cart is empty!
| Reactivity: | Human, Mouse, Rat |
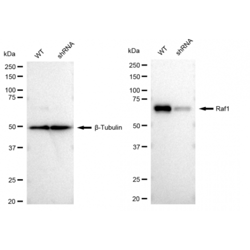
| Applications: | WB, IF/IC, FCM, WB-KD |
| Isotype: | IgG |
| Clone: | 23GB2640 |
| Host Species: | Rabbit |
| Clonality: | Monoclonal |
| Synonyms: | RAF1; Raf-1 Proto-Oncogene, Serine/Threonine Kinase; Raf-1; CRAF; RAF Proto-Oncogene Serine/Threonine-Protein Kinase; V-Raf-1 Murine Leukemia Viral Oncogene Homolog 1; C-Raf Proto-Oncogene, Serine/Threonine Kinase; Proto-Oncogene C-RAF; EC 2.7.11.1; C-Raf; V-Raf-1 Murine Leukemia Viral Oncogene-Like Protein 1; Raf Proto-Oncogene Serine/Threonine Protein Kinase; Oncogene RAF1; EC 2.7.11; CMD1NN; C-RAF; RAF-1; CRaf; NS5; RAF |
| Immunogen: | A synthesized peptide derived from human Phospho-Raf1 (S621) |
| Dilution: | WB 1:1,000-1:5,000; IF/IC 1:1,000; FCM 1:2,000 ; WB-KD 1:1,000-1:5,000 |
| Uniprot: | P04049 |
| NCBI Gene ID: | 5894 |
| MW: | 73 kDa |
| Purification Source: | Cell culture |
| Purification Method: | Affinity Purified |
| Buffer: | Liquid in BSA, PH 7.4, 50% glycerol and less than 0.02% sodium azide. |
| Storage: | Store at -20°C. Avoid repeated freeze/thaw cycles. |
| Documents: | Please contact us to request the manual |